患者様に負担の少ない歯科治療に努めています 常滑の歯科医院 久野歯科です
皆様に役立つ矯正歯科の情報をわかりやすくお伝えします
スポ-ツと矯正歯科治療
患者様の概要
患者様は中学2年生の男子で矯正相談でお母様と来院されました
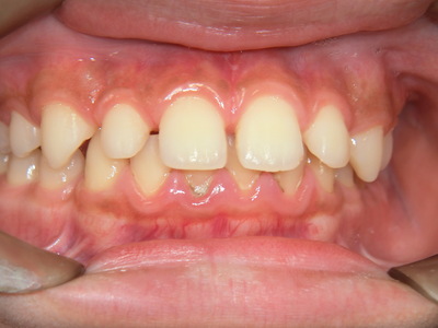
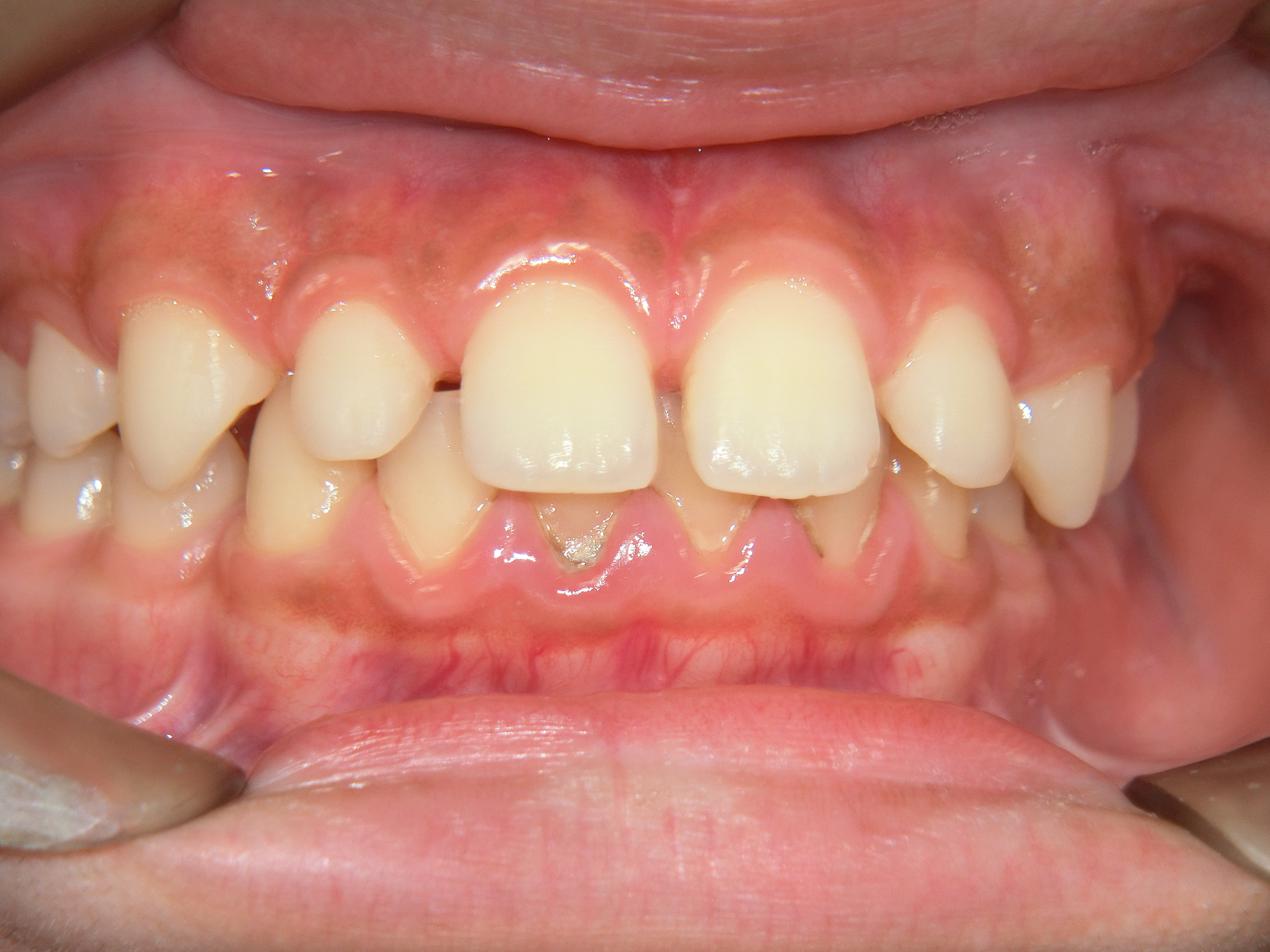
お口の中を拝見しますと過蓋咬合と前歯にすきまのある空隙歯列弓で上下顎前歯部に軽度の歯肉炎があり、下顎の前歯に歯石の付着がありました
永久歯への交換が完了間もないということで治療開始の判断を慎重に行いました
また現在中学のクラブ活動でバスケットボールをおこなっているとのことでした
処置方針
矯正治療を行う方法は診断の結果、抜歯が必要でブラケットとワイヤーによる治療法が適切であると思われました
バスケットボールは柔道、空手、ラグビー、サッカーほどではないもののバレーボールやハンドボールと同等の競技相手と強く接触する可能性のあるスポーツであると考えています。
バスケットボールの練習中、競技中に矯正装置によりお口の中の外傷に注意が必要です
その対応策としては矯正装置を装着したままでスポーツマウスガードを装着してもらわなければなりません。
歯の移動のステージが上がるたびにマウスガードを作り直しが必要ですマウスガードが大型になるので異物感も増す心配もあります
マウスピース矯正の場合でも矯正用のマウスピースはスポーツマウスガードの代わりにはならずマウスガードの装着は必須となります
患者様、患者様のお母様と相談しクラブ活動が一段落してから矯正歯科治療を開始することにして治療を延期することになりました
矯正歯科治療を開始する時期は成長発育などの条件の変化はありますが、いつでもできます
今しかできないバスケットボールに青春の思い出として精一杯打ち込んでいただきたいと思います
久野歯科医院
院長
久野昌士













