

![]() |
![]() |
![]() |
当院おすすめ記事はこちら▼




常滑の矯正歯科 久野歯科医院 ≫ 矯正歯科
久野歯科医院では患者様に納得した治療を受けていただけるために、一人ひとりの患者様に充分な時間をかけ 適切な治療を行います。
最先端の治療技術とクリーンな診療環境にて、質の高い治療をいたします。
矯正歯科治療は長期的な治療だからこそ、しっかりとカウンセリングを行った上で治療を進める必要があります。
患者様も歯科医師へ安心して常に相談することができる関係作りが大切だと考えます。
これまで矯正歯科治療はお子様の治療が多かったのですが、近年大人の方の矯正歯科治療が増えております。
現在、目立たない矯正器具もあり、外見についてこれまでよりも気にすることなく治療ができます。
矯正歯科治療は、歯を本来あるべき形に整えて正しい咬合(噛み合わせ)にする治療とされております。
■噛み合わせが悪いことによって、様々なデメリットがあります。
見た目の面でコンプレックスになると精神面にも影響があり、歯並びが悪いことによって正しいブラッシングがうまくできず、歯周病にもなりやすいといったリスクがあります。
また、噛み合わせが悪いことで顎や歯に大きな負担がかかり続け、身体自体がゆがんでしまう場合もあるため注意が必要です。
正しい咬合(噛み合わせ)は見た目が美しいのは勿論、身体機能のバランス維持の点においても大切な役割があります。
久野歯科医院では治療完了後の綺麗な歯並びを実現するだけでなく、治療中に治療器具が目立ってしまうことを心配される患者様へ目立たない小さな矯正器具をお勧めしたり、矯正治療と共に歯を白くされたいといったご要望にお応えすべく、ホワイトニング併用の矯正治療を行うなど、患者様のご要望・お気持ちにできるだけ共感し、最善の治療を行いたいと努めております。
お子様から高齢の方まで、幅広い年代の患者様をこれまでに数多く治療を行っておりますため、 矯正治療についてお悩みの方はお気軽に当院までご相談下さい。
歯並びががたがたになる原因の多くは、歯に比べて顎が小さい 顎に比べて歯が大きい 歯が大きく顎が小さいなどがありますが、いずれにしても歯と顎の大きさがアンバランスなことに起因しています。
アンバランスを解消し正しく美しい歯並びにするためには
1.前歯を前に出す / 2.奥歯を後ろに下げる / 3.顎を横に広げる / 4.ストリッピング(歯の横側をけずる) / 5.傾いた奥歯があればたてなおす
などの方法により歯を動かすスペースを確保・獲得しなければなりません。
上記の五つの方法を考慮しても、なおスペースが不足する場合に最終手段として、6.歯を抜く事を決定します。
また歯を抜くことにより横顔を美しく改善できます。
上顎前突の場合歯を抜かずに治療すると口の周りの緊張が残り口元が改善できない場合がしばしば見受けられます。非抜歯に固執しますと後戻りの可能性も高くなります。
![]() |
![]() |
|
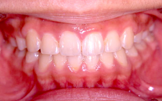
| 上の写真は歯を抜かないで治療した 口腔内写真です |
口元に緊張が残りぼてっとなっています |
![]() |
![]() |
|
| 上の写真は歯を抜いて治療した 口腔内写真です |
口元に緊張がなく美しい横顔となっています |
矯正治療を行う歯科医にとって歯を抜くことは決して安易な選択ではなく 苦渋の選択であることをご理解ください。
マウスピース矯正は目立たない・透明な矯正装置を使用し治療を行います。
装着時の見た目も自然で、取り外しが可能です。また痛みもありません。
金属アレルギーのある方や矯正装置が目立ってしまうのを気にされる方にお勧めです。
当院では主にクリアアライナー(アソアライナー)を採用しています。

矯正歯科治療のおおよその流れについて、ご紹介いたします。
![]() ![]() |
|
|
|
![]() |
|
![]() ![]() |
|
|
|
![]() |
|
![]() ![]() |
|
|
|
![]() |
|
![]() ![]() |
|
|
|
![]() |
|
![]() ![]() |
|
|
|
![]() |
|
![]() ![]() |
|
|
|
![]() |
|
![]() ![]() |
|
綺麗になった歯並びを安定させる期間です。来院間隔は3ヶ月〜6ヶ月です。 |
|


ワイヤーを使用しての本格治療では複雑な装置が口腔内にはいりますので、むしば、歯周病の予防のため、ブラッシングは十分してもらいます。
本格矯正のために歯にはブラケット(ブレース)とワイヤーが装着されます。
ブラケットとワイヤーには食物が付着しやすくなります。
矯正治療中には治療開始以前にもましてお口の中を清潔に保ち、むし歯にならないように、歯周病が発症して進行しないように気を付けなければなりません。
当院ではブレース装着前に一般的なブラッシングのお話と方法について説明して、患者様にブラッシングをしていただいた後、PMTCを行います。
その後、フッ化物を直接歯面に塗布します。
ブラケット装着後、前回のみがきにくいところや、磨き残しのあるところなどを確認してもらいながら再度、ブラッシングを行っていただきます。
その後ブラケット周辺の脱灰を防止するため局所的保護コーティングを行います。
必要に応じて時期をみて繰り返しフッ化物の塗布も行います。
右上の写真は当院で使用している光重合型レジン強化型フッ素徐放性の保護コーティング剤です。
![]() |
その後、最初のワイヤーを装着時(本格矯正の開始時)にブラッシング指導を行います。 ブラケットの中央部(スロット)にワイヤーが入っているので一歯につき、3方向から毛さきを入れ磨かなければなりません。 歯頚部側 (歯ぐきに近い方)から毛さきをワイヤーの裏側に入れて振動させて磨きます。 |
|
![]() |
||
![]() |
つぎに歯冠部側(かみ合わせる部分に近い方)から毛さきをワイヤーの裏側に入れて振動させて磨きます。 | |
![]() |
||
![]() |
つぎにブラケット、ワイヤーの前面に毛さきを当てて振動させて磨きます。 | |
![]() |
||
![]() |
当院ではさらにブラケット装着時にワンタフトブラシのプラウト(オーラルケア)をお渡しして、セルフケアの向上のために使用を指導します。 | |
また新しいむし歯の発生をおさえる補助として
キシリトールタブレットをお渡ししています。
歯間ブラシ、フロスも効果的で有効です。
毎食後歯みがきを行っていても、食べかすが装置に付着していたり
プラーク(歯垢)が付着していてはどうにもなりません。
歯を磨いているという行為が大切ではなく、
歯が磨けていてむし歯や歯周病が予防できていることが重要なのです。
オーラルケアグッズを何種類か購入することがよいのではなく、
オーラルケアグッズを使いこなすことが大切です。
矯正治療中にむし歯ができますと装置を一旦はずして、むし歯の治療を行う場合も多くあり、
矯正治療の進度が著しく遅れる原因となります。矯正治療を計画どおり円滑にすすめるためにも、
治療期間、治療時間の余計な延長を防止するためにもむし歯や歯周病を予防し
セルフケアすることがとても重要になってきます。
大人の方の矯正治療 症例の一部をご紹介いたします。
子供の方の矯正治療 症例の一部をご紹介いたします。
成長・発育の著しい子供の矯正治療には、原則として取り外しのできる装置を使用します。
また、反対咬合(うけぐち)の治療は子供の時期に早期に治療します。