

![]() |
![]() |
![]() |
当院おすすめ記事はこちら▼


常滑の矯正歯科 久野歯科医院 ≫ 矯正歯科 症例
こちらのページでは久野歯科医院の矯正歯科治療の症例についてご紹介をします。

【成人矯正】
(抜歯)上下顎前突叢生|(非抜歯)上下顎叢生|(抜歯)上下顎前歯叢生|(抜歯)上下顎前突叢生
(抜歯)下顎前突傾向のある上下顎前突、叢生|(抜歯)上顎左側犬歯の異所萌出|(抜歯)上下顎全突の治療と叢生
(抜歯)上下顎前突の改善|(非抜歯)下顎前歯の叢生・左側側切歯の舌側転位|(非抜歯)上下顎前歯の叢生|(抜歯)上顎前歯の突出・叢生
(抜歯)上下顎の叢生|(非抜歯)アソアライナーによる叢生|(非抜歯)叢生|(非抜歯)八重歯|(非抜歯)アソアライナーによる叢生
(抜歯)上下顎前突|(抜歯)八重歯|(抜歯)過蓋咬合、叢生|(非抜歯)叢生|(非抜歯)下顎の叢生・八重歯|(抜歯)八重歯と叢生
【小児矯正】
(非抜歯)反対咬合|(非抜歯)上下顎前歯の叢生(T4Kトレーナー・マイオブレイス)|(非抜歯)下顎前歯の叢生(T4Kマイオブレイス)
(非抜歯)叢生|叢生|上顎前突、過蓋咬合、下顎前歯叢生|上顎前突、過蓋咬合|反対咬合|反対咬合|第2乳臼歯を利用した症例
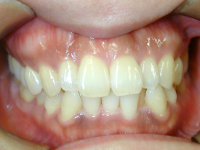
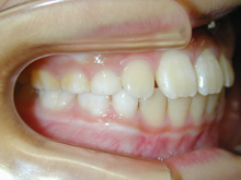
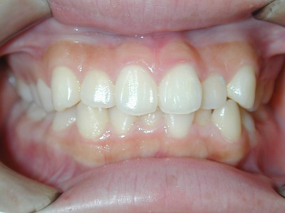
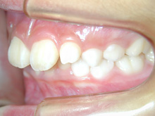
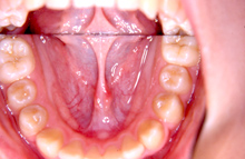
知多郡武豊町在住 S.M様(女性)
S.M様は上下の前歯のガタガタが気になるということで矯正相談にて来院されました。
当院での矯正治療をご希望されていたので問診、視診、歯牙検査、歯周病の基本検査等に加え詳しい状況を知り、
診断のための口腔内、顔貌の写真撮影、レントゲン撮影、模型採取試料採取を行いました。
加齢の影響で矯正歯科治療中の歯周病の発症の危険等を考慮しなければなりません。
![]() |
![]() |
叢生が見られますが上下顎前突で口元に緊張があります。
上下顎前突ですが骨格的には反対咬合傾向があり、上下顎第1小臼歯を抜歯してそのスペースを利用して上下顎前突と叢生を改善します。
歯周病(歯肉炎の悪化)とむし歯の発生についても注意が必要です。
左側犬歯関係1歯対2歯になるように下顎左側犬歯を後方に移動させます(キャナイリトラクション)。
併せて臼歯の正しいかみ合わせを確立するように治療します。
顔の正中と上下顎の中切歯の正中と合わせるように上下顎の前歯を後方に移動を試みます(アンテリアリトラクション)
![]() |
![]() |
![]() |
![]() |
![]() |
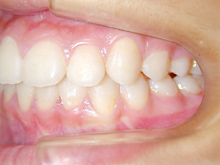
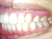
犬歯の後方移動は最も時間を要する治療ステージですが、犬歯の後方移動と前歯の後方移動に多くの時間が必要でした。
動的治療期間が延長しましたが患者様には十分な説明を行いました。懸念されたむし歯の発生と歯肉炎の悪化はありませんでした。
顔面の正中上下顎の正中は一致させることができました。口元の緊張はなくなり、突出感は改善されました。
治療費用:60万円
動的治療期間:4年
成人の矯正治療においては、歯根吸収・歯根破折・歯髄変性・歯髄壊死などが起こる可能性があります。
オーラルケアを怠ってしまうと、むし歯の発生や歯周病が悪化する可能性が高まります。
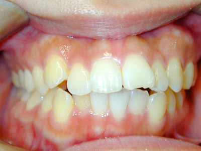
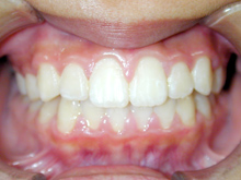
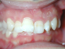
南粕谷在住 M.H様(32歳女性)
M.H様は矯正相談にて来院され下の前歯がガタガタであることを主訴に来院されました。
下顎前歯の叢生の改善のために部分矯正を希望されました。下顎の前歯群には中等度の叢生がみられます。
神経系の慢性疾患のためお薬の副作用の影響で歯肉の腫脹が目立っています。
むし歯の有無や歯周病の程度、修復物の状態などの口腔内検査を行い、
レントゲン写真、口腔内写真、正貌と側貌の写真撮影を行い診断のための資料を採取しました。
![]() |
![]() |
下顎前歯の叢生の改善するためには上下顎前歯の接触が緊密なために上顎の前歯の矯正治療が必要となります。
臼歯関係、犬歯関係ともに1対2歯でよく咬んでいますので
咬み合わせの関係を壊すことなく上下顎の前歯の叢生を部分矯正で改善をめざします。
側貌から口元には緊張がなく突出を認めなかったので非抜歯で矯正治療できると患者様にはお伝えしました。
薬物の副作用の影響の歯肉の腫れは叢生の改善によりブラッシングが容易になると改善されることを期待します。
上下顎の前歯を前方へ移動させ、その状態により前歯のストリッピングを行うなどを計画します。
![]() |
![]() |
![]() |
上顎の前歯部分の矯正治療を先行させます。上下顎前歯の接触状態をみてその後、下顎の小臼歯部までブレースを接着します。
部分矯正ですがブレースを接着する部位は咬み合わせの安定のために広範囲となります。
![]() |
![]() |
上顎のワイヤーをステップアップし、下顎にブレースが付くようになった時点で下顎に最初のワイヤーを装着します。
![]() |
![]() |
ストリッピングを行うことなく上下顎の前歯の叢生は改善されました。
上顎両側側切歯の歯肉の腫れは消退し、下顎前歯の叢生の改善により歯肉の腫れは消退傾向がみられます。
今後は上顎中切歯の歯間乳頭の腫れを軽減するためブラッシング指導と保定治療時のPMTCを継続する予定です。
矯正歯科治療で歯列が改善されたことで歯口清掃が容易になり、常用薬剤の副作用である歯肉腫脹は軽減されています。
治療費用:50万円
動的治療期間:1年6か月
成人の矯正治療では歯根吸収、歯根破折、歯髄変性、歯髄壊死などが起こる可能性があります。
オーラルケアを怠ればむし歯の発生や歯周病が悪化する可能性が高くなります。
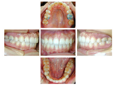
新舞子在住 I.Y様(15歳女性)
患者様は上下顎歯列弓の狭窄と上下顎前歯の叢生を主訴としてお母様とともに来院されました。
近隣のかかりつけの歯科医院で小児の頃より将来的な矯正治療の必要性をお話しいただいたそうです。
そのころからの将来矯正歯科治療の場合には抜歯の必要がある可能性も指摘されたともお話があったそうです。
お母様は初診時に当院での矯正歯科治療をご希望されていたので速やかに診断を行うよう
基本的な口腔内検査、口腔内・正貌、側貌写真撮影、レントゲン撮影、模型採得しました。
犬歯関係・臼歯関係は良好です。
![]() |
![]() |
犬歯関係・臼歯関係は良好ですので、かみ合わせを崩さないように矯正治療をすすめます。
上下顎前歯の叢生を改善するために上下顎両側第1小臼歯を4歯抜歯して治療します。
0.14インチラウンドのニッケルチタンワイヤーで治療開始して0.16×0.16レクタンワイヤーで治療をすすめていき叢生を改善します。
できたスペースを利用して叢生の改善と臼歯のかみ合わせの改善を行います。
![]() |
![]() |
![]() |
![]() |
![]() |
治療開始前には抜歯について強い拒否があるように見えました。
治療開始初期には体調の不良が断続的にありましたが、治療がすすむにつれてキャンセルがなくなり比較的順調に治療がすすみました。
治療の前に叢生のためずれていた中切歯の正中は一致しています。犬歯関係、臼歯関係も1対2歯でよく咬んでいます。
口腔衛生状態が治療中に不良でした。
装置がとれ、歯列が改善されたので口腔衛生状態の改善を期待してブラッシング等のオーラルセルフケアに重要性を説明しました。
後戻りを防ぐには保定が重要でリテーナーの使用を強く指導しました。
治療費用:60万円
動的治療期間:2年4か月
成人の矯正歯科治療では歯根吸収、歯根破折、歯髄壊死、歯髄変性などが起こる可能性があります。
オーラルケアを怠ればむし歯の発生や歯周病の悪化する可能性が高くなります。
常滑市小林町在住 S.T様(15歳女性)
S.T様は下顎前歯の叢生が主訴でお母様と無料矯正相談で来院されました。
口を閉じる際に口元の緊張があり、横顔に突出感がありました。
以前に上顎前歯の部分矯正をされたご経験があるとお話しされておりました。
そのためか上顎犬歯の横幅(幅径)が通常より少なく思いました。
試料採取より診断の結果、上顎の前歯にも軽度の叢生があり、口元の緊張を改善し、
前歯の叢生の治療のために抜歯が必要であることを説明し、了承が得られたので本格矯正で治療をすすめることとなりました。
上顎前歯に軽度の叢生、下顎前歯に叢生がみられます前歯の上下の接触状態が緊密でなく軽度の舌癖の存在を疑います。
臼歯部は1歯 対 2歯で咬んでいます。
![]() |
![]() |
各ステージで順調に治療がすすみました。
![]() |
![]() |
治療は順調に進みました。
犬歯の幅径が狭い事の対応として犬歯にダイレクトボンディングを行う、
下顎前歯のストリッピングを行うなどのプランを考えましたがその両方とも行うことなく動的治療を完了しました。
舌癖の存在は後戻りの大きな原因となりますので今後の保定治療でも注意が必要で、引き続き舌癖の改善を行います。
![]() |
![]() |
歯列矯正には副作用としてむし歯の発生、歯周病の悪化、歯肉退縮、歯根吸収、歯髄壊死などが起こる可能性があります。
治療期間:2年3ヶ月
治療費用:60万円
常滑市井戸田町在住 S.M様(23歳女性)
S.M様は口元の突出感と上顎前歯の傾きを主訴に当院の無料矯正相談にて来院されました。
来院当初より当院にて矯正治療をご希望されましたので通常通り模型採取、レントゲン撮影、口腔内写真の撮影、
正貌・側貌の撮影などの試料採取を行いました。
診断の結果、咬み合わせが骨格的には反対咬合傾向の上下顎前突である事や前歯上顎前歯の歯軸が左右方向に流れて傾斜していること、
咬み合わせが浅いことなど治療はやや難度の高いことをお話しいたしました。
前歯の咬み合わせが浅く切端咬合です。上顎前歯の歯軸が左右的に傾いています。
犬歯関係・臼歯関係ともにClass3です。
![]() |
![]() |
犬歯関係、臼歯関係を咬み合わせが1歯対2歯のClass1に治療するためと口元の突出感を改善するために右側は上下顎第1小臼歯を抜歯しました。
左側は上顎第2小臼歯、下顎第1小臼歯を抜歯しました。
![]() |
![]() |
![]() |
治療の経過で一時、反対咬合傾向がでましたが処置方針通り治療がすすみました。
S.M様は一度のキャンセルもなく予定通り来院治療され、
お渡ししてあった治療計画書通りに2年6ヶ月(30ヶ月)で動的治療を終えることができました。
![]() |
![]() |
治療期間:2年6ヶ月
治療費用:60万円
F.N様(女性)
F.N様は当院の無料相談にて来院されました。主訴は上顎左側犬歯の異所萌出です。
レントゲン診査をおこなうと、犬歯の根尖は側切歯の根尖より後方に位置しており、移動は可能か精密に検査が必要でした。
エックス線の撮影方向をかえ、さらにレントゲン診査を行いました。
一般的には犬歯を抜歯する可能性は非常に低いと思われます。
しかし今回の例では犬歯の歯冠の部分が側切歯の歯冠の前方に位置していて犬歯を移動させる距離が非常に長くなり
歯根吸収や側切歯に悪影響を及ぼす可能性が高いと判断して犬歯を抜歯することにしました。
犬歯を抜歯することにより本来の犬歯の位置に近い部位にある第1小臼歯を犬歯と見立てて治療することになります。
移動距離も少なくなり、治療期間の短縮も期待できます。
しかし犬歯と犬歯に見立てる第1小臼歯では大きさが違ってきます。
犬歯関係や臼歯関係を考えると上下の中切歯にズレが生ずる可能性が残ります。
犬歯と第1小臼歯の大きさの差があり上下の中切歯のズレがありますが犬歯関係、臼歯関係は1歯 対 2歯でしっかりかんでいます。
矯正歯科治療では安定した、かみ合わせの確立が大切です。
![]() |
![]() |
![]() |
![]() |
![]() |
![]() |
矯正の場合は副作用として治療中のむし歯の発生や歯周病の悪化の危険性、
それ以外にも歯根吸収、歯根破折、歯髄変性、歯髄壊死などの可能性があり、注意が必要です。
犬歯の代わりの第1小臼歯に歯肉の退縮がみられます。現在は知覚過敏など不快症状は出ていません。
しっかりとリカバリーをいたします。
M.C様(女性)
M.C様はホームページの矯正相談から来院されました。前歯部の突出と叢生が主訴でした。
診断したところ顔の正中と上顎の中切歯の正中がずれており、下顎の中切歯と顔の正中が一致しておりました。
顔の正中と顎の中切歯の正中の一致も叢生と上下顎全突の治療と共に改善していくことにしました。
抜歯数を最小限にするプランや大臼歯の抜歯の抜歯するプランなど様々な治療プランがありましたが、
治療期間や抜歯部位、抜歯数、上顎第1大臼歯の後方への移動などを考えた結果、
上顎の左右側第1小臼歯の2歯と下顎左側第1小臼歯の1歯を抜歯して治療する計画をたてました。
犬歯関係はClass1で右臼歯関係はClass2、左臼歯関係はClass1でしっかりと1歯 対 2歯でかませるように治療します。
![]() |
![]() |
![]() |
![]() |
![]() |
上顎前歯の叢生が改善してくるにつれて隠れていた隣接面のむし歯が現れてきましたがすぐに対応できました。
矯正歯科治療を中断することなくむし歯の治療が可能です。これも当院の強みのひとつです。
治療の初期に右側上顎の第3大臼歯を抜歯して第2大臼歯の移動しやすくします。
左側の第2大臼歯の交叉咬合の治療に時間がかかりました。
![]() |
![]() |
処置方針どおり、犬歯関係はClass1で右臼歯関係はClass2左臼歯関係はClass1でしっかり治療できました。
動的治療後智歯周囲炎を繰り返したため、患者様の訴えもあり左側上下の第3大臼歯を岡崎市市民病院へ抜歯依頼いたしました。
動的治療後の1年は後戻りで隙間が出来やすい状態となります。リテーナーの装着が必ず必要です。
矯正の場合は副作用として治療中のむし歯の発生や歯周病の悪化の危険性以外にも、
歯根吸収、歯根破折、歯髄変性、歯髄壊死などの可能性があり、注意が必要です。
叢生の強い場合で歯の形によってはブラックトライアングルができる可能性もあります。
ブラックトライアングルの治療を望まれた場合や歯と歯の隙間が多い場合には対応が必要になってきます。
K.Y様(女性)
K.Y様は上下顎の突出感を主訴として来院しました。
口元に緊張があり、相談時より抜歯の必要性を説明いたしましたが、
抜歯を快く了承され、資料採取、診断の後、直ちに治療開始となりました。
上下顎前突を改善するために上下顎左右側の第1小臼歯を抜歯して、そのスペースを利用して前歯を後方に移動させます。
臼歯関係を崩さないように犬歯関係を確立させて治療します。
スライディングメカニクスでアンテリアリトラクション(前歯の後方への移動)を行ないます。
![]() |
![]() |
![]() |
![]() |
![]() |
![]() |
口元の過度な緊張はなくなり、余裕ができました。側貌は著明な改善が認められます。
![]() |
![]() ![]() |
![]() |
矯正の場合は副作用として治療中のむし歯の発生や歯周病の悪化の危険性以外にも、
歯根吸収、歯根破折、歯髄変性、歯髄壊死などの可能性があり、注意が必要です。
K.S様(女性)
K.S様は下顎前歯の叢生、左側側切歯の舌側転位を主訴として来院されました。
「下顎前歯のなかに入っている歯を治したい」とのことでした。
部分矯正をご希望でしたが、本格矯正の診断と同様に模型採得、
口腔内写真・顔面写真の撮影、レントゲン撮影を行い資料を集め、診断しました。
臼歯関係は良好で部分矯正で治療が可能であることをお話しました。
上下の前歯が緊密に接触していることと、上顎の前歯にも軽度の叢生があるため
上顎の前歯の部分矯正の必要性を説明しました。正中も大きくずれています。
![]() |
![]() |
上下顎第2小臼歯までブラケットをつけてワイヤーにて部分矯正を行ないました。
必要に応じてストリッピング(IPR:インタープロキシマルリダクション)を行ないました。
![]() |
![]() |
![]() |
![]() ![]() |
![]() |
部分矯正ですが上下顎中切歯の正中も治療前に比べて大きく改善しています。
歯列矯正の副作用として治療中のむし歯の発生や歯周病の悪化の危険性以外にも、
歯根吸収、歯根破折、歯髄変性、歯髄壊死などの可能性があり、注意が必要です。
ストリッピングを行なっているのでエナメル質の範囲で隣り合った歯と歯の間の歯質を切削しています。
治療期間:1年2ヶ月
治療費用:43万円
知多市大興寺在住 I.A様(女性)
I.A様は上下の前歯の歯並びがガタガタの叢生が主訴で来院されました。
矯正相談で叢生の場合には歯を移動させ整えるにはスペースが必要で、
スペースの獲得には抜歯の必要性をお話した後、診断のための資料採取をおこないました。
診断の結果、側貌(プロファイル)が良好なため抜歯を行なうことなく治療ができることをお伝えしました。
了解を得られましたので診断時にお渡しした治療計画書を提出してもらい、治療を開始することにいたしました。
上下顎の前歯に叢生(ガタガタ)がみられ、歯列弓の狭窄もすこしあります。臼歯関係は1歯対2歯です。
![]() |
![]() |
上顎歯列弓をQ.H(クワドヘリックス)という拡大装置にて拡大します。
![]() |
![]() |
処置方針どおり抜歯を行なうことなく、動的治療が完了しました。
![]() |
![]() |
非抜歯で治療した場合には後戻りに叢生の傾向がみられます。
動的治療を終了しても少なくとも動的治療に費やした年月は保定が必要です。
歯列矯正には副作用としてむし歯の発生、歯周病の悪化、歯根吸収、歯髄壊死、歯髄変性などが起こる可能性があります。
治療期間:2年
治療費用:60万円
T.Y様(女性)
T.Y様は口元の緊張と上顎前歯の突出、叢生を主訴にお母様と矯正相談にて来院されました。
お仕事(アパレル)の関係上目立たない歯列矯正の方法をご希望でしたが、
資料採取の後診断をおこない、主訴の改善には抜歯が必要なこと、抜歯しての歯列矯正にマウスピース矯正は不向きであること。
舌側矯正(リンガル)は高額となり当院ではハーフリンガルで治療する事が多く、
また抜歯症例では前歯の動きやかみ合わせに通常の治療以上に注意が必要であることなどを説明しました。
お母様とも相談し、通常の表側のブラケットとワイヤーによる歯列矯正を行なうことになりました。
![]() |
![]() |
途中、お仕事の都合で通院が不規則になった時期がありました。
![]() |
![]() |
治療期間は予定より延長しましたが口元の突出観は改善されました。上下顎の叢生も改善されました。
![]() |
![]() |
![]() |
![]() ![]() |
![]() |
歯列矯正には副作用としてむし歯の発生、歯周病の悪化、歯根吸収、歯髄壊死、歯髄変性などが起こる可能性があります。
治療期間:3年2ヶ月
治療費用:60万円
知多市在住 K.M様(女性)
K.M様は矯正相談で上下顎の叢生を主訴に来院されました。
舌側矯正やマウスピ−ス矯正についての質問があり、抜歯の必要性を説明して歯並びを整えるには本格矯正が必要であることをお話しました。
診断の結果、上下の第1小臼歯の抜歯をおこないそのスペースを利用して叢生と咬み合わせの改善を行なうことになりました。
相談時には矯正治療に不安があると、ご心配の様子でしたが、
治療の開始を決められたときには治療に積極的な、お気持ちを感じられるように思いました。
上下顎の前歯に中等度の叢生が見られます。上顎中切歯が前方に突出していて側切歯が内方に位置しています。
![]() |
![]() |
指示通りの通院をしていただき、順調に治療がすすみました。
![]() |
![]() |
叢生は改善され、正中も一致し、犬歯・臼歯の咬み合わせの関係も良好です。
![]() |
![]() |
![]() |
![]() ![]() |
![]() |
抜歯して治療したものでは空隙ができやすいので他の治療例と同様に保定治療が必要で、大切です。
歯列矯正には副作用としてむし歯の発生、歯周病の悪化、歯根吸収、歯髄壊死、歯髄変性などが起こる可能性があります。
治療期間:2年6ヶ月
治療費用:60万円
常滑市鯉江本町在住 I.K様(女性)
I.K様は上下顎前歯の叢生を主訴に来院されました。
「上下顎の前歯のガタガタが強くなり下の前歯のずれが気になる」とのことでした。
お仕事の関係からなるべく目立たない方法をご希望され、診断の結果、横顔のプロファイルも良好で歯を抜くことなくアソアライナーで矯正治療を行ないました。
アソアライナーは目立たない、取り外しのできる矯正装置ですが一般の成人矯正とおなじようにアソアライナー装着前には十分なセルフケアが必要です。治療中のむし歯の発生や歯周病の悪化には十分な注意が必要です。
装着時間は12時間以上が必要となります。
![]() |
![]() |
![]() |
![]() |
セルフケアがしっかりできており患者様の協力もあり順調に治療がすすみました。
叢生は改善され正中のズレもなくなりました。
治療期間:1年1ヶ月
常滑市大野町在住 K.M様(女性)
K.M様は上顎前歯の翼状捻転と下顎の前歯の叢生が主訴で、お父様と来院されました。
この時期、混合歯列期の治療の目標は
などです。
スペースの管理、今後生えて来る永久歯のスペースの獲得のために上下に床矯正装置の拡大床を装着し歯列弓の拡大をおこないました。
拡大床による治療がしっかりとできたので下顎の叢生は改善され上顎の翼状捻転も改善傾向となりました。
![]() |
![]() |
このまま永久歯への交換が順調にすすめば、ブラケットとワイヤーによる本格治療は避けられる可能性も高く感じていました。
![]() |
![]() |
![]() |
しかし下顎左側第2乳臼歯の正常な交換が行なわれず。生え変わることなく埋伏して人為的に牽引しなければならない状態となりました。
開窓手術を常滑市民病院の歯科口腔外科の籐武智博士にお願いして牽引をおこないました。
牽引を行なうにあたりアンカーをとなりの歯に求めなければならず、永久歯列が完成する頃には歯列全体の乱れが目立つようになって来ました。 そこで牽引していた歯冠部が口腔内へ露出したときに再度、患者様とお父様に状態を説明し、本格矯正治療を行なうこととなりました。
![]() |
![]() |
患者様の希望により少し早めに装置を取り除きました。
埋伏していた下顎左側第2小臼歯の牽引と歯列弓への取り込みに多くの時間を要しました。
進学のための学業も忙しくなる様子でしたのでK.Mさまと相談し早めの装置の除去となりました。
矯正歯科治療ではむし歯の発生、歯周病の悪化、歯髄変性、歯髄壊死、歯根吸収などが副作用として起こる可能性があります。
治療費用:60万円
常滑市小倉町在住 I.H様(女性)
I.H様は定期的に当院へ来院されているお父様からの相談から来院されました。3人姉妹のお一人で長女の方です。
上顎右側の八重歯が主訴で来院されました。
抜歯を行なってスペースを確保するのではなく、第1大臼歯を後方に移動させ臼歯関係と犬歯関係を改善させます。
![]() |
![]() |
本格矯正を行う前に第1大臼歯を後方に移動させる部分・準備矯正をおこないました。

![]() |
![]() |
その他の部分は叢生の程度も軽く比較的短い動的な治療期間となりました。
今後は後戻りがないように注意深い定期的な観察と健診が必要です。
矯正歯科治療の副作用としてむし歯の発生と歯周病の悪化する場合があります。
むし歯と歯周病の悪化を防ぐためにセルフケアとプロフェッシオナルケアが必要です。
治療期間:2年
常滑市小倉町在住 M.T様(女性)
M.Tは上下顎前歯の叢生を主訴として来院され、目立たないアソアライナーでの矯正治療を希望されました。
お口のなかの写真撮影、顔貌の写真撮影、レントゲン撮影、歯周病の検査、歯がたの採得などを行いました。
診断の結果、横顔のプロファイルも悪くなくアソアライナーでの治療が可能と判断しました。
歯肉炎のため、歯肉の発赤、歯肉の腫れ、歯周病検査時の歯周ポケットからの出血がありアソアライナーによる矯正歯科治療と並行して歯肉の改善、治療を計画しました。
![]() |
![]() |
![]() |
![]() |
アソアライナーによる矯正治療は順調にすすみました。
叢生の改善によりセルフケアが簡単になり歯肉炎が消退することを期待します。
動的治療期間:9ヶ月
阿久比町在住 Y.A様(女性)
Y.A様は、おばあさまと来院されました。無料矯正相談でお話を伺ったところ出っ歯を治したく来院されたとのこと。
当院での矯正治療をご希望されておりました。
むし歯、歯周病の基本検査をおこないました。基本検査は一般治療の際でもいうまでもなく大切な検査です。
むし歯が発見されると矯正歯科治療の前に治療が必要です。
歯肉炎などの歯周病が存在すれば矯正装置による口腔ケアが治療の前より格段に難しくなります。
口腔内、顔貌の写真撮影、診断用模型の採得、レントゲン診査を行い診断のための資料採取をおこないました。
口元には前歯の突出のために口を閉じると緊張がみられます。
診断は叢生をともなう上下顎前突で、処置方針は抜歯をおこないできたスペースを利用して叢生の改善と咬み合わせの改善と共に前歯を後方に移動させて口元の緊張を改善します。
![]() |
![]() |
![]() |
![]() |
横顔も改善しました
![]() |
![]() ![]() |
![]() |
動的治療後の1年は後戻りで隙間が出来やすい状態となります。リテーナーの装着が必ず必要です。
矯正の場合は副作用として治療中のむし歯の発生や歯周病の悪化の危険性、
それ以外にも歯根吸収、歯根破折、歯髄変性、歯髄壊死などの可能性があり、注意が必要です。
常滑市在住 Y.M様(女性)
Y.M様は八重歯が気になると言うことで当院に来院されました。
基本検査を行いました。その結果、右側第1大臼歯が治療の途中でしたが他にはむし歯はなく、歯肉炎の程度も軽度であったため続いて、口腔内写真、側貌、正貌の写真撮影を行いレントゲン撮影、模型の採得を行ないました。
後日診断結果をお知らせする際にはお父様も来院され説明をさせていただきました。
診断の結果、臼歯関係は治療前ではclassⅠで左右の上顎側切歯が反対咬合となっていました。
処置方針は上下の第1小臼歯を抜歯してできたスペースを使用して八重歯と叢生を改善します。
まず上顎の抜歯と治療を先に開始して側切歯の反対咬合を改善し咬み合わせの制限をなくした後、
下顎が後方に下がり咬みあわせの変化があるかどうかを確認して、変化がなければ下顎の第1小臼歯を抜歯して治療します。
後方に下顎が変位すれば下顎の非抜歯の治療を考慮します。
![]() |
![]() |
![]() |
![]() |
横顔も改善しました
![]() |
![]() ![]() |
![]() |
右側第1大臼歯がプラスティックで修復されていて少しかみ合わせに配慮が必要でしたが順調に治療がすすみました。
成人の矯正歯科治療には歯肉の退縮、歯の破折、歯根の吸収歯髄の変性や壊死などの副作用が発現する可能性もあり、注意しなければいけません。
治療費用:70万円
常滑市明和町在住 W.R様(女性)
W.R様は前歯のかみあわせと前歯の傾きが気になるとのことで来院されました。
無料矯正相談にてお口の中を拝見させていただき、咬みあわせがとても深く、下顎の前歯が前方からみえないこと、前歯の傾き左右で違うことなど、気付いた点をお話しました。
資料採取をおこない診断ののち、上顎の第T小臼歯を抜歯して矯正歯科治療を行なうことといたしました。
下顎の前歯2歯が先天性の欠如をしており、上下の歯列弓のバランスをとることが難しい可能性がありました。
比較的順調に治療がすすみましたが途中に舌下腺にのう胞ができたり、
患者様の結婚、妊娠、出産と大きな出来事があり、治療期間が予定よりやや延びました。
またお住まいも変わり、生活環境も大きく変化したと想像されます。
治療の後半では口腔内環境が大きく変化いたしました。
下顎の前歯の先天性欠如のため前歯の後方移動を行い、スペースクローズのステージで通常のかみあわせと変えて治療を行ないました。
![]() |
![]() |
![]() |
![]() |
常滑市住吉町在住 K.T様
K.T様は当院の無料歯科相談にて御来院されました。
主訴は上下顎の前歯のがたがたが、気になると言うことでした。
無料相談にてお口のなかを拝見し簡単な感想をお伝えし主訴、K.T様のご希望をお聞きして質問にお答えしました。
診断の結果から上下顎前突野傾向がみられ、側貌から抜歯の可能性についてもお話しましたが、患者様の主訴は叢生で前突感ではないため非抜歯で本格矯正を行なうこととなりました。
治療前の臼歯関係では右側、左側共にClass1、犬歯関係では右側、左側ともにClass2で正中のズレもみられます。
![]() |
![]() |
![]() |
![]() |
|
![]() |
||
![]() |
![]() |
|
![]() |
||
![]() |
![]() |
|
![]() |
![]() |
患者様のお仕事の関係もあり、K.T様の要望もありましたので本来の処置方針に従えばやや早いのですが犬歯関係、臼歯関係共に良好で正中のズレも改善され前歯の接触状態もよいため動的治療を終了しました。
治療中の口腔内の清掃状態も良好でむし歯の発生、歯肉炎の悪化もありませんでした。
成人の矯正治療では歯根の吸収、歯根の破折、歯髄の壊死等の副作用を起こさないように注意をします。
今後は後戻りを防止するために保定治療に入ります。
治療期間:1年9ヶ月
治療費用:60万円
常滑市在住 Y.K様(15歳女性)
Y.K様はかかりつけの歯科医院様よりのご紹介で、お母様とご一緒に来院していただきました。
主訴は下顎の叢生と上顎左側の八重歯気味の歯ならびの改善をご希望されておりました。
かかりつけの歯科医院様で今まで小児矯正で治療されており上下の歯列弓の拡大がされていて当院への来院時には叢生の程度は軽いものでした。 かかりつけの歯科医院様で予防の管理がしっかりされていてむし歯はなく、歯肉の炎症もほとんどなく本格矯正に移ることができました。
お口の中の診査、口腔内写真・顔貌の写真撮影、レントゲン撮影を行い、模型の採得をして診断を行ないました。
診断の結果叢生は軽度でしたが臼歯関係が右側はClass1、左側はClass2で犬歯関係も右側はClass1左側はClass2で正中は左に偏移していて咬みあわせがやや深い状態でした。
![]() |
![]() |
![]() |
![]() |
|
![]() |
||
![]() |
![]() |
|
![]() |
||
![]() |
![]() |
|
![]() |
![]() |
順調に治療がすすんでおりましたが患者様の非常に強いご希望により比較的早く、装置を除去することになりました。
今後は紹介いただいたY.K様のかかりつけの歯科医院さまと連携を図り後戻りのないように保定をおこないます。
犬歯関係、臼歯関係が改善しました。正中のズレも改善され、深かったかみ合わせも改善されました。
治療期間:1年9ヶ月
治療費用:50万円
常滑市在住 T.M様
T.M様は顎関節の痛みを訴えられて予約をいただきましたが、来院時には症状は軽くなっており咬み合わせの悪さから顎関節の痛みが生じていたのなら矯正歯科治療を希望するとのことでした。
T.M様には歯並びや咬みあわせがよくないから顎関節症になるとは限らないことや矯正歯科治療を行なっても顎関節症が治るとは限らないこと、顎関節症の原因のひとつとして、 かみ合わせや歯並びの不正はありますが他にも多くの要因が考えられることなどを説明お話しました。
さらに不正咬合が将来、むし歯や歯周病の発生などの悪影響を及ぼすことについて説明いたしました。
T.M様の矯正歯科治療には抜歯を伴う可能性が高いことや一般的な抜歯の必要性なども説明お話しました。
その後、矯正歯科治療をご希望されましたので検査を行い資料の採取をして診断へ移りました。
臼歯関係は治療前でClass1で正中のズレが認められる八重歯と叢生です。
![]() |
||||
<治療前上側> |
||||
![]() |
![]() |
![]() |
||
<治療前左> |
|
<治療前正面> |
|
<治療前右> |
![]() |
||||
<治療前下側> |
![]() |
||||
<治療後上側> |
||||
![]() |
![]() |
![]() |
||
<治療後左> |
|
<治療後正面> |
|
<治療後右> |
![]() |
||||
<治療後下側> |
第1大臼歯のClass1を確立して抜歯してできたスペースを利用して叢生の治療と犬歯のClass1を確立します。
正中のズレも改善されました。順調に治療がすすみました。
成人の矯正歯科治療には歯肉の退縮、歯の破折、歯根の吸収歯髄の変性や壊死などの副作用が発現する可能性もあり、注意しなければいけません。
治療費用:60万円
K.M様は口元の緊張と下の前歯が気になることを主訴として来院されました。
将来的な歯ならびが及ぼす影響もよくご存知で認識されており、矯正歯科治療をご希望されました。むし歯や歯周病のための基本検査、口腔内写真、側貌、正貌の顔貌写真、レントゲン撮影による検査を行い、診査用模型の採得をして診断資料の採取をおこないました。
歯列の乱れは軽度で下顎の叢生がみられます。口を閉じると口元に緊張があらわれます。
処置方針は抜歯を行ない、できたスペースを利用して叢生の改善と前歯群の後方への移動を行なって口元の緊張度を和らげます。
![]() |
||||
<治療前上側> |
||||
![]() |
![]() |
![]() |
||
<治療前左> |
|
<治療前正面> |
|
<治療前右> |
![]() |
||||
<治療前下側> |
![]() |
||||
<治療後上側> |
||||
![]() |
![]() |
![]() |
||
<治療後左> |
|
<治療後正面> |
|
<治療後右> |
![]() |
||||
<治療後下側> |
治療は順調にすすみました。お仕事の関係上、住居が遠方になることがわかっていたので早めに装置をはずすことになりました。
動的治療終了後の1年は特に歯列が不安定で後戻りに気をつけなければなりません。
患者様には保定の大切さをお話して、リテーナーの使用期間についても説明しました。成人矯正の場合は副作用として治療中のむし歯の発生や歯周病の悪化の危険性、以外にも歯根吸収、歯根破折、歯髄変性、歯髄壊死などの可能性があり、注意が必要です。
常滑市あすか台在住 K.S様(16歳男性)
K.S様は16歳男性で叢生と奥歯(右側の第2大臼歯)の上の歯が外側に下の歯が内側に傾斜して生えていることを主訴に常滑市内の歯科医院様よりのご紹介でお母様と共に来院されました。
小児の頃よりかかりつけの歯科医院様で床型矯正装置を使用され顎の拡大、部分的な前歯の反対咬合の改善など治療されてきましたが、今回、本格矯正を希望されて当院に来院されました。
歯にステインの着色が若干ありましたが、むし歯はなく、歯肉の炎症もほとんどなく、かかりつけ歯科医院様のしっかりとした管理がされていたのがうかがわれました。
口腔内写真の撮影、顔貌(正貌・側貌)の写真撮影、レントゲン撮影、研究用模型の採取を行い診断しました。
臼歯関係、犬歯関係ともに左側はClass1、で右側では臼歯関係、犬歯関係ともにClass1の叢生です。
処置方針は非抜歯で外則を向いた上顎右側第2大臼歯を歯列弓内に取り込み、それに対応して内側に傾斜した下顎第2大臼歯の立てなおしをはかってから、叢生を解消して治療することにしました。
治療期間:2年3ヶ月
治療費用:50万円
治療前の写真です。
![]() |
||||
<治療前上側> |
||||
![]() |
![]() |
![]() |
||
<治療前左> |
|
<治療前正面> |
|
<治療前右> |
![]() |
||||
<治療前下側> |
予想以上に右側の第2大臼歯のかみ合わせの治療に時間を要しました。
その後は比較的に順調の処置方針どおり治療がすすみましたが、高校2年から受験を控えて勉強に忙しく、1ヶ月以上の未来院の期間が数回あったようです。治療の後半では約束どおりの来院で治療できました。
![]() |
||||
治療後の写真です。 | ||||
![]() |
||||
<治療後上側> |
||||
![]() |
![]() |
![]() |
||
<治療後左> |
|
<治療後正面> |
|
<治療後右> |
![]() |
||||
| <治療後下側> | ||||
こういった症例の場合、ブレースとワイヤーによってお口の中の清掃が不十分となりむし歯の発生、歯肉炎の悪化の危険性が高まります。
また、矯正力が歯に伝わる時に痛みを感じる方もいらっしゃいますので、医師によるヒアリングとケアが不可欠です。
常滑市榎戸町在住 S.Y様
S.Y様は上顎前歯の突出を主訴にお母様と来院されました。
S.Y様のお口の中を拝見し、無料相談ののち了承を得て資料採取を行い、診断を行いました。
むし歯はなく、歯周病も軽度の歯肉炎でしたので一般的な基本のブラッシングのお話をして、口腔内写真の撮影、顔貌(正貌・側貌)の写真撮影、レントゲン撮影、研究用模型の採取を行い診断しました。
臼歯関係、犬歯関係ともに左側はClass1、ややClass2傾向があり、右側では臼歯関係、犬歯関係ともにClass2で上顎前突です。
処置方針は非抜歯で上顎第1大臼歯をサービカルタイプのヘッドギアを用いて上顎第1大臼歯を後方へ移動させて臼歯・犬歯関係をつくりながら叢生の解消して治療することにしました。
治療期間:2年4ヶ月(ヘッドギアのみの治療期間を含む)
治療費用:60万円
治療前の写真です。
![]() |
||||
<治療前上側> |
||||
![]() |
![]() |
![]() |
||
<治療前左> |
|
<治療前正面> |
|
<治療前右> |
![]() |
||||
<治療前下側> |
ヘッドギアを使用して上顎第1大臼歯を後方へ移動させます。
S.Y様には在宅中と就寝時のヘッドギアの使用をお願いしました。
顎外固定装置のヘッドギアを指示通りに使用してくださり、計画通りに上顎第1大臼歯を後方に移動することができました。
成長発育中にヘッドギアを使用して上顎第1大臼歯を後方に移動させて上下の第1大臼歯のかみ合わせの改善と叢生の治療のためのスペースに確保ができました。
![]() |
![]() |
![]() |
治療の途中では結さつ線がはずれてきたり、ワイヤーがはずれてくることが通常に比べて多く起こりました。
治療が予定通りすすまないこともありました。治療の後半ではお口の中のむし歯の管理に時間を要することもありました。
![]() |
||||
治療後の写真です。 | ||||
![]() |
||||
<治療後上側> |
||||
![]() |
![]() |
![]() |
||
<治療後左> |
|
<治療後正面> |
|
<治療後右> |
![]() |
||||
| <治療後下側> | ||||
固定式治療用装置を使った矯正歯科治療の副作用として、矯正歯科治療中のむし歯の発生、歯周病の悪化などの注意しなければなりません。
力のコントロールを十分に行い歯根吸収にも注意します。
特に成人では歯髄の壊死につながることもあり、ノウハウのあるしっかりとした医師の治療をおすすめいたします。
常滑市奥条在住 I・M様 (15歳女性)
IM様はかかりつけの歯科の歯科医院さまより紹介されお母様と共に来院されました。
お話によりますと通われていた歯科医院様で混合歯列期に上下顎に拡大床を入れて治療されていたとのことでした。
永久歯列となったため、かかりつけの歯科医院様よりご紹介をいただきました。
すぐに資料採取を行い、診断し非抜歯で本格矯正による矯正歯科治療を開始しました。
治療期間:2年2ヶ月
治療費用:60万円
治療前の写真です。
![]() |
||||
<治療前上側> |
||||
![]() |
![]() |
![]() |
||
<治療前左> |
|
<治療前正面> |
|
<治療前右> |
![]() |
||||
<治療前下側> |
||||
|
||||
上顎の犬歯が八重歯の位置に生え始めています。 | ||||
![]() |
||||
|
治療後の写真です。 | ||||
![]() |
||||
<治療後上側> |
||||
![]() |
![]() |
![]() |
||
<治療後左> |
|
<治療後正面> |
|
<治療後右> |
![]() |
||||
| <治療後下側> | ||||
| ||||
抜歯(第1小臼歯)を行うことなく、八重歯を主訴とする矯正歯科治療を完了することができました。 | ||||
常滑市大野町在住 M・A様
MA様は以前通院されていた小児歯科で犬歯の埋伏を指摘されたものの取り扱いに苦慮され、矯正歯科治療の可能性の相談のため来院されました。両側の犬歯が萌出しないで上顎骨の上方に埋伏していました。そのため乳犬歯は脱落せず、永久歯の犬歯に交換されず晩期残存していました。また他の乳歯と永久歯の交換も遅れ気味でした。 レントゲン写真では上顎骨の深い位置に左右に犬歯の埋伏が認められ、乳犬歯の晩期残存の状態がわかります。
動的治療期間:6年(治療開始時:中学1年 治療終了時:高校3年)
治療前の口腔内写真、レントゲン写真です。
![]() |
||||
<治療前上側> |
||||
![]() |
![]() |
![]() |
||
<治療前左> |
|
<治療前正面> |
|
<治療前右> |
![]() |
||||
<治療前下側> |
![]() |
![]() |
|
<治療前レントゲン左側> |
<治療前レントゲン右側> |
![]() |
||||
|
治療後の写真です。 | ||||
![]() |
||||
<治療後上側> |
||||
![]() |
![]() |
![]() |
||
<治療後左> |
|
<治療後正面> |
|
<治療後右> |
![]() |
||||
| <治療後下側> | ||||
| ||||
埋伏した犬歯の抜歯も考えられましたが最終的には注意深い経過観察の後、CT撮影を行い埋伏犬歯の部位を確認し開窓し、その他の永久歯列をアンカーに犬歯を牽引しました。 結果、当初の処置方針どおり永久歯を失うことなく矯正歯科治療(動的治療)を完了できました。 | ||||
知多市佐布里町在住 I・S様 19歳女性
主訴:上顎前歯の隙間がとても気になる
アソアライナーによる前歯のみの部分矯正歯科治療を希望
臼歯関係は両側ともClassⅡで1歯対1歯の咬合状態です。
犬歯関係は両側ともClassⅡです。
骨格的には問題はありません。
舌、嚥下の悪習癖の存在が疑われます。
動的治療期間:8ヶ月 矯正治療費用:25万円
治療前の写真です。
![]() |
||||
<治療前上側> |
||||
![]() |
![]() |
![]() |
||
<治療前左> |
|
<治療前正面> |
|
<治療前右> |
![]() |
||||
| <治療前下側> | ||||
|
||||
アソアライナーによる上顎前歯部の部分矯正歯科治療を行いました。 | ||||
![]() |
||||
|
治療後の写真です。 | ||||
![]() |
||||
<治療後上側> |
||||
![]() |
![]() |
![]() |
||
<治療後左> |
|
<治療後正面> |
|
<治療後右> |
![]() |
||||
| <治療後下側> | ||||
| ||||
アソアライナーにて上顎前歯部のみの部分矯正歯科治療を行ないました。 成人は悪習癖の除去が難しい場合もあり、子供のときから口呼吸、異常嚥下癖などに保護者の方は注意が必要です。 | ||||
常滑市小倉町在住 M・K様 16歳男性
MK様はお母様とともに矯正歯科治療の相談にて来院されました。
主訴は前歯のガタガタ(叢生)と犬歯が八重歯になりそうであるとの事。
ご本人の矯正歯科治療の強いご希望にて来院されました。
当院の治療の流れのとおり、初診の無料相談からMK様の口腔内写真、レントゲン撮影、
模型の採得を行い、MK様の診断を行なって抜歯の必要性など矯正歯科治療のために
考慮しなければならないことなどをご本人とお母様にお知らせして十分な説明の後、
矯正歯科治療を開始いたしました。
動的治療期間:小学6年から高校2年 矯正治療費用:60万円
治療前の口腔内写真です。
上顎の犬歯が上のほうに生えてき始めており八重歯になることが予想されます。
下顎の歯列弓も狭く萌出余地が少ないため狭く窮屈で前歯がガタガタ(叢生)の状態です
![]() |
||||
<治療前上側> |
||||
![]() |
![]() |
![]() |
||
<治療前左> |
|
<治療前正面> |
|
<治療前右> |
![]() |
||||
| <治療前下側> | ||||
![]() |
||||
治療後の口腔内写真です。 | ||||
![]() |
||||
<治療後上側> |
||||
![]() |
![]() |
![]() |
||
<治療後左> |
|
<治療後正面> |
|
<治療後右> |
![]() |
||||
| <治療後下側> | ||||
| ||||
MK様は矯正歯科治療の最初からとても協力的な患者様で順調に矯正歯科治療がすすみました。 | ||||
常滑市明和町在住 N・M様 16歳女性
NM様は当院へお母様がむし歯、歯周病の治療のために来院された際に
NM様の八重歯についてご相談を受け、来院されました。
来院前にお母様と十分相談されていたらしく、
すぐに資料採取を行い正確な診断を行い、治療を開始しました。
上顎の八重歯と叢生、下顎の叢生のために抜歯を行なって治療を開始しました。
矯正治療期間:2年(16歳から18歳) 矯正治療費用:60万円
治療前の口腔内写真です。
![]() |
||||
<治療前上側> |
||||
![]() |
![]() |
![]() |
||
<治療前左> |
|
<治療前正面> |
|
<治療前右> |
![]() |
||||
| <治療前下側> | ||||
上顎の八重歯と下顎の叢生が主訴です。 | ||||
![]() |
||||
治療後の口腔内写真です。 | ||||
![]() |
||||
<治療後上側> |
||||
![]() |
![]() |
![]() |
||
<治療後左> |
|
<治療後正面> |
|
<治療後右> |
![]() |
||||
| <治療後下側> | ||||
| ||||
臼歯関係が良好であったため、犬歯関係のClassⅠを達成することにつとめて治療しました。 | ||||
常滑市大野町に在住の患者様で主訴は「叢生」となります。
非抜歯にて治療を行っております。
矯正治療で歯並びが改善されております。
非抜歯にて叢生が改善されたため、お喜びいただきました。
矯正治療期間:2年 矯正治療費用:60万円
![]() |
||||
<治療前上側> |
||||
![]() |
![]() |
![]() |
||
<治療前左> |
|
<治療前正面> |
|
<治療前右> |
![]() |
||||
| <治療前下側> | ||||
![]() |
||||
![]() |
||||
<治療後上側> |
||||
![]() |
![]() |
![]() |
||
<治療後左> |
|
<治療後正面> |
|
<治療後右> |
![]() |
||||
| <治療後下側> | ||||
常滑市小倉町在住のT.M様の症例をご紹介いたします。
主訴は上顎前突・翼状捻転です。
治療期間は2年3ヶ月です。
本格矯正で、抜歯症例上顎第一小臼歯抜歯(左右2歯)いわゆる2級仕上がりです。
歯並びが改善し、お喜びいただきました。
矯正治療期間:2年3ヶ月 矯正治療費用:60万円
![]() |
||||
<治療前上側> |
||||
![]() |
![]() |
![]() |
||
<治療前左> |
|
<治療前正面> |
|
<治療前右> |
![]() |
||||
| <治療前下側> | ||||
![]() |
||||
![]() |
||||
<治療後上側> |
||||
![]() |
![]() |
![]() |
||
<治療後左> |
|
<治療後正面> |
|
<治療後右> |
![]() |
||||
| <治療後下側> | ||||
常滑市大野町よりご来院いただきましたS.S様の症例写真となります。
八重歯・叢生で、抜歯での治療です。
2年5ヶ月の治療期間で完了となりました。
矯正歯科治療により八重歯・叢生が改善され、歯並びが整いました。
矯正治療期間:2年5ヶ月 矯正治療費用:60万円(消費税込)
![]() |
||||
<治療前上側> |
||||
![]() |
![]() |
![]() |
||
<治療前左> |
|
<治療前正面> |
|
<治療前右> |
![]() |
||||
| <治療前下側> | ||||
![]() |
||||
![]() |
||||
<治療後上側> |
||||
![]() |
![]() |
![]() |
||
<治療後左> |
|
<治療後正面> |
|
<治療後右> |
![]() |
||||
| <治療後下側> | ||||
常滑市大野町よりご来院いただきましたS.T様。
主訴は叢生で、非抜歯治療です。
矯正治療で叢生が改善され、美しい歯並びとなりました。
矯正治療期間:2年3ヶ月 矯正治療費用:60万円
![]() |
||||
<治療前上側> |
||||
![]() |
![]() |
![]() |
||
<治療前左> |
|
<治療前正面> |
|
<治療前右> |
![]() |
||||
| <治療前下側> | ||||
![]() |
||||
![]() |
||||
<治療後上側> |
||||
![]() |
![]() |
![]() |
||
<治療後左> |
|
<治療後正面> |
|
<治療後右> |
![]() |
||||
| <治療後下側> | ||||
常滑市本郷町よりご来院いただきましたI.K様の症例写真です。
開咬と空隙歯列の成人矯正で、非抜歯で治療を行いました。
約二年で治療が完了いたしました。
治療により、前歯の空隙が改善しております。
矯正治療期間:1年8か月 矯正治療費用:60万円
![]() |
![]() |
![]() |
||
<治療前左> |
|
<治療前正面> |
|
<治療前右> |
![]() |
||||
![]() |
![]() |
![]() |
||
<治療後左> |
|
<治療後正面> |
|
<治療後右> |
こちらは先日(2016年9月)、矯正歯科治療を終えたE.M様の症例写真です。
知多市 新舞子よりご来院いただき、非抜歯で治療を行いました。
矯正歯科治療を行った結果、治療前・後を比べると特に上の前歯が綺麗に整っているのが分かります。
また、全体的に隙間のない整った歯並びとなっています。
矯正治療期間:2年1ヵ月 矯正治療費用:60万円
![]() |
||||
<治療前上側> |
||||
![]() |
![]() |
![]() |
||
<治療前左> |
|
<治療前正面> |
|
<治療前右> |
![]() |
||||
| <治療前下側> | ||||
![]() |
||||
![]() |
||||
<治療後上側> |
||||
![]() |
![]() |
![]() |
||
<治療後左> |
|
<治療後正面> |
|
<治療後右> |
![]() |
||||
| <治療後下側> | ||||
知多市日長よりご来院いただきました。
![]() |
||||
<治療前上側> |
||||
![]() |
![]() |
![]() |
||
<治療前左> |
|
<治療前正面> |
|
<治療前右> |
![]() |
||||
| <治療前下側> | ||||
![]() |
||||
![]() |
||||
<治療後上側> |
||||
![]() |
![]() |
![]() |
||
<治療後左> |
|
<治療後正面> |
|
<治療後右> |
![]() |
||||
| <治療後下側> | ||||
半田市成岩町よりご来院いただきました。
![]() |
||||
<治療前上側> |
||||
![]() |
![]() |
![]() |
||
<治療前左> |
|
<治療前正面> |
|
<治療前右> |
![]() |
||||
| <治療前下側> | ||||
![]() |
||||
![]() |
||||
<治療後上側> |
||||
![]() |
![]() |
![]() |
||
<治療後左> |
|
<治療後正面> |
|
<治療後右> |
![]() |
||||
| <治療後下側> | ||||
半田市宮本町よりご来院いただきました。
![]() |
![]() |
![]() |
||
<治療前左> |
|
<治療前正面> |
|
<治療前右> |
![]() |
||||
![]() |
![]() |
![]() |
||
<治療後左> |
|
<治療後正面> |
|
<治療後右> |
常滑市奥条よりご来院いただきました。
![]() |
||||
<治療前上側> |
||||
![]() |
![]() |
![]() |
||
<治療前左> |
|
<治療前正面> |
|
<治療前右> |
![]() |
||||
| <治療前下側> | ||||
![]() |
||||
![]() |
||||
<治療後上側> |
||||
![]() |
![]() |
![]() |
||
<治療後左> |
|
<治療後正面> |
|
<治療後右> |
![]() |
||||
| <治療後下側> | ||||
常滑市榎戸町よりご来院いただきました。
![]() |
||||
<治療前上側> |
||||
![]() |
![]() |
![]() |
||
<治療前左> |
|
<治療前正面> |
|
<治療前右> |
![]() |
||||
| <治療前下側> | ||||
![]() |
||||
![]() |
||||
<治療後上側> |
||||
![]() |
![]() |
![]() |
||
<治療後左> |
|
<治療後正面> |
|
<治療後右> |
![]() |
||||
| <治療後下側> | ||||
常滑市蒲池町よりご来院いただきました。
![]() |
![]() |
![]() |
||
| <治療前左> | <治療前正面> | <治療前右> | ||
![]() |
||||
![]() |
![]() |
![]() |
||
| <治療後左> | <治療後正面> | <治療後右> | ||
名古屋市緑区よりご来院いただきました。
![]() |
![]() |
![]() |
||
| <治療前左> | <治療前正面> | <治療前右> | ||
![]() |
||||
![]() |
![]() |
![]() |
||
| <治療後左> | <治療後正面> | <治療後右> | ||
知多市よりご来院いただきました。
![]() |
![]() |
![]() |
||
| <治療前左> | <治療前正面> | <治療前右> | ||
![]() |
||||
![]() |
![]() |
![]() |
||
| <治療後左> | <治療後正面> | <治療後右> | ||
知多市よりご来院いただきました。
![]() |
![]() |
![]() |
||
| <治療前左> | <治療前正面> | <治療前右> | ||
![]() |
||||
![]() |
![]() |
![]() |
||
| <治療後左> | <治療後正面> | <治療後右> | ||
知多市よりご来院いただきました。
![]() |
![]() |
![]() |
||
| <治療前左> | <治療前正面> | <治療前右> | ||
![]() |
||||
![]() |
![]() |
![]() |
||
| <治療後左> | <治療後正面> | <治療後右> | ||
常滑市よりご来院いただきました。
![]() |
![]() |
![]() |
||
| <治療前左> | <治療前正面> | <治療前右> | ||
![]() |
||||
![]() |
![]() |
![]() |
||
| <治療後左> | <治療後正面> | <治療後右> | ||
知多市よりご来院いただきました。
![]() |
![]() |
![]() |
||
| <治療前左> | <治療前正面> | <治療前右> | ||
![]() |
||||
![]() |
![]() |
![]() |
||
| <治療後左> | <治療後正面> | <治療後右> | ||
知多市八幡在住 Y.K様(14歳/女子)
Y.K様は最初はお母様と来院され、反対咬合を主訴に相談のため来院されました。
その後むし歯治療に専念するため、かかりつけの小児歯科に通院され、その後診断に必要なための資料採取で当院に再び来院されました。
診断の時にはお父様もお母様とともに来院され、Y.K様の状態を説明いたしました。
歯のサイズは大きくなく、歯列の狭窄もありませんので歯性の反対咬合と判断して
前歯を移動させるスプリングを付けたパラレルの拡大床を装着してもらい治療を開始しました。
![]() |
||||
![]() |
![]() |
![]() |
||
![]() |
![]() |
||||
![]() |
![]() |
![]() |
||
![]() |
上顎前歯の反対咬合は改善されました。
上顎前歯の反対咬合は改善されましたが下顎第1大臼歯の舌側への傾斜など他の部位に不正咬合が現れないか十分な観察が必要です。
今後は経過観察に入ります。側方歯の正常な永久歯への交換を確認し異常があれば早めに対応します。
乳歯から永久歯への交換が終了し永久歯列が完成しました。
動的治療期間:5歳から14歳まで
治療費用:22万円
知多市南粕谷在住 I.F様(5歳/女子)
I.F様は以前より当院にてむし歯や歯周病の治療後定期健診に来ていらっしゃるお父様の相談より来院されました。
3人姉妹の二女で長女の方は本格矯正にて動的治療を完了された患者様です。3女の方も現在本格矯正治療の継続中です。
お母様によりますと下の前歯の永久歯が舌側に転位して生えてきてしまったとお話がありました。
お父様ご自身の歯科治療に対するご経験からご息女の矯正歯科治療を望まれての来院です。
むし歯の有無や歯肉炎の程度など基本的なお口の検査、口腔内写真、正貌・側貌の写真撮影、過剰歯や先天性の欠如などの有無のための
レントゲン検査、模型採得などの試料採取を行い診断し処置方針を決定します。

上下顎の歯列弓には余裕がありません。下顎永久前歯に叢生があり、上顎の永久前歯の萌出後も心配がある混合歯列期であるため
既成の顎機能矯正装置のT4Kトレーナー・マイオブレイスを使用して矯正歯科治療を開始します。
T4Kトレーナーを使用して治療をすすめます。
I.F様はマイオブレイスをすぐに受け入れてくれ、装着の注意をよく守って順調に治療がすすみました。
乳犬歯が吸収脱落していることもありますが既に下顎前歯の叢生は改善されています。
機能訓練は最初に安静時の舌の位置と鼻呼吸の指導と実践について行い、確認ができた後、のみ込み(嚥下)、呼吸の指導と実践を行います。

機能訓練の実践を確認しながら側方乳歯の円滑な交換に注意しながら観察とブラッシングなどの口腔ケアを行います。
BWS(ベンドワイヤーシステム)は使用しておりません。

乳歯からすべての永久歯への交換が完了しました。下顎前歯の叢生は改善されています。
咬み合わせも側方歯が1対2歯の関係となり臼歯・犬歯関係も現在良好です。
マイオブレイスの装着を暫く続けるようにお話ししています。T4Kトレーナー・マイオブレイスは叢生の改善に効果的です。
治療費用:22万円
知多市日長在住 K.T様(5歳/男子)
K.T様は以前当院にて前歯の叢生を部分矯正で治療したお母様がお連れになられました。
お母様によりますと下の前歯の永久歯が舌側に転位して生えてきてしまったとお話がありました。
お母様ご自身のブラッシングがうまくできるようになりセルフオーラルケアが容易になった矯正歯科治療のご経験から
K.T様の矯正歯科治療をご希望されました。
むし歯の有無や歯肉炎の程度など基本的なお口の検査、口腔内写真、正貌・側貌の写真撮影、
過剰歯や先天性の欠如などの有無のためのレントゲン検査、模型採得などの試料採取を行い診断し処置方針を決定します。

咬み合わせがやや深く上顎の歯列弓には余裕があり、下顎永久前歯に叢生がある混合歯列期であるため
既成の顎機能矯正装置のT4Kトレーナー・マイオブレイスを使用して矯正歯科治療を開始します。
マイオブレイスのK1を使用して治療をすすめます。
K.T様はマイオブレイスをすぐに受け入れてくれ、装着の注意をよく守って順調に治療がすすみました。
機能訓練は最初に安静時の舌の位置と鼻呼吸の指導と実践について行い、確認ができた後、のみ込み(嚥下)、呼吸の指導と実践を行います。

機能訓練の実践を確認しながら側方乳歯の円滑な交換に注意しながら観察とブラッシングなどの口腔ケアを行います。
BWS(ベンドワイヤーシステム)は使用しておりません。

乳歯からすべての永久歯への交換が完了しました。下顎前歯の叢生は改善されています。
咬み合わせも側方歯が1対2歯の関係となり臼歯・犬歯関係も現在良好です。
マイオブレイスの装着を暫く続けるようにお話ししています。T4Kトレーナー・マイオブレイスは叢生の改善に効果的です。
治療費用:22万円
常滑市在住 K.T様(男性)
K.T様は小児歯科で通院されていた歯科医院様からの紹介で来院されました。
歯列弓が狭く、八重歯になる可能性が非常に強いと思われ心配であるとのことでした。
混合歯列であったため歯列弓の拡大と上顎左右の側切歯の改善を図るためにパラレルタイプの拡大床に側切歯部位に補助弾線の付いた取りはずしのできる床矯正装置による治療を開始しました。
床矯正装置は最低でも10時間以上の装着をしなければ、効果は上がりません。
K.T様は床矯正装置の装着が不十分であったのと乳歯から永久歯への交換が著しくなってきたため期待した治療効果が得られませんでした。
永久歯への交換が完了後、ご本人、お母様と相談してマルチブラケットによる本格矯正に移りました。
模型採取、写真撮影、レントゲン撮影などの資料の採取を再度おこないもう一度診断しなおしました。
診断の結果、非抜歯で叢生を改善することといたしました。
![]() |
||||
<治療前上側> |
||||
![]() |
![]() |
![]() |
||
<治療前左> |
|
<治療前正面> |
|
<治療前右> |
![]() |
||||
<治療前下側> |
![]() |
||||
<治療後上側> |
||||
![]() |
![]() |
![]() |
||
<治療後左> |
|
<治療後正面> |
|
<治療後右> |
![]() |
||||
<治療後下側> |
上顎の第2大臼歯の萌出もあり、治療の途中には高校の受験などにお忙しく、約束どおりの来院ができず治療期間が長期に及びました。
しかし、治療の後半には顎間ゴムの指示をよく守っていただき動的治療を完了することができました。
治療中のブラッシングが不十分であったために下顎の第2大臼歯にむし歯が発生いたしました。
矯正治療の副作用のひとつとしてむし歯があげられます。
今後紹介いただいた歯科医院様に連絡を取り、虫歯の治療と、さらなるむし歯の発生を抑え、歯肉炎が進行しないようにしていただきます。
常滑市久米在住 T様(11歳女子)
T様は「乳歯の生え変わるのが遅れて、上の左の前歯がなかなか生えてこないのと下の前歯が生え変わってきたのだが
永久歯がガタガタになって生えてきそうで心配だ」と言う主訴でお母様と来院されました。
お口の中の検査につづいてレントゲン撮影をおこない前歯のチェックをおこないましたが
後継の中切歯は存在しておりましたが右側の側切歯が先天的に欠如していました。
また問診により以前乳歯をつよく打って歯髄壊死を起こしており、歯髄処置をされておりました。
前歯の骨性癒着などで萌出が遅れている可能性もありました。下顎の前歯に叢生がみられます。
初診後資料採取を行ない、下の前歯の改善を期待してお母様の要望もありT4Kトレーナーを使用することになりました。
T4KとマイオブレイスのK1を使用しました。
![]() |
||||
<治療前上側> |
||||
![]() |
![]() |
![]() |
||
<治療前左> |
|
<治療前正面> |
|
<治療前右> |
![]() |
||||
<治療前下側> |
導入には最も基本的なT4Kを使用してもらいました。
なるべくおきているときにトレーナーを使用してもらい口呼吸から鼻呼吸を意識させ、「あいうべ体操」を行なうように指示しました。
治療の途中側切歯の先天性欠如のための前方への拡大と舌を安定的位置に収めるために一時的にBWSを採用しました。

初診時より11ヶ月経過のお口の中の状態です。
![]() |
||||
<治療後上側> |
||||
![]() |
![]() |
![]() |
||
<治療後左> |
|
<治療後正面> |
|
<治療後右> |
![]() |
||||
<治療後下側> |
まじめに取り組んでいる様子がうかがわれ、下顎の前歯の叢生は現時点では改善がみられます。
今後は乳歯から永久歯への交換について交換時期、交換順序などを観察や対応が必要です。
常滑市小倉町在住 K様(10歳男子)
K様は「上の前歯が出ていて、かみ合わせると下の前歯が上の前歯に隠れてしまい見えないのと
下顎の前歯が斜めになって生えてきている」と言う主訴でお母様と来院されました。
いわゆる上顎前突と過蓋咬合です。
上顎中切歯の大きさが大きくやや翼状捻転しています。下顎の前歯に叢生がみられます。
初診後資料採取を行ない、診断時に拡大床の使用をすすめましたが装着時間の問題でT4Kトレーナーを使用することになりました。
上顎前歯の前方への突出具合からマイオブレイスのK1を使用しました。
![]() |
||||
<治療前上側> |
||||
![]() |
![]() |
![]() |
||
<治療前左> |
|
<治療前正面> |
|
<治療前右> |
![]() |
||||
<治療前下側> |
上下の咬み合わせの問題を改善するためにマイオブレイスを寝る前に必ず1時間以上の使用と
機能訓練のお話を来院のたびに確認し行なっていただいております。
初診時から8ヶ月経過のお口の状態です。
![]() |
||||
<治療後上側> |
||||
![]() |
![]() |
![]() |
||
<治療後左> |
|
<治療後正面> |
|
<治療後右> |
![]() |
||||
<治療後下側> |
上下のかみ合わせは改善しつつあります。上顎の前歯に隠れていた下顎の前歯も見えてきました。
診断時の犬歯から犬歯の歯列弓の幅が不十分です。
下顎の叢生は乳犬歯と第2乳臼歯が抜けたことによりやや改善傾向にあります。
今後、永久歯の交換について注意深い観察とマイオブレイスのさらなる使用が必要です。
常滑市あすか台在住 S様(10歳男子)
S様は「上の前歯が出ていて、かみ合わせると下の前歯が上の前歯に隠れてしまい見えない」と言う主訴でお母様と来院されました。
お父様の歯並びの状態によく似ているそうです。いわゆる上顎前突と過蓋咬合です。
上顎の混合歯列には十分な余裕があり、前歯にはややスペースが残っており乱れはありません。
下顎の混合歯列にも乱れはなくならんでいます。
![]() |
||||
<治療前上側> |
||||
![]() |
![]() |
![]() |
||
<治療前左> |
|
<治療前正面> |
|
<治療前右> |
![]() |
||||
<治療前下側> |
上下の咬み合わせの問題を改善するためにT4Kトレーナーを使用すると同時に機能訓練を行ないました。
S様はしっかりとT4Kトレーナーを使用していただきました。
機能訓練はすぐに効果があらわれるものではありませんが、当院の指示をよく守っていただいております。
初診時から8ヶ月経過のお口の状態です。
![]() |
||||
<治療後上側> |
||||
![]() |
![]() |
![]() |
||
<治療後左> |
|
<治療後正面> |
|
<治療後右> |
![]() |
||||
<治療後下側> |
上下の前歯の咬みあわせが正しい位置に改善されつつあります。正中のズレもありません。
しかしまだ臼歯部には乳歯がありますので、今後の乳歯の交換順序や交換時期などを考慮に入れて
T4Kトレーナーの使用と機能訓練を継続します。
患者様は小学校の4年生の女子でお母様と一緒に来院されました。
お口の中の診査としてむし歯のあるなしの検査、歯肉の一般検査を行い、
矯正歯科治療の診断に必要な口腔内写真、正貌、側貌の写真撮影、レントゲン写真撮影を行い、模型の採得を行いました。
上顎の歯列弓が狭く、右側の脇の前歯(側切歯)が捻転しています。
下顎の歯列弓も狭く、顎のずれが見られ、いわゆる反対咬合でした。
かみ合わせが浅く父親が反対咬合なので遺伝的要因があり、注意が必要です。
上下顎の前歯の切端が接触できる(構成咬合)ので主訴の改善のために機能的反対咬合のことも考えて
取り外しのできる機能的顎矯正装置のビムラーアダプターにて治療を開始しました。
![]() |
||||
<治療前上側> |
||||
![]() |
![]() |
![]() |
||
<治療前左> |
|
<治療前正面> |
|
<治療前右> |
![]() |
||||
<治療前下側> |
食事の時以外、終日ビムラー(顎機能矯正装置)を装着していただき比較的短い時間で前歯部の反対咬合は改善されました。
しかし下顎成長発育が予想され上顎の歯列弓が狭くかみ合わせが反対咬合のかみ合わせとなると思われました。

すべての永久歯への交換が進み上顎の歯列弓が狭いため八重歯の不正咬合が現れてきました。
すべての歯にブラケット(ブレース)をつける前に急速拡大装置により歯列弓の拡大を行います。

上顎の矯正歯科治療を先におこないます。

本格矯正に入ります。
上下014ニッケルチタンワイヤーにてレべリングを開始してすすめます。

016×016ステンレススチールワイヤーを装着して治療を進め、
016×022ステンレススチールワイヤーにて仕上げ治療に入ります。

父親が反対咬合で遺伝的要素があり八重歯の不正咬合を伴う骨格性反対咬合でしたが混合歯列期から治療を継続して、
継続的に状態を観察できたことや女性であったこと、患者様、お母様のご協力で反対咬合の治療ができました。
治療期間:永久歯の交換完了から2年3ヶ月
治療費用:60万円
![]() |
||||
<治療後上側> |
||||
![]() |
![]() |
![]() |
||
<治療後左> |
|
<治療後正面> |
|
<治療後右> |
![]() |
||||
<治療後下側> |
K.A様はお母様からのお電話での相談で前歯に余分な歯(過剰歯)があり、歯を抜いたとのこと
今後反対咬合になる可能性をかかりつけの歯医者さんから指摘されました。
患者様は小学3年生 男子、ご家族に反対咬合の方はおらず、遺伝的要素は低いようです。
口腔内診査を行い、口腔内写真、正貌、側貌、レントゲンの撮影をおこない、診断用模型を採得いたしました。
乳歯列時の前歯の状態、過剰歯の位置などがわかりませんが、
咬みあわせが浅く、舌の位置が低い位置にあり難易度がやや高く感じられました。
お母様とのお話し合いの結果、主訴の反対咬合の前歯のかみ合わせを改善することを目標に治療を開始しました。
前歯の過剰歯があったと思われる部位の上顎左側中切歯の萌出がおくれています。
![]() |
||||
<治療前上側> |
||||
![]() |
![]() |
![]() |
||
<治療前左> |
|
<治療前正面> |
|
<治療前右> |
![]() |
||||
<治療前下側> |
前歯の咬みあわせが反対咬合になっています。
かみ合わせが浅く、下顎の歯列弓には叢生がありません。
![]() |
||||
<治療後上側> |
||||
![]() |
![]() |
![]() |
||
<治療後左> |
|
<治療後正面> |
|
<治療後右> |
![]() |
||||
<治療後下側> |
治療用装置は床型矯正装置のパラレルタイプの拡大床に補助弾線の付いたものを使用しました。
上顎の顎を拡大しながら、補助弾線を調整、活性化して前歯の反対咬合を改善していきます。
![]() |
||||
<治療後上側> |
||||
![]() |
![]() |
![]() |
||
<治療後左> |
|
<治療後正面> |
|
<治療後右> |
![]() |
||||
<治療後下側> |
上顎前歯の反対咬合は改善されました。
最初、患者様は取り外しのできる床型矯正装置に抵抗があり、思ったように改善されず、
固定式の装置への変更も考えた時期がありましたがご本人のがんばりで治療がすすみました。
お母様と今までの治療経過と治療結果を説明し、今後の本格矯正の可能性をお話しました。
左側犬歯がまだ上方の位置にありますが側切歯との間にスペースがあり
第1小臼歯と第2小臼歯の間にもスペースがあるためご家族の希望もあり、経過観察に入ります。
治療期間:小学3年より小学6年永久歯への交換が終了するまで
治療費用:20万円
矯正治療中はむし歯が発生したり、歯肉炎が悪化する可能性があります。
矯正装置の損傷に気がつかず頬などお口の中の軟組織を傷つける可能性もあります。
T.S様はT.S様のかかりつけの歯科医院様からのご紹介で来院されました。
主訴は前歯がハの字に傾き、隙間もあり、前方にでているいわゆる出っ歯がとても気になるとの事でした。
さらに下顎の第2小臼歯が先天的に欠如しており将来的に大きな問題となることが予想されました。
患者様ご本人と患者様のお母様と十分に話し合いを行いレントゲン検査の結果を踏まえて、
後継永久歯(下顎第2小臼歯)の欠如のまま、残存している第2乳臼歯を利用して矯正歯科治療を行うこととしました。
混合歯列期の治療対象は各々の歯のならびではなく、成長発育期であるためそれを利用して
骨格、機能、習慣(習癖)などが治療対象となります。そうは言っても患者様の主訴をすこしでも改善するため
前歯、第1大臼歯に一時的にブレース(ブラケット)を付けワイヤーにて歯列を改善いたしました。
その後顎機能装置のひとつであるバイオネーターによる治療を開始いたしました。
![]() |
||||
<治療前上側> |
||||
![]() |
![]() |
![]() |
||
<治療前左> |
|
<治療前正面> |
|
<治療前右> |
![]() |
||||
<治療前下側> |
混合歯列期に取り外しのできる顎機能矯正装置のバイオネーターを使用し成長発育を利用して治療を開始しました。
その後永久歯の交換までバイオネーターにより歯科矯正治療を続け、
永久歯列期に全顎にブレースを付けてワイヤーによる本格矯正を開始いたしました。
![]() |
||||
<治療後上側> |
||||
![]() |
![]() |
![]() |
||
<治療後左> |
|
<治療後正面> |
|
<治療後右> |
![]() |
||||
<治療後下側> |
上顎の第1,2小臼歯に対向する下顎の第2乳臼歯は
本来の下顎第2小臼歯に比べて歯の幅がひろいため咬みあわせが不安定となりますが、
犬歯関係、臼歯関係は良好(ClassT)で1対2歯でよく咬んでいます。
今後は下顎第2乳臼歯の取り扱いに注意を要します。
患者様にとりまして最良の方法を考慮しながら保定、定期観察をいたします。
治療経過の写真を提示します。
![]() |
![]() |
![]() |
||
<治療前左> |
|
<治療前正面> |
|
<治療前右> |
![]() |
![]() |
![]() |
||
<ワイヤー治療初期 左> |
|
<ワイヤー治療初期 正面> |
|
<ワイヤー治療初期 右> |
この時期の治療対象は各々の歯の不正ではなく骨格、機能、習慣ですが
患者様の主訴の改善をすることは色々な面から大切であると考えます。
![]() |
![]() |
![]() |
||
<バイオネーター 左> |
|
<バイオネーター 正面> |
|
<バイオネーター 右> |
取り外しのできる顎機能矯正装置、バイオネーターにより成長発育を利用して骨の柔らかい時期に治療を継続いたします。
![]() |
![]() |
![]() |
||
<本格矯正前 左> |
|
<本格矯正前 正面> |
|
<本格矯正前 右> |
混合歯列期から乳歯から永久歯への交換が終了して永久歯列となりました。
ブレース(ブラケット)をつけてワイヤーにて本格矯正にうつります。
![]() |
![]() |
![]() |
||
<ワイヤー治療後期 左> |
|
<ワイヤー治療後期 正面> |
|
<ワイヤー治療後期 右> |
上下顎に0.14インチの細い断面の丸いニッケルチタンワイヤーを使用してレベリングの治療を開始いたします。
その後、断面の四角の0.16×0.16ニッケルチタンワイヤー、0.16×0.16ステンレススチールワイヤーへとサイズアップし
調整をくわえながら歯科矯正治療をすすめていきます。
![]() |
![]() |
![]() |
||
<治療後左> |
|
<治療後正面> |
|
<治療後右> |
T.S様はお母様と来院され、長期にわたる治療にもかかわらず、必ず矯正歯科治療のお約束の時間に来てくださり、
1期治療から2期治療への移行もとてもスムーズに矯正歯科治療を行うことができました。
今後は晩期残存している第2乳臼歯の状態を観察しながら定期健診をおこなっていきます。
むし歯、歯肉炎などの歯周病の予防に関しましては、ご紹介をいただきました、かかりつけの歯科医院様にお願いいたしました。
なお常滑市市場町在住のT.S様のお姉様のT.M様もT.S様の矯正歯科治療の途中より矯正歯科治療を行い、動的治療を完了されております。
動的治療期間:小学4年より中学2年
治療費用:60万円
常滑市瀬木から来院いただきました。
小児矯正の上顎中切歯 正中離開 翼状捻転症例です。
治療開始日 平成27年1月27日
顎中切歯の正中離開と翼状捻転を主訴として来院されました。
将来は生えてくる永久歯の萌出余地を獲得するため拡大スクリューの組み込まれた
床型の矯正装置(取り外しの可能な装置)を使用して治療しました。
唇側弧線(ラビアルボー)と補助スプリングにて主訴の改善も行ないながら治療しました。
治療期間:2年10ヶ月(永久歯の交換完了まで)
矯正治療費用:20万円
![]() |
||||
<治療前上側> |
||||
![]() |
![]() |
![]() |
||
<治療前左> |
|
<治療前正面> |
|
<治療前右> |
![]() |
||||
<治療前下側> |
||||
![]() |
||||
![]() |
![]() |
![]() |
||
<治療中左> |
|
<治療中> |
|
<治療中> |
上顎の拡大が行なわれて、下の前歯の軽い叢生も改善されました。
前歯の咬みあわせがやや深く、右側の臼歯関係はclass1、左側の犬歯はclass2傾向です。
側方歯の咬みあわせが不安定ですが、お母様に現在の状態を報告し、
一旦矯正歯科治療を終了し経過観察にはいります。
治療後の写真です。
![]() |
||||
<治療後上側> |
||||
![]() |
![]() |
![]() |
||
<治療後左> |
|
<治療後正面> |
|
<治療後右> |
![]() |
||||
<治療後下側> |
常滑市小倉町から来院いただきました。
小児矯正の反対咬合症例です。
矯正治療により、正しい咬みあわせへ改善いたしました。
矯正治療費用:20万円
![]() |
||||
<治療前上側> |
||||
![]() |
![]() |
![]() |
||
<治療前左> |
|
<治療前正面> |
|
<治療前右> |
![]() |
||||
<治療前下側> |
||||
![]() |
||||
![]() |
||||
<治療後上側> |
||||
![]() |
![]() |
![]() |
||
<治療後左> |
|
<治療後正面> |
|
<治療後右> |
![]() |
||||
<治療後下側> |
||||
常滑市久米よりご来院のSK様の症例写真です。反対咬合の治療で、小児矯正のみで終了となりました。
反対咬合が解消され、審美的にも改善いたしました。
矯正治療費用:20万円
![]() |
![]() |
![]() |
||
| <治療前左> | <治療前正面> | <治療前右> | ||
![]() |
||||
![]() |
![]() |
![]() |
||
| <治療後左> | <治療後正面> | <治療後右> | ||
常滑市青海町よりご来院いただきました。
![]() |
![]() |
![]() |
||
| <治療前左> | <治療前正面> | <治療前右> | ||
![]() |
||||
![]() |
![]() |
![]() |
||
| <治療後左> | <治療後正面> | <治療後右> | ||
常滑市青海町よりご来院いただきました。
![]() |
||||
<治療前上側> |
||||
![]() |
![]() |
![]() |
||
<治療前左> |
|
<治療前正面> |
|
<治療前右> |
![]() |
||||
![]() |
||||
<治療後上側> |
||||
![]() |
![]() |
![]() |
||
<治療後左> |
|
<治療後正面> |
|
<治療後右> |
名古屋市緑区よりご来院いただきました。
![]() |
![]() |
![]() |
||
| <治療前左> | <治療前正面> | <治療前右> | ||
![]() |
||||
![]() |
![]() |
![]() |
||
| <治療後左> | <治療後正面> | <治療後右> | ||
常滑市西之口よりご来院いただきました。
![]() |
![]() |
![]() |
||
| <治療前左> | <治療前正面> | <治療前右> | ||
![]() |
||||
![]() |
||||
| <治療中で 矯正装置を装着したところ> | ||||
![]() |
||||
![]() |
![]() |
![]() |
||
| <治療後左> | <治療後正面> | <治療後右> | ||
常滑市小倉町よりご来院いただきました。
![]() |
||||
<治療前上側> |
||||
![]() |
![]() |
![]() |
||
<治療前左> |
|
<治療前正面> |
|
<治療前右> |
![]() |
||||
| <治療前下側> | ||||
![]() |
||||
![]() |
||||
<治療後上側> |
||||
![]() |
![]() |
![]() |
||
<治療後左> |
|
<治療後正面> |
|
<治療後右> |
![]() |
||||
| <治療後下側> | ||||