

![]() |
![]() |
![]() |
当院おすすめ記事はこちら▼


歯やその周りの歯周組織、顎の不正な成長発育が原因で引き起こされる不正咬合や顎の異常な関係を改善し、「口や顎の正しい働きができるように」それと同時に顔貌の改善を行い、社会的、心理的に個人が幸福に生活できるようにする。
また「不正咬合や顎の異常な状態の発生を予防する」ために、矯正歯科治療を行うのが目的と考えています。
“屈託のない、悩みなき、すばらしい貴方の笑顔”
健康で美しい口元、歯ならびと楽しい会話は豊かな人生を彩ります。
美しい歯ならび、清らかな口元は健康のシンボルです。
■成人の矯正歯科治療について
ここでいう成人とは 「永久歯の生えそろった永久歯列を治療の対象とした、本格矯正を行う年齢の幅広い患者様(少年期から中年期以後)」 のことを指します。

1:むし歯のできる(発生する)原因になる
2:歯肉炎・歯周炎などの歯周病の原因となる
3:口呼吸の原因になる
4:発音に影響を与える
5:咀嚼機能、咀嚼能率への影響がある
6:お口の怪我にかかりやすい
7:顎の成長発育に悪影響を与える
8:理想的な補綴処置・治療をむずかしくしてしまう
9:顎関節の障害をおこすことがある
10:お口の周りの筋肉の形や動きに影響をあたえる
11:心理的な影響をあたえる
12:社会的な影響をあたえる
上記のように様々なデメリットがあります。
それぞれのデメリットについて、詳しくご説明をします。
むし歯のできる原因には多くの要因が関係していますが、咀嚼をするときの食べ物の流れや唾液の分泌がお口の中の食べカスをきれいに洗い流します(=自浄作用)。
歯ならびやかみ合わせに乱れがあると食品の流れが滞り、自浄作用が働かなくなり食べかす、歯垢が付着しやすい環境で「むし歯ができる原因」となってしまいます。
歯ならびやかみ合わせに乱れがあって、ブラッシングなどのセルフケアがしにくいと、でこぼこの部分の歯肉に炎症を起こしやすくなります。歯が前に出ているとその部分の歯ぐきが下がったり(歯肉退縮)、歯の根の部分が見えてきたり(歯根露出)します。
咬みあわせが悪いと、一部分の歯に負担がかかりすぎ歯の周りの骨を溶かしてしまいます(歯槽骨の吸収)。
咬みあわせが異常に深い場合には、下顎の歯が上顎口蓋の歯肉に強く当たり、炎症が起きたり、歯肉が傷つくこともよくみられます。
口呼吸、不正咬合、歯周病は密接に関係しています。
歯が前に出ていると口を閉じることが困難になり、口呼吸となってしまいます。口呼吸はお口の乾燥(ドライマウス)を引き起こし、唾液の分泌を抑制させて唾液の自浄作用を妨げてしまいます。口呼吸は多くの全身疾患にも影響を与えます。
歯、歯肉、唇、口蓋、舌などはおしゃべり、発音にとても大切な役割をしています。
正しく発音するには、正しい歯並びとかみ合わせ、舌を含めてのお口の周りの筋肉がうまく働かなくてはできません。
上顎前突の場合p,m,bなどの上下の唇を合わせて、発音する二唇音が影響を受けやすくなります。
開咬や上顎前突の場合には舌先が正常の位置より前にあるのでs,zなどに影響がでやすくなります。
下顎前突(反対咬合)の場合はf,vなどの唇歯音に影響をうけやすく、サがシャと発音される場合も多くみられます。
お口の大切な働きである食物の摂取や咀嚼、嚥下(飲み込むこと)などは正しいかみ合わせや正しい咀嚼運動によって最大の能率が得られます。
不正咬合や悪習癖により誘発される異常な咀嚼運動では咀嚼機能、咀嚼能率の著しい低下がみられることがあります。著しい咀嚼機能、咀嚼能率の低下は消化器官にも悪影響を与える可能性もあります。
最近ではラグビーに代表されるスポーツにはマウスガードが装着することが、一般的になりつつありますが、そのほかでは上顎の前歯の突出や捻転歯がある場合にはお口の怪我に陥りやすく、転倒したり強く顔を打ち付けたりすると位置の異常な歯のよって唇、頬、舌などの軟組織が損傷を受けやすくなります。
特に小児の不正咬合は将来の成長発育を阻害して悪影響を与えます。詳しくは小児矯正の項目をご覧下さい。
不幸にも、すでにむし歯や歯周病にかかって歯を失っていると歯が傾いてきたり、歯と歯の間に隙間ができたりします。
例えば、八重歯のまま、歯をけずってオールセラミッククラウンを装着しても、審美的にも機能的にも優れた修復とはなりえません。歯が傾いたままブリッジを装着すれば、その修復物が原因で歯周病を進行させてしまいます。
歯ならびが悪く、かみ合わせに異常があると顎が異常な方向に誘導され、顎がずれて咬むことになります。
長期間にわたりこのような状態が続くと顎関節に障害を起こす可能性があります。
舌を含めた口の周りの筋肉の形や動きは発音、咀嚼、嚥下、そのほかの機能に大きく関係しています。
異常な筋肉の形や異常な筋肉の動き(悪習癖)が不正咬合の成立に関係している場合があります。また不正咬合があると悪習癖を助長する場合もあり、不正咬合と異常な筋肉の形や異常な筋肉の動きとの悪循環は不正咬合をより悪化させます。
例えば、上顎前歯が前に突出していて唇が閉じることができないことが異常な筋肉の動きを引き起こしたり、開咬で舌が前に出たままで嚥下が行なわれたり(異常嚥下癖)します。
競争の激しい現代社会に生活する私たちは、精神的、肉体的、経済的に優れていたいという欲求が多くあります。
肉体的にも健康志向が高まり、「美しくありたい」という願望も芽生えてきます。
歯ならびの悪さという自主的解決のむずかしい不満はときには極度の内向的な性格を形成し、社会生活にも悪影響がおよぶことがあります。
子供の心理的な発達のうえからも軽視できない見逃せない要因となることも多くみられます。矯正歯科治療後にはパーソナリティが改善されることも経験しています。
メディアの発達は世界を身近なものにし、行動範囲も全世界に広がっていきます。
欧米では歯ならびの美しさが重要視され、知性としても評価されビジネス、スポーツの成功にも影響がおよびます。日本でも歯ならび、口元の美しさは特定の人だけのものではなく一般的なものになりつつあります。
俗に“出っ歯”と表現され、一般的には上顎の前歯が下顎の前歯より著しく突出した不正咬合の総称です。
上顎骨の著しい前方位(過成長)、下顎骨の著しい後方位(劣成長)、上顎切歯の著しい前方への傾斜と下顎切歯の舌側への傾斜、その混合したものに分けられます。
顎の前後的な偏位は多くは先天的な要因による場合が多く、後天的な要因は指しゃぶり、おしゃぶり、唇を咬んだり吸ったりする癖などが乳児期から長く続いた場合に上顎前突を誘発することがあります。
![]() |
![]() |
![]() |
非抜歯症例:矯正歯科治療 前の写真
臼歯関係 右左側ともにアングル分類ClassU 犬歯関係ClassU
![]() |
![]() |
ヘッドギア(サービカルタイプ)使用(第一大臼歯を後方に移動できる場合)
![]() |
![]() |
![]() |
非抜歯症例:矯正歯科治療後の写真
治療期間:2年3ヶ月 小児歯科の咬合誘導より引継ぎ 治療費用:50万円
抜歯部位:上下第一小臼歯抜歯
![]() |
![]() |
![]() |
矯正歯科治療前の写真
臼歯関係 右側アングル分類ClassU 左側ClassT 犬歯関係右側ClassU 左側ClassT
![]() |
![]() |
![]() |
矯正歯科治療後の写真
![]() |
![]() |
治療前の横顔(左側)と治療後(右側)の写真です。横顔がとてもよくなりました。
治療期間:2年6ヶ月 治療費用:60万円
抜歯部位:上顎第一小臼歯
![]() |
![]() |
![]() |
矯正歯科治療前の写真
臼歯関係 アングル分類ClassU 犬歯関係 classU
![]() |
![]() |
![]() |
矯正歯科治療後の写真
著しい前歯の傾きの改善がわかります。臼歯関係はいわゆるU級仕上がりです
治療期間:2年6ヶ月 治療費用:60万円
ひと言で上顎前突と申しましても、「治療開始年齢」、「治療開始時期」、「顔面タイプ」、「臼歯関係」、「主症状」、「骨格型か歯槽型か」、「上顎の過成長なのか下顎の劣成長なのか」等
さまざまな要素要因を十分把握・診断して治療を行いますので治療法も違ってきます。
前歯が生えてくる場所がないために、正しい歯列より唇側で歯ぐきの上の方にある状態の犬歯の事を言います。
脇の前歯が犬歯と前歯の裏に生えているような状態になっている時もしばしばあります。
日本では以前より少なくなってきましたが、笑った時に唇の間からこぼれる八重歯をかわいいと考える人もいます。しかし外国では通用しません。
日本的な感覚や思考に基づいた独特の美意識です。欧米ではバンパイヤ、中国では虎の歯といわれています。
八重歯になる原因は、歯のサイズと顎のサイズのアンバランスによって生ずる不調和(ディスクレパンシー)です。また日本人の顎は奥行きが短く、歯が生えて来る順序が第1、第2小臼歯が犬歯より先になるため、犬歯の生えてくるスペース不足を生じやすいこと等が考えられます。
![]() |
![]() |
![]() |
矯正歯科治療前の写真 側方歯はまだ乳歯で永久歯への交換期です
![]() |
![]() |
![]() |
矯正歯科治療後の写真
治療期間:2年4ヶ月 治療費用:60万円
![]() |
![]() |
![]() |
矯正歯科治療前の写真
ヘッドギア(サービカルタイプ)使用し、上顎第一大臼歯を後方に移動
臼歯関係 右側アングル分類ClassU左側ClassT 犬歯関係 右側ClassU左側ClassT
![]() |
![]() |
![]() |
矯正歯科治療後の写真
治療期間2年2ヶ月 治療費用60万円
抜歯部位:上下顎第1小臼歯抜歯
![]() |
![]() |
![]() |
矯正歯科治療前の写真
臼歯関係 アングル分類ClassT 犬歯関係ClassT
![]() |
![]() |
![]() |
矯正歯科治療後の写真
治療期間2年6ヶ月 治療費用60万円
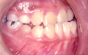
歯が数歯にわたり唇側と舌側が交互に乱れてならんでいる状態をいいます。
前歯によくみられ上顎前突、下顎全突を伴うことも多くあります。
叢生・乱杭歯も八重歯と同様に「歯の「歯の植わっている歯槽部との不調和(アーチレングスディスクレパンシー)」大きさと顎の大きさ」、特にが原因であることが多いです。
乳歯の早期の喪失やむし歯などの後天的な影響も関係しています。
叢生・乱杭歯の悪影響にはブラッシングが困難になることから歯垢が付着しやすく不潔になりやすくなります。
食品の流れも悪くなり、歯肉に機械的刺激が加わらないので歯肉炎、歯肉肥大、歯肉の腫れなどの歯周病を起こします。歯石の沈着も多くなります。
抜歯部位:上下顎第一小臼歯
![]() |
![]() |
![]() |
矯正歯科治療前の写真
臼歯関係 アングル分類ClassT 犬歯関係ClassT
![]() |
![]() |
![]() |
矯正歯科治療後の写真
治療期間2年6ヶ月 治療費用60万円
![]() |
![]() |
![]() |
矯正歯科治療前の写真
臼歯関係 アングル分類ClassT 犬歯関係ClassT軽度の叢生
![]() |
![]() |
![]() |
矯正歯科治療後の写真
治療期間2年 治療費用60万円
![]() |
![]() |
![]() |
矯正歯科治療前の写真
臼歯関係 アングル分類ClassT 犬歯関係ClassT軽度の叢生、切端咬合
![]() |
![]() |
![]() |
矯正歯科治療後の写真
治療期間2年 治療費用60万円
上下の顎の前歯の咬みあわせが反対になっていることが、共通の特徴となっている不正咬合の一種です。欧米より日本人に多いとも言われています。大きく2つに分けられます。
1.骨格性下顎前突
上顎骨の劣成長、下顎の過成長、その混ざったもので、「顎、顔、頭に不調和」をもたらしている状態で骨格性の下顎前突といわれるもの、臼歯の咬みあわせが下顎近心咬合(アングル分類ClassV)の状態を示します。
遺伝的な要因が多く含まれています。
2.歯性下顎前突
乳歯と永久歯の交換期の異常や口腔習癖で引き起こされます。
上顎骨、下顎骨には異常がなく、上顎前歯の舌側への傾斜・転位、下顎前歯の唇側への傾斜・転位があり、臼歯関係は主にClassTを示します。
乳歯列期の反対咬合は顎に異常のある場合は少ないのですが年を重ね、成長につれて骨格性の異常へと悪化していく可能性がありますので、前歯が永久歯に生え変わり、第一大臼歯が生え始める混合歯列期に治療を開始するのが良いと考えます。
思春期に下顎の成長量が大きく、「下顎の抑制ができなかった場合や骨格性の著しい異常がある場合」、「著しい下顎前突が原因で咀嚼、発音などの機能障害がある場合」、「顔貌に不正のある場合」は外科的処置(手術)が必要になることがあります。
![]() |
![]() |
![]() |
矯正歯科治療前の写真
父親が反対咬合。混合歯列期より、顎機能矯正装置(ビムラー)にて治療開始、本格矯正へ移行
![]() |
![]() |
![]() |
矯正歯科治療後の写真
治療期間:マルチブラケット法にての本格矯正期間3年 治療費用60万円
![]() |
![]() |
![]() |
矯正歯科治療前の写真
臼歯関係 アングル分類ClassV
![]() |
![]() |
![]() |
矯正歯科治療後の写真
治療期間:2年10ヶ月 治療費用:60万円
開咬とは、上下的な咬みあわせの異常な状態のひとつで一般的には上下の前歯の間に大きな空隙のある状態をいいます。
開咬の原因には大きく2つあり、「1.遺伝的な要因や内分泌異常によるもの」と「2.長期の指しゃぶり(拇指吸引)や、飲み込む時に舌が突出する(異常嚥下)などの悪習癖によるもの」があります。
1の場合は骨格性の下顎前突を伴うことが多く、2の場合は歯槽性のものがほとんどです。
開咬の治療には乳幼児期を越えての長期の悪習癖を除去することがとても大切です。
混合歯列期のなるべく早い時期から治療を開始します。
永久歯列の開咬の治療は本格矯正となりますが、多くの場合、非常に難しくなります。
一般的に年齢が高くなるほど悪習癖の除去が困難となります。できるだけ早期に受診し、診断を受けることが大切です。
![]() |
![]() |
![]() |
矯正歯科治療前の写真(タングクリブ使用前)
![]() |
![]() |
![]() |
矯正歯科治療後の写真
治療期間タングクリブ使用開始より3年 治療費用60万円

矯正治療を行うにあたり、年齢に制限は基本的に無いと考えておりますが
壮年期以後の矯正治療には青年期以上に歯周組織や歯に十分な配慮が必要です。
壮年期には「これまでにむし歯にかかって修復した部位があったり」、「すでに歯が抜かれていて左右が非対称であったり」、「歯周病にかかっていて、炎症症状が存在したり」、「歯を支えている骨の量が少なかったり」と口腔環境、条件が不利な状態が重なることもしばしば見受けられます。
矯正治療に対して生体の反応も不規則で、予想に反する現象にも対応しなければなりません。矯正治療のための力に対して歯髄の壊死(歯髄壊死)、歯の根の吸収(歯根吸収)、歯ぐきの下がり(歯肉退縮)、歯と骨の癒着、骨吸収などに注意しなければなりません。
空隙歯列 非抜歯症例(前歯部の部分矯正)
![]() |
![]() |
![]() |
矯正歯科治療前の写真
臼歯関係ClassT 上顎前歯部分矯正
![]() |
![]() |
![]() |
矯正歯科治療後の写真
治療期間:2年3ヶ月 治療費用:30万円
(下顎ブリッジは別料金)
叢生 抜歯症例
![]() |
![]() |
![]() |
矯正歯科治療前の写真
右側側切歯抜歯され欠損、そのために正中が大きくずれています。
下顎第一大臼歯は金属冠にて修復済み、歯頚部着色あり。
![]() |
![]() |
![]() |
矯正歯科治療後の写真
治療期間2年3ヶ月 治療費用60万円
提示した症例は、すべてワイヤーとブラケットを使用したマルチブラケット法による本格矯正治療です。
治療費用は60万円を基本料金としています。
>料金に関してはこちら
>歯を抜くことについて(抜歯)に関しましてはこちら

一般的な不正咬合によってもたらされる障害に加えて、小児では顎の成長発育に悪影響を与えます。小児の不正咬合は将来の成長発育を阻害して、悪影響を与えます。
乳歯のかみ合わせ、混合歯列期のかみ合わせの時期に反対咬合があると、かみ合わせる時に上顎の前歯は「常に筋肉の力を中の方(舌側)に受けること」になり上顎の前方への成長を阻害します。
乳歯のかみ合わせ、混合歯列期のかみ合わせの時期に奥歯で上下の歯が片側でずれている状態(交叉咬合)が長く続くと、顎が非対称に成長し顔貌に悪影響が及ぶことがあります。
咬みあわせが深く、下の前歯がかみ合わせると見えなくなってしまう状態(過蓋咬合)が極端な場合は、下顎の前方への成長を抑えるように働くこともあります。
乳幼児期を越えての指しゃぶり、舌が上下の前歯の間から突出する異常嚥下癖のような、悪習癖があると、永久歯列にまで悪影響をあたえます。
小児(混合歯列期)の治療対象は、「主に骨格的な部分」、「機能的な部分」、「習癖」などの部分になります。
主訴を改善しながら顎の骨がまだ柔らかいこの時期に必要な成長・発育の促進、抑制をコントロールしながら治療することが大切です。この時期に治療を開始することで、なるべく永久歯を抜くことなく歯ならびを整えることが可能となります。
乳歯列では、乳前歯と乳前歯との間には隙間があり、余裕があるのが正常です。
すでに乳歯列で隙間が無かったり、叢生(がたがたの歯並び・乱ぐい歯、八重歯)があり、余裕のない場合には永久歯列に悪影響を及ぼし、さらなる永久歯列の不正咬合を引き起こす可能性が高くなります。
顎の骨を整え、永久歯がきちんと並ぶ土台ができれば、それ以後の本格矯正治療が必要ない場合もありますし、部分的な矯正歯科治療で済むこともあります。
しかし、すべてが本格矯正に移行しないわけではありません。
久野歯科医院では、乳歯が全て永久歯交換するまで小児矯正を行います。
永久歯への交換が完了した時点で再度、診断を行い患者様、患者様の保護者様に説明・相談の上、本格矯正治療を引き続き行うかを決定します。
歯性反対咬合、機能性反対咬合、骨格性下顎前突などに分けられます。
原因は遺伝や環境的な因子が複雑に絡み特定は困難です。
日本人は人種的に反対咬合になりやすい傾向がみられます。
小児の反対咬合は放置しておくと、成長発育に悪影響を及ぼし、永久歯列期に骨格性の反対咬合へと移行すれば治療がとても難しくなり、成長発育が抑制できない場合には成人となってから手術が必要な場合もでてきます。
混合歯列期のなるべく早い時期に前歯の咬みあわせを正常にすることが重要です。
早期の治療がのぞまれます。
![]() |
![]() |
![]() |
矯正歯科治療前の写真
![]() |
![]() |
![]() |
矯正歯科治療後の写真
取り外しのできる顎機能装置(ビムラー)で治療。ビムラーアダプターについてはこちら
前歯のかみ合わせ改善後奥歯に不正咬合が発生しました。これを治すにはムーシールドのような既成の装置では治療は不可能です。
治療期間:ビムラー装着から前歯のかみ合わせ改善まで1ヶ月その後、奥歯のかみあわせの改善に1ヶ月 。
治療費用:永久歯にすべて生え変わるまでの経過観察を含め20万円。
![]() |
![]() |
![]() |
矯正歯科治療前の写真
![]() |
![]() |
![]() |
矯正歯科治療後の写真
取り外しのできる補助弾線付拡大床にて治療。 補助弾線付拡大床 装置についてはこちら
主訴(反対咬合)が改善後も歯列弓の拡大を継続する。
下顎左側側切歯も正しいかみ合わせになりました。小児矯正のみで治療を完了しています。
治療期間:拡大床装着から、前歯のかみ合わせ改善まで3ヶ月
治療費用:永久歯にすべて生え変わるまでの経過観察を含め20万円
![]() |
![]() |
![]() |
矯正治療前の写真
![]() |
![]() |
![]() |
矯正歯科治療後の写真
取り外しのできる補助弾線付拡大床で治療。 補助弾線付拡大床 装置についてはこちら
主訴(反対咬合)が改善後も歯列弓の拡大を継続します。
治療期間:拡大床装着から、前歯のかみ合わせ改善まで3ヶ月
治療費用:永久歯にすべて生え変わるまでの経過観察を含め20万円
上の前歯が下の前歯より大きく出ていて、自分で意識していないと口を閉じることができません。無理に閉じれば口元に緊張と突出が表れます。
咬みあわせが深く下の前歯が見えないことも、しばしば診られます。
反対咬合に比べれば、矯正治療を開始することを急ぐ必要はありません。
小学校中学年に診察、診断を受け少なくとも小学校高学年には治療を開始します。
この時期の上顎前突・出っ歯の矯正治療では「余裕のある永久歯列と美しい顔貌などの最終的に良好な結果を得るための土台作り」が中心となります。
下顎の成長を促したり、可能であれば第一大臼歯を後方に移動させる顎外固定装置(ヘッドギアー)などを使用します。
![]() |
![]() |
![]() |
矯正歯科治療前の写真
![]() |
![]() |
![]() |
矯正歯科治療後の写真
取り外しのできる顎機能矯正装置(バイオネーター)を使用。 バイオネーターについてはこちら
小児矯正から始めたことにより、抜歯の回避と本格矯正の治療期間の短縮が可能となります。
治療期間:初診時より治療後写真撮影時まで4年。永久歯交換後本格矯正へ移行予定。
治療費用:永久歯にすべて生え変わるまでの経過観察を含め20万円。
上の前歯と下の前歯が咬んでおらず、大きく隙間のある状態のことをいいます。
もちろん前歯で食物を噛み切ることができません。
舌の位置が悪かったり(ロータング)、飲み込む時に舌がうまく持ち上がらない、飲み込む時に舌を突き出すなどの悪習癖が原因として挙げられます
口呼吸をしている場合も多く、鼻の病気が認められることも多くあります。
舌を突き出し飲み込む(異常嚥下癖)や指しゃぶりのような悪習癖を取り除くことから治療は始まります。
舌の機能訓練(タングトレーニング)を行い、床矯正装置のタングクリブを使用して治療を行います。開咬は永久歯列完成後には、治療が非常に難しくなります。
混合歯列期のなるべく早い時期に治療を開始することをお勧めします。
![]() |
![]() |
![]() |
矯正歯科治療前の写真
![]() |
![]() |
![]() |
矯正歯科治療後の写真
取り外しのできる装置(タングクリブ)で治療。 タングクリブについてはこちら
治療期間:初診時より、治療後写真撮影まで10ヶ月。
治療費用:永久歯にすべて生え変わるまでの経過観察を含め20万円。
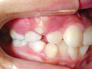
顎の大きさと歯のサイズのアンバランスによって、永久歯の生える余地がないためにデコボコ・ガタガタになっている状態です。 混合歯列期に叢生があり、「顎をずらして咬むクセがある場合」や「乳臼歯をむし歯で早くなくした場合」にみられます。
永久歯の生えてくる余地がないのが明白で、混合歯列期に顎を拡げることで抜歯しての治療を回避できる場合など治療を開始します。
![]() |
![]() |
![]() |
矯正歯科治療前の写真
上顎右側側切歯反対咬合。 下顎前歯軽度の叢生。
![]() |
![]() |
![]() |
矯正治療後の写真
取り外しのできる補助弾線付拡大床で治療。 永久歯交換完了まで拡大を継続しました。
補助弾線付拡大床 装置についてはこちら
臼歯関係ClassT 犬歯関係ClassTでしっかり咬んでいます。
小児矯正のみで、治療を完了しています。
治療期間:初診時より、写真撮影まで4年。
治療費用:永久歯にすべて生え変わるまでの経過観察を含めて20万円。
![]() |
![]() |
![]() |
矯正歯科治療前の写真
上顎中切歯の翼状捻転(ウインギング)下顎前歯の軽度叢生
![]() |
![]() |
![]() |
矯正歯科治療後の写真
取り外しのできる補助弾線、唇側弧線(ラビアルボー)付拡大床で治療。
ラビアルボー付き拡大床 装置についてはこちら
成人でも比較的多い翼状捻転も小児のうちに治せます。
下顎前歯の叢生も改善が見られます。下顎には装置を装着しておりません。
今後も歯列の育成と治療は継続されます。
治療期間:初診時より写真撮影まで2年3ヶ月。
治療費用:永久歯にすべて生え変わるまでの経過観察を含めて20万円。
小児矯正治療には成長・発育を妨げない、むし歯の誘発をしない取り外しのできる床矯正装置を使用しますが、症例、患者様の主訴の改善などのために一時的に部分的にワイヤーを使用した固定式装置を使用することもございます。
お子様の歯ならびを治してあげることは、親の責任の一つではないかと考えます。
子供は自分の歯ならびについて、どこが悪いのかわからないことも多く、矯正装置など「絶対つけたくない」といわれます。
お子様の輝く将来のために「しっかり歯ならびを治してあげる」ことは親の責任でもあり、愛情表現の一つだと思います。
きれいな歯ならびは、お子様への最高のプレゼントです。
健康で大きくなられたお子様は心の中できっと「おとうさん、おかあさんありがとう」と感謝すると思います。