

![]() |
![]() |
![]() |
当院おすすめ記事はこちら▼


常滑の矯正歯科 久野歯科医院 ≫ スタッフBlog
常滑市の久野歯科医院スタッフブログです。
定期的に当院からの新たなお知らせや矯正歯科治療の特徴、症例等について更新しております。是非ご覧下さい!
常滑市の歯科、矯正歯科の久野歯科医院です。
常滑市榎戸町在住 KM様の治療経過の報告です。
顎機能矯正装置(ビムラー)によって、比較的短期で簡単に反対咬合は改善されました。

上顎右側の脇の前歯(側切歯)が捻転して生えて来ています。
上顎左右の乳犬歯の上のほうには永久犬歯の生えて来るふくらみが観察され、
近い将来、乳歯と永久歯の交換が完了する頃には叢生、八重歯となることが予想されます。
上顎の歯列も下顎に比較して狭く本格矯正の必要性をKM様とKM様のお母様にお話しました。
永久歯の交換を待つ間にブラッシングを中心にしたお口のなかをきれいに保つための
指導を行い歯肉の炎症を抑えフッ化物を応用し、むし歯の発生の予防を行ないます。
次回は常滑市大和町在住のID様の治療経過を報告する予定です。
歯科・矯正歯科 久野歯科医院 院長
常滑市の歯科、矯正歯科の久野歯科医院です。
常滑市大和町在住のID様の治療経過の報告です。
右側中切歯の捻転の治療のためと乳臼歯、乳犬歯と将来の永久歯の交換を
スムーズに行なえるように上顎の拡大を取り外しのできる
床型の拡大床(エクスパンジョンプレート)で行ないます。
拡大はパラレルタイプのエクスパンジョンスクリューにて行なわれます。
床矯正装置の中央にパラレルタイプのエクスパンジョンスクリューが組み込まれ
黄色の矢印の方向に基本的には1週間に1度、付属の装置を使用して
4分の1回転させて顎を拡げていきます。
器械的に定期的にスクリューを回転させるのではなく、
床矯正装置と顎がしっかりと適合していることが大切です。
下顎とのバランスも考えながらスクリューの回転をしていただくように
患者様に説明します。唇側弧線(ラビアルボー)は捻転している
右側中切歯の角に接触するようにしてあります。
| 装着前の拡大床 | 装着後顎を拡大した拡大床 | |
![]() |
![]() |
![]() |
| 1週間に1度スクリューを4分の1回転させます。 | ||

次回は常滑市榎戸町在住のKM様の治療経過の報告を予定しています。
歯科・矯正歯科 久野歯科医院 院長
常滑市の歯科、矯正歯科の久野歯科医院です。
常滑市大野町在住のMA様の治療経過の報告です。
乳犬歯を抜歯して埋まっている犬歯を出してくるためには十分な準備が必要です。
犬歯が正しく移動できる位置、余地の確保が条件となります。
断面の丸い0.14インチのニッケルチタンワイヤー
(3Mユニテック ナイチノール スーパーエラスティック オルソフォームU)で
上下顎のレべリングを行ないます。
かみ合わせには問題がありますが歯列の乱れ、叢生は軽度です。

次回は常滑市大和町在住のID様の治療経過の報告を予定しています。
歯科・矯正歯科 久野歯科医院 院長
常滑市の歯科、矯正歯科の久野歯科医院です。
名古屋顎矯正研究会の定例会に参加しました。

会員の症例発表の後、
K先生に各々に対するコメントをいただきました。
その後K先生に講演をしてもらいました。
本日は3人兄弟の患者様の共通の診断から治療メカニクスの選択、
治療完了後の歯肉腫脹に対する対応までお話していただきました。
今回の意見交換は、
インプラントアンカーについてと審美矯正についてでした。
矯正商業雑誌では、インプラントを固定源(抵抗源)にした
矯正治療の症例報告の花盛りです。
矯正治療時の固定源(アンカー)を「どこに・何に」もとめるかは
作用と反作用を考えて決定しなければならず頭を痛めることもしばしばですが
固定源をインプラントに求めることで多くの問題を解決することができます。
しかし、歯科一般のデンタルインプラントと同様に問題がないわけではありません。
矯正治療中のインプラントの脱落や歯根の損傷、不快症状の発現などには十分な配慮が必要です。
審美矯正のうち、今回はセラミックブラケットと
エステティックワイヤーに焦点をしぼり、意見交換がおこなわれました。
舌側矯正に使用されることも多くなってきたインダイレクトボンディングについても話がでていました。
インダイレクトボンディング自体は新しいものではありません。
今後このブログにてインダイレクトボンディング法、
セラミックブラケットとエステティックワイヤーを使用した治療報告もできると思います。


研究会閉会後の反省会はいつものおじさんの集う居酒屋ではなく
小洒落たおでんやで行われました。
以前、金山にあるトマトのおでんで話題になった店の支店です。
照明も押さえ気味で女性同士、アベック、少人数のグループが
多く集まっており、ワインや焼酎もそろえているようでした。
私たちはアンコウのから揚げをつまみにビールで反省会の開始です。
とても寒い日であったこともあり日本酒を熱燗にしてもらい、
こんにゃく、大根、がんもどきなどの定番のものとともに
レタス、トマト、湯葉巻きのおでんも注文しました。
レタスのおでんは一枚一枚のレタスが
おでんの出し汁に泳ぐように供され、
トマトのおでんは、大きなトマトがおでんの出汁の張られた
深めの皿ででてきました。
トマトを崩すと、すっぱいトマトのジュースとおでんの出汁が
まざりあい、おいしくいただくことができました。
これをおでんといっていいのかは意見がわかれる所ですが豚のばら肉の薄切りを
おでんの出し汁にくぐらせた「豚しゃぶ」のおでんがめずらしく、とてもいい味を出していました。
おいしい料理とたのしい話題でいつもお酒を飲みすぎてしまいます。
次回は、常滑市大野町在住のMA様(犬歯埋伏歯の開窓・牽引)の治療経過を報告する予定です。
歯科・矯正歯科 久野歯科医院 院長
常滑市の歯科、矯正歯科の久野歯科医院です。
常滑市榎戸町在住のKM様。
ご本人、お母様の了解が得られましたので今回より治療経過の報告を開始させていただきます。
患者様は反対咬合(受け口)を主訴に来院された小学4年生の女子です。
上顎の歯列弓が下顎にくらべ狭く、右側の脇の前歯(側切歯)が捻転しています。
下顎の歯列弓もやや狭く感じられます。
正中もずれています。
咬みあわせが浅く、父親が反対咬合なので遺伝的な要因にも注意が必要です 。
構成咬合がとれるので機能的な反対咬合を考えて機能的矯正装置の
ビムラーアダプターにて治療を開始しました。

構成咬合とは、下顎の運動に関係している筋肉や口の周りの筋肉・舌の筋肉などの機能力を装置を介して
矯正力として利用できるように下顎の位置を変えた特殊な上下顎間の対咬関係のことです。
次回は研究会に参加した報告をする予定です。
歯科・矯正歯科 久野歯科医院 院長
常滑市の歯科、矯正歯科の久野歯科医院です。
常滑市大野町在住のMA様の治療経過の報告(その2)となります。
埋まっている永久歯の犬歯をどのように扱うかをご本人、ご家族を交えて相談しました。
治療案として
・このままの状態で経過観察し乳犬歯が抜けた時点で埋伏した犬歯を抜去し補綴処置
(セラミックなどで修復する。)
→健康な歯を削らなくてはいけません。
・このままの状態で経過観察し乳犬歯が抜けた時点で埋伏した犬歯を抜去しないで補綴処置
(セラミックなどで修復する。)
→健康な歯を削らなくてはいけないことに加え予知性に乏しい治療となります。
・このままの状態で経過観察し乳犬歯が抜けた時点で埋伏した犬歯を抜去しインプラント治療。
→インプラントの植立位置が問題になってきます。非常に技術的に高度なテクニックを要します。
・矯正治療を行うにあたり乳犬歯を抜いて、埋伏している犬歯も抜いて第一小臼歯に犬歯の役割を担ってもらう。
→下顎の第一小臼歯の抜去の可能性が残ります。
どの治療案にも長所と短所があります。
そのほかの可能性も考慮し、患者様、ご家族の希望に配慮し、埋伏した犬歯を抜かずに歯列弓内に取り込み
正常な咬合状態を回復するため犬歯を牽引(引っ張り出す)して矯正治療を行うことに
処置方針を決定いたしました。
乳犬歯を抜歯して埋まっている犬歯を出してくるためには十分な準備が必要です。
犬歯が正しく移動できる位置、余地の確保が条件となります。

次回は常滑市榎戸町在住のKM様の治療報告を開始する予定です。
歯科・矯正歯科 久野歯科医院 院長
常滑市の歯科、矯正歯科の久野歯科医院です。
患者様からブログ掲載の了承が得られましたので治療経過の報告を開始させていただきます。
患者様は常滑市大野町在住のMA様中学2年の女子です。
通院していた小児歯科で犬歯の埋まっていることを指摘され、
今後の方針が定まらないため専門の意見を聞きたいとのことで御来院されました。
歯列弓にも乱れはなく、叢生もありません。
臼歯関係(かみ合わせ)は十分とはいえませんが、問題にするほどのことはありません。
一見すると正常な上顎歯列弓に見えますが乳犬歯が抜けずに犬歯が埋まっている状態です。
混合歯列期より乳歯と永久歯の交換を経過観察し、必要に応じて乳臼歯の抜歯をしました。
乳犬歯以外すべて永久歯へ交換が終わりました。
写真は乳歯から永久歯へ交換が終わり、本格矯正の治療前のものです。
レントゲン写真もご覧下さい。

臼歯関係は右側がClassT,左側がClassUです。
次回も引き続き常滑市大野町在住のMA様の治療経過を報告する予定です。
歯科・矯正歯科 久野歯科医院 院長

常滑市の歯科、矯正歯科の久野歯科医院です。
金沢旅行の2日目の様子です。
宿泊したホテルは兼六園近くのシティホテルで
唯一天然温泉の大浴場を完備した大正ロマンの情緒漂う
クラッシックホテルでした。
客室も広く、金沢の名物の塩サイダー、加賀棒茶の無料サービスと
コーヒーメーカーが備え付けてあり、本格的なコーヒーが飲めました。
コーヒーカップはもちろん九谷焼です。
1日目はホテルに入ったのが夜であったこともあり、入り口も狭かったので内容が判りませんでしたが、
朝食のバイキング会場となっているホールはとてもクラシカルな感じで、また供されている料理も
品数、内容も豊富でとてもおいしくいただくことができました。
味噌汁のお椀は2種類の漆器から選びます。それ以外にも、ところどころに金沢の工芸品が使われていて
ホテルの細やかなもてなしの心使いを感ずることができました。

たっぷり食事を摂った後、早々にホテルを後にして兼六園に向かいます。
歩けない距離ではないのですがホテルでもらった1日周遊バスの
無料チケットを利用することにしました。
兼六園はいわずと知れた岡山・後楽園、水戸・偕楽園とならぶ
日本3名園の一つです。私は過去2度ほど来ているはずなのですが
ほとんど記憶にありません。
今の時期は冬の雪吊りの時期で観光客も多く訪れていますが
当日は雨が降ったりやんだりで雪景色を見ることはできませんでした。
その一方で梅林には蕾がもう膨らんできているものが散見されました。
園内最大の霞が池の辺に立ち、脚が二股で琴の糸を支える
琴柱(ことじ)に似ていることからその名がつけられたといわれていて
兼六園のシンボルといいますかテレビの放送で必ず、
映し込まれる「ことじ灯籠」をみて、兼六園の散策を終えました。
庭園の坂を下り、御茶屋で抹茶と和菓子をいただき、21世紀美術館に向かいます。
21世紀美術館は「まちに開かれた公園のような美術館」で
「新しい文化の創造」と「新たなまちの賑わいの創出」を目的に
開設された家族連れでも楽しめる現代美術館です。
恒久展示作品は「スイミングプール」をはじめとして不思議ですが
何か気持ちが引き込まれるオブジェや空間が展示されていました。
特別展としてトーマス・ルフ展が行なわれていて男女の若者が
多く鑑賞していましたが、私には難解なものが多く
モダンアートの表現に戸惑いを感じました。
芸術に対して感受性が低くなってきているのかもしれません。
もう一つの特別展はデザインと工芸品の接点をテーマにしたものでした。
優秀で機能的に優れている伝統的な工芸品はデザイン面からも美しく整った形態をしています。
矯正歯科治療で治療を完了した口腔内も左右対称で歯列弓はなだらかなアーチを描いており、
かみ合わされた上下の歯は歯車が合わさるがごとく調和のとれているものとなっています。
咀嚼効率も向上し機能的に優れている口腔内は健康的で、清潔で美しく整った形態をしています。
翌日からの常滑での患者様への歯科治療のことが少し頭を過ぎりました。
1日周遊バスの無料チケットを利用して、
近江町市場に遅い昼食をとりに向かいました。
近江町市場の始まりは1721年。以来300年金沢の食文化を支え、
新鮮な海産物や加賀野菜が手に入る金沢市民の台所として
親しまれ最近では私たちのような観光客や外国人も加わり
新たな賑わいをみせています。
ホテルマンの情報の通り初せりがまだ行なわれていないため、
あいているお店が少なかったのですが地元の回転寿司で
食事をすることができました。
とても混んでいましたが行列にならんだかいがあり新鮮な地元の魚を食べることができました。
平目や鯛、あおりいかなどの白身を中心に注文しましたが
のど黒のにぎりは前日とはちがいとてもおいしくいただけました。
氷見港では鰤の初せりが行なわれたことを朝のテレビのローカルニュースで知りましたが、
天然の鰤も意外とさっぱりしていて十分に堪能できました。
あわせる日本酒は前日、飲み比べたもののなかから常きげんを選びました。
寿司をはじめとして和食には日本酒が良く合います。

昼食の後、周遊バスを香林坊で降りて、長町武家屋敷跡界隈に向かいました。
水の町、雨の町でもある金沢には犀川と朝野川を水源とする
55本の用水があるそうです。
大野庄用水が流れる音に耳を傾けながら、
昔と変わらぬ情緒と風情を感じながら土塀の通りを散策しました。
毎年12月から3月までは雪から土塀を守るために(コモ)がかけられ
兼六園の雪吊りとともに金沢の風物詩となっています。
長町で唯一、一般公開されている武家屋敷跡の野村家を見学しました。
格式を重んじた建物はもちろんのこと日本庭園がすばらしく、
豊富な水量を利用しているのでしょう、濡れ縁の下にまで
池の水が入ってくるようになっており、
建物と庭が見事に調和していて感銘をうけました。
野村家の建物を出る頃には日が暮れてきて、
そろそろ帰りの時間が気になり始めました。
最後の目的地である尾山神社に向かいます。
尾山神社は加賀藩祖前田利家公と正室のお松の方を祀る神社で
鳥居をくぐり階段を上っていくと、三層楼門があります。
門の上層部には五彩のギヤマンがはめ込まれており、
日が暮れて点された内部からの光によって美しさがより増した三層楼門が印象的でした。
周遊バスで金沢駅に到着したら名古屋行きの特急白鷺の発車時間を気にしながら
コーヒーを買ってあわただしく列車に乗り込みます。車中は肉体疲労をとる時間となりました。
わが家の家族旅行はいつも時間との競争で空き時間、余裕のある時間配分はありません。
体は疲れましたが、すばらしい伝統工芸、伝統芸能、食文化の継承されている
城下町金沢の旅行を通じて頭の方は日常を忘れ、リフレッシュすることができました。
歯科・矯正歯科 久野歯科医院 院長

常滑市の歯科、矯正歯科の久野歯科医院です。
年始の休日を利用して北陸の金沢に1泊2日でいきました。
名古屋駅より特急の白鷺号に乗り、米原、敦賀を経由して
金沢駅まで所要時間は約3時間です。
名古屋から東京に行くのに新幹線で1時間半、
神戸に行くのに1時間の時代に3時間は長く感じられるかと
思いましたが、車中で読もうと用意してきた渡辺昇一氏の
新書のおかげか、車窓からのありふれた野山の風景を眺めても
飽きもせずに過ごすことができました。
到着した金沢駅は世界で最も美しい駅14選に
日本で唯一選ばれた駅で、「おもてなしドーム」とよばれる
規則ただしい幾何学模様を思わせる鉄骨の構造物は
ある種の大きな工芸品のようにも見え、
ドームの前方に位置する加賀宝生の鼓をイメージしていると
いわれている木造の「鼓門」と重なり合う光景は
駅の美しさ世界6位にふさわしいものでした。
まず金沢駅からタクシーでひがし茶屋街に向かいます。
ひがし茶屋街は風情あふれる金沢3茶屋街のひとつでキムスコ(木虫籠)と呼ばれる
美しい出格子がある古い町並みが残り、金箔や和菓子、金沢の小物などのお土産物屋や
おしゃれなカフェがならんでいました。
最初に金箔の作業を見学したのですが、
金箔というと思い出すのが東京歯科大学の学生の頃、
歯科臨床実習で行った金箔修復です。
金箔は熱を加えて焼きなますと粘りがでてきます(焼還といいます)。
金箔はこの粘性と金の本来の優れた性質(延性、展性、化学的安定性)を
利用してむし歯の詰め物として使用されていました。
当時でも学生実習、病院での臨床に適用していたのは
東京歯科大学のみではなかったかと思います。
昼食はひがし茶屋街で唯一あいていた蕎麦やで摂りました。
かけそばの中には今が旬ののど黒のあぶった身が根菜類とともに
浮かんでおりました。のど黒はあかむつとも呼ばれ北陸の代表的な
高級魚ですが白身にしては身が柔らかく、あぶらが非常におおく、
独特な風味があり私はあまり好きにはなれませんでした。
あわせて日本酒も注文しました。
歌手のナオト=インティライミに似ている店主がえらんだ
北陸の日本酒の飲み比べ3種は取手川、天狗舞、常きげんの3種で、
どれもすきっとした爽やかな飲み口でくせがなく特に常きげんが辛口で気に入りました。
その後もひがし茶屋街を散策し、浅野川の泉鏡花の小説の舞台にもなっている梅の橋を渡って
主計町茶屋街まで足をのばしました。次に娘と妻の希望により石川県立美術館に向かいました。
そこには東京・自由が丘の名店「モンサンクレール」の辻口博啓シェフプロデュースの
「ルミュゼドゥアッシュ KANAZAWA」がありました。
美術館は正月3が日が休館にもかかわらず、お店は非常に混んでいました。
ケーキには能登や金沢の地元の材料にこだわった物が使われ、甘くなく、しつこくなく、
奥深い味わいのあるケーキをいただくことができました。
幸いにも待ち時間も短く、娘も妻も非常に満足そうでした。
ここで小休止した後、金沢城公園に向かいます。
金沢城公園は加賀藩前田家の居城を整備した公園で、
石積みの見事な石川門をくぐると復元された
「菱櫓・五十間長屋・橋爪門続櫓・橋爪門」「河北門」などが
みられます。菱櫓・五十間長屋・橋爪門続櫓・橋爪門は
明治14年の火災で焼失しましたが平成13年に復元された
一続きの建造物です。
建物の中の櫓に上がる階段も史実に忠実に再現されていて
踏み外すと大怪我をするのではないかと思われるほど急なものでした。
なかを見学して1時間ほど長めに散策した後、
今日の夕食を摂るお店についての情報収集をするために一旦ホテルにもどりました。
ホテルはまたまた娘と妻の強い希望で大浴場の完備された金沢で唯一のシティホテルに宿泊します。
ホテルマンの話では金沢は魚の町で1月5日の初せりまでは魚の入荷は難しいだろうとのことでした。
そこで急遽予定を変更し金沢カレーを食べに行くことに。
金沢カレーは人参玉ねぎなどの具はみえずルーの上にかつやエビフライ、ソーセージ、目玉焼きなどが
キャベツの千切りとともにのせられた最近大人気のB級グルメだそうです。
私は知りませんでしたが娘も妻もおおよろこびでした。
スプーンではなくフォークを使い、ルーは最初やや甘口かと思いますが、しばらくして辛味がやってきます。
添えられたキャベツの千切りとセルフサービスの福神漬けがよいアクセントになっているようです。
トッピングのチキンカツなどにマヨネーズをかけるのも味の変化が楽しめていいみたいです。
食べてしまってからそのことを知り残念でした。
日の出前に家を出発し、ホテルに帰り着くまで一切の休憩はなし。
わが家の家族旅行は時間を惜しむように動き回り、電池が切れるがごとくベッドに倒れこみます。
唯一、大浴場で湯船に浸かったり、サウナで背伸びをして心身の疲れを癒すことができます。
だから娘と妻は大浴場つきの宿泊施設をリクエストするのかもしれません。
歯科・矯正歯科 久野歯科医院 院長
常滑市の歯科、矯正歯科の久野歯科医院です。
今回から小児の部分矯正、限局矯正についての治療報告をいたします。
小児期(混合歯列期)の矯正治療の主な治療対象となるのは骨格、機能、悪習癖の除去です。
しかし患者様、患者様の保護者の方の主訴は歯の隙間であったり、歯のガタガタであったり、
個々の歯の位置の異常であったりすることが多いのです。
患者様はID様、小学6年の男子で、主訴は上顎右側中切歯の捻転です。
患者様はかかりつけの歯科医院様からのご紹介でお口のなかの管理がしっかりされていました。
むし歯もなく、歯肉の炎症は上顎の前歯に軽度です。

捻転の治療は一般的には時間を要します。
歯を移動させるスペースの獲得と将来、永久歯へとスムーズに交換を促すために
パラレルタイプのエクスパンジョンプレート(拡大床)を装着する予定です。
歯科・矯正歯科 久野歯科医院 院長
常滑市の歯科、矯正歯科の久野歯科医院では矯正治療に重点をおいています。
30年以上の臨床経験と技術にもとづき、矯正治療を行っております。
技術の発展は歩みを止めることはありませんので
日々、新しい技術の習得と知識の吸収に現在もつとめております。

30年の間に様々なタイプの不正咬合の治療をしてまいりました。
患者様や患者様の保護者様、お母様などの歯ならびのお悩みを少しでも解消できるよう
矯正歯科治療をとおしてお手伝いしてきました。
今後お子様の歯ならびがどのように変化していくのかご心配のことと思いますがご安心ください。
色々な症状の方、歯列不正の方を診察、治療してきましたので対応は十分可能であると思っています。
たとえば、取り外しのできる床矯正装置が装着できない、
効果を発揮できない場合でもそのほかの方法を考え、保護者様に提案いたします。
本格矯正の必要な患者様には患者様のご要望に耳を傾け、おこたえ出来るようにつとめ、
患者様にとって最良の治療法を提案いたします。
30年の臨床経験の間に様々な患者様の治療に携わり様々な経験もいたしてきました。
学生服・セーラー服姿で治療されていた患者様が大学生や社会人となり
定期健診時の何気ない微笑みを拝見しますとうれしく思います。
小学生高学年より治療をおこなった患者様の中には現在結婚されて、お子様をもうけられている方も
多数いらっしゃいます。お子様をつれて、定期健診に通われている方も多数みえます。
患者様の諸事情により本格矯正を中断した患者様はこれまでにわずか3名です。
久野歯科医院で使用する矯正歯科材料は信用度の高い、
信頼性のある一流メーカーの材料を使用しております。ワイヤーは1本づつ完全包装されたものを使用し、
患者様に使用する矯正治療用プライヤーは滅菌消毒されたものを使用しています。
現在、幸か不幸か日本は景気の長期低迷の時期にあたり未だにデフレマインドから脱しておりません。
そのようなこともありますが矯正治療の費用に関しましては本格矯正の費用は60万円で
25年以上据え置きで値上げしておりません。
消費税の税率の上昇で実質は8%の値引きとなっております。
部分矯正は患者様の様々なご要望、様々な状態により治療費用は変わります。
治療費は診断時にお渡しする治療計画書に記入した金額以外に追加の費用をいただくことはありません。
初診相談と診断料は無料ですのでお気軽にご来院ください。
治療費用は一括、分割いずれも承ります。
分割回数、分割方法などについてもご相談いたします。
使用材料・器材にはすべて消費税がかかってきますが、
コストの削減で診療の質の低下を起こさないように、
患者様にご迷惑のかからないように気をつけています。
動的治療終了後、患者様の治療の記録として
撮影した写真をプリントかCDにしてお渡ししています。
久野歯科医院では、歯科一般治療でも、痛みのない治療、
なるべく体に負担のかからぬ治療、なるべく費用のかからぬ治療、
不運にも再治療が必要な場合にも再治療が簡単にできる治療を
めざしております。
久野歯科医院はご希望の患者様には訪問診療(往診)もいたしておりますが
訪問先では患者様の治療を終え、帰る際には必ず患者様の肩に手を当てて、挨拶をして帰ります。
診料所でも高齢の患者様がお帰りの際には軽く肩に手を添え挨拶するようにしております。
歯科医師である前にひとりの人間として私ができる高齢者の方への尊敬の念を
「手当て」としてあらわそうと思っています。
次回より新たな患者様の治療経過をお知らせする予定です。
歯科・矯正歯科 久野歯科医院 院長
常滑市の歯科、矯正歯科の久野歯科医院です。
今回は、空隙歯列の部分矯正・限局矯正の患者様(SK様)の治療報告のまとめとなります
患者様の主訴は上顎前歯の隙間がとても気になるとのこと。
上顎の前歯におおきな隙間が存在していました。年齢44歳男性の方で奥歯のかみ合わせは良好です。
下顎の前歯には私の父が31年前に治療したブリッジタイプの修復物が装着されています。
歯周病は軽度ですぐに動的治療に入りました。
下は治療前の写真です。


ワイヤーが直線になってきて歯の傾きが改善されつつあります。

歯の傾きが治りワイヤーチェンジの後、中切歯の空隙の閉鎖にうつります。
余った隙間は側切歯と犬歯の間に集中させます。

前歯4本の隙間をなくし、その結果できた犬歯と前歯の隙間を、前歯を後方(奥)へ
移動させることにより隙間を閉鎖していきます。(T-Loopを活性化してSpace Closeします)

上顎の歯の傾きの改善と空隙(隙間)は閉鎖して治療を完了しました。

大きく開いていた上顎の前歯の傾きは改善され、大きな隙間は閉鎖できました。
下顎の前歯は審美的にも機能的にも改善されました。下の写真は治療完了時の写真です。

臼歯部は1歯対2歯でしっかりかんでいます。
前歯の接触状態も適正です 部分矯正であってもかみあわせをくずさずに治療する事が大切です。
今回で空隙歯列の部分矯正・限局矯正の患者様(SK様)の治療報告は終了です。
次回は久野歯科医院の矯正歯科治療についてお知らせする予定です。
歯科・矯正歯科 久野歯科医院 院長
名古屋顎矯正研究会に参加しました。
前回の東京・千葉での研究会からおよそ2か月経過しての開催です。
今回は会員の症例発表に続き、K先生からヘッドギアを使用した非抜歯の上顎前突の治療例と
抜歯しての上顎前突の治療例のケースプレゼンテーションをしていただきました。
K先生のケースプレゼンテーションは多くの写真を治療の各ステップで
使用して会員全員に理解できるようにお話してくれます。
ただ漫然と見て聞いているだけでは、みになりませんが
次のステップをイメージしながら自分だったらどうするか
自問自答して自分の歯科医院に来院した患者様のように
疑似体験できることはとても貴重で、勉強になります。
今回K先生の治療例ではブレース(ブラケット)に
ジルコニアのローフリクションのものが使用されていて
使用の感想もお話いただきました。
メーカー主催の講演会ではなかなか聞けない話をK先生は私たちにしてくれます。
審美矯正のうち今回はセラミックブラケットとエステティックワイヤーに焦点をしぼり、
意見交換がおこなわれました。
数種類のセラミックブラケットから検討した結果今後、
久野歯科医院で使用するセラミックブラケットは主にTPジャパンのInVuミニを使用していく予定です。
私は先の保険医協会の講演内容のT4Kについて他の会員に意見を求め、質問しました。
名古屋顎矯正研究会の会員には顎の手術の前に行う術前矯正のできる矯正専門医、大学の非常勤講師、
小児歯科の認定医、補綴学会の認定医、一般開業歯科医などいろいろな方が会員としていらっしゃいます。
多方面の経験豊かな歯科医の意見を聞くことは自分だけで判断し行動するよりよい場合もおおくあります。
バイオネーター、FKO,ビムラーなどが患者様一人一人にあった顎機能矯正装置なら、
T4K、マルチファミリー、ムーシールドは既成の顎機能矯正装置であり多くの患者さまに対応できるのが
長所でもあり、短所でもあるということ、小児矯正の1期治療に使用する装置で、
鼻呼吸の促進と舌の位置の改善を目的としているのはバイオネーター、FKO、ビムラーなどとかわりがない。
という意見が大半を占めました。
結局ひとつの方法に固執せず最終的な矯正治療の目標を達成することが大切であると思いました。
終了後は予約をしてあった大須の焼き鳥やで有志で反省会です。
そのお店は古い店構えでカウンターとこあがりが二つあるのみの小さなお店ですが、
みんなのお気に入りで隠れた名店です。
店主は最初は注文にもそっけないのですがしっかり話を聞いていてスポーツ全般に詳しく、
人柄も善くとても気さくな方のようです。
砂肝、肝、ねぎま、心臓、つくね、もも焼き、すべておいしくいつも飲みすぎてしまいます。
旬の牡蠣の串焼きは大振りで絶品でした。
歯科・矯正歯科 久野歯科医院 院長
常滑市の歯科・矯正歯科の久野歯科医院です。
部分矯正、前歯に大きな空隙のある患者様(SK様)の治療報告の続きです。
かみ合わせの安定を図り、前歯の総合的な審美性を回復するために、
下顎のブリッジタイプの修復物を再調整します。

古いブリッジです。父が30年以上前に装着したものです。

表面麻酔のシール(ペンレス)を患者さまの了解のもと使用して
痛みのない局所麻酔下できれいに形成を行い、セラモメタルクラウンの審美修復を行いました。
久野歯科医院では痛みのない、体に優しい歯科治療を行います。
歯科・矯正歯科 久野歯科医院 院長
愛知県保険医協会の歯科学術研究会の講演会に参加しました。
演題は「Trainerによる不正咬合治療の到達点」で、講師は日進市開業の福岡雅先生です。
内容の概略は主にT4K(pre-orthodontic Trainer for Kids)という
既成の顎機能矯正装置を使用して不正咬合を治療するというものです。
T4Kに関しては、ずいぶん以前に名古屋顎矯正研究会でムーシールド、マルチファミリーとともに
K先生から紹介され学びました。T4Kは2000年頃日本で発売され始めたようです。
名古屋顎矯正研究会は発足から30年近く経過しているので比較的はやく、
その存在は知っておりましたが、矯正専門医ではあまり使用されてはいないようです。
今回はいわゆる歯科矯正医専門医、歯科矯正学会認定医ではない一般開業歯科医の福岡先生の講演で
個人的に非常に興味をもって講演会に臨みしました。
TrainerのTrainとは「訓練する」という意味ですがそれは何を訓練するのでしょうか?
Trainerとは不正咬合者の多くには口呼吸と異常嚥下(飲み込み)があり、これを正常な呼吸や嚥下に治す為のTrainingをするものであると考案者のDr.Farrellは言っています。
今回の講演会では症例写真が非常に多く提示され、直っていく経過がよくわかりました。
記録写真撮影の重要性を再認識した講演会でもありました。
取り外しが可能で、痛みがなく、食事、会話に制限がないこと、金属アレルギーの心配がない
メタルフリーなど、ブラケットによるワイヤー矯正(本格矯正)にない多くの利点が話されました。
提示された写真のなかには横顔のバランス(プロファイル)が不十分であると
思われるものもありましたが今後もTrainerの継続により改善されていくのでしょう。
講演会では他に鼻呼吸の意義・重要性を再認識し、副鼻腔の機能について学ぶことができました。
また寝相が大きく、T4Kの治療に影響することが興味深い事柄のひとつでした。
よい寝相は仰向けに静かに寝ていることだと思われます。
今後、久野歯科医院でもT4Kを利用した小児矯正に取り組んでいきたいと思います。
治療費用も安価で安全です。
いろいろな治療法に精通していることは患者様の様々なご要望におこたえするため、
治療法に患者様のほうを合わせるのではなく、
患者様の状態にあったよりよい治療法を提示するためには非常に大切なことだと考えています。


写真はオーティカインターナショナルT4K TRAINERカタログより
次回は症例報告に戻って、下顎のセラモメタルブリッジの装着をお伝えする予定です。
歯科・矯正歯科 久野歯科医院 院長
常滑市の歯科・矯正歯科の久野歯科医院です。
ひきつづき、部分矯正の空隙歯列の患者様(SK様)の治療報告です。
上顎の歯の傾きの改善と空隙(隙間)は閉鎖して治療を完了しました。

下顎の古いブリッジタイプの修復物をはずして作り直しをします。
咬みあわせを安定させます。
歯科・矯正歯科 久野歯科医院 院長
ひきつづき、部分矯正の空隙歯列の患者様(SK様)の治療報告です。
前歯4本の隙間をなくし、その結果できた犬歯と前歯の隙間を、
前歯を後方(奥)へ移動させることにより隙間を閉鎖していきます。
臼歯にもブラケット、チューブを接着し犬歯と臼歯を固定源(アンカー)にして
4前歯をまとめて後方に移動させます。犬歯をメタルブラケットに交換しました。
0.16×0.16ステンレスワイヤーにティーループというループをベンディング(屈曲)し
ティーループを活性化することで4前歯を移動させる力を調整します。
後方に4前歯を移動させると下の前歯に上の前歯があたってきます。
部分矯正という制約があり、本格矯正とはちがったむずかしさがあります。
今回は後日、下顎の前歯を修復する予定があります。
そのため、下顎の不適合な修復物の前歯を調整する事で上顎前歯の後方移動に対応することにしました。

次回は空隙の閉鎖の治療の完了を報告する予定です
歯科・矯正歯科 久野歯科医院 院長
部分矯正の空隙歯列の患者様(SK様)の治療報告です。
0.16×0.16ニッケルチタンの角線から0.16×0.16のステンレススチールの角線にステップアップしました。
歯の傾きが治りワイヤーチェンジの後、
高品質の合成ゴム(パワーチェイン)で中切歯の空隙の閉鎖にうつります。
最初は左右中切歯同士を引っ張りあい、完了したら中切歯をまとめ上げてそれをもとに
脇の前歯(側切歯)を引っ張って空隙をなくします。
余った隙間は側切歯と犬歯の間に集中させます。

次回は本格矯正でいうアンテリアルリトラクションの開始をお伝えする予定です。
歯科・矯正歯科 久野歯科医院 院長

久野歯科医院の壁にはちょっと変わった絵がかけてあります。
それはシャドーボックスとか3Dアートとか呼ばれていて、
ペーパークラフトの一種です。
現在待合室、受付、診療室に掛けてあるものはアントンペックという
オランダの画家の原画をもとにした物です。
アントンペックの画はアンティック調で
古いヨーロッパの町並みとそこに生活している職人、
商人の日常がとても細かく描かれています。
シャドーボックスの製作は基本的には4枚の同じ絵が用意され
テキストの指示どうりに絵を切り抜き重ねていけばよいのですが、
立体感を出し表情を作り出すにはテキストどおりでは
うまくいかない時もよくあります。
私の場合、最初の作品はテキストどおり作ったのですが、
テキストどおりでは飽き足らず次からはテキストなしで
5〜6枚同じ絵を用意して最終的な出来上がりをイメージして
イメージが出来上がったら一気に作っていきます。
以前はディズニーのシャドーボックスと交互に飾っていたのですが
最近は交換することもなく、ずっとアントンペックのものを飾ってあります。
顎矯正研究会を千葉でおこなった日の翌日は完全なフリータイムとなりました。
せっかく平日に東京に来ているので、シャドーボックスの材料を販売している
浅草橋のヂヤンテイに行くことにしました。
研修、セミナー、大学の同窓会などで東京には比較的よく来るのですが土曜、日曜の開催がほとんどで、
平日には診療がありますので平日に東京には来れません。
ヂヤンテイは平日しか営業していないので今まで来店する機会がなかったのです。
他のトールペイントやエッグアートには目もくれずシャドーボックスのある2階へ向かいます。
以前に仕上がりの不満足な作品があり、絵の枚数を増やしてリベンジしようと思っていた物と
3Dアートのシリコンとマーカーを購入しました。店員の方には作品のつやの出し方などの質問もしました。
以前にアントンペックの画はもう輸入できないと聞き、家につくっていないものがまだ2作品あるのですが、
今日購入したものを含めて診療室に飾ることができるのはいつになることやら。
その後、ヂヤンテイを出て友人と午後の東京をたのしみました。
浅草橋の蕎麦やで昼食をとりました。十割蕎麦がくるまで、小エビのかき揚げを箸で崩しながら
“ひやおろし”の日本酒とともにいただきます。
池波正太郎原作、鬼平犯科帳の長谷川平蔵も下町の蕎麦やで小柱のかき揚げなどを注文して
盗賊を内偵したのでしょうか?毎日の診療を忘れ、非日常を楽しむことは気分をとても愉快にしてくれます。
おじさん二人が東京で行くところは上野か浅草。
東京スカイツリーがウルトラマンのセットの建造物のように
そそり立っているのが見えます。
仲見世を通り浅草寺にお参りをしたら、人形焼を買って友人の
h先生のリクエストで浅草演芸場のとなりの東洋館で漫才をみました。
館内はほとんど高齢者、超高齢者で満員で漫才師も高齢者がおおく、
ナイツの話によく出てくる師匠たちの熱演ぶりが伝わってきます。
東洋館は12:00〜17:00まで何時入場しても何時帰っても自由で、
指定席はなく、飲み食いも自由で一日楽しめます。
夕食は予約をしておいた浅草の老舗の鰻やで摂りました。
常日頃なじみのある関西の蒲焼ではなく一度蒸す工程が加わる東京の鰻の蒲焼は絶品でした。
肝焼き、白焼き、うな重とすべて平らげてしまいました。
鰻の重厚な味、口の中のしつこさを消しさっぱりと口の中を整える肝吸い、
ぬかづけ、どれをとっても最高でした。
蕎麦や、鰻やともに撮影禁止で店の様子、お料理をお伝えすることはできませんが
今回はとても充実した東京の旅となりました。
歯科・矯正歯科 久野歯科医院 院長
先日、名古屋顎矯正研究会の講師をお願いしているk先生の診療室に
見学をかねての研究会に参加しました。
先進的な都会の歯科矯正オフィスを見学し、診療のシステム、
患者様への医療サービス等よい点を吸収できれば久野歯科医院にも
取り入れることができると思います。
k先生は現在も東京歯科大学の非常勤講師をされており、
私の歯科矯正治療の先生でもあります。
k先生のお話は時にきびしく、時に優しく人生経験が豊富で懐の深い、
私の大好きな先生のひとりです。
k先生は千葉市真砂区で開業されています。
新幹線の東京駅からJR京葉線に乗り東京ディズニーランドのある舞浜を通り、
幕張メッセを通過して稲毛海岸の一駅東京より検見川浜で電車をおりました。
k先生の診療室はおしゃれなビルの6階で一般歯科とは違う空気感があり広く、
矯正のオフィスと呼ぶのにふさわしいところでした。
k先生のオフィスの窓から私の母校東京歯科大学の千葉病院がみえています。
東京歯科大学を卒業し補綴第2講座に在籍、臨床に研究に、学生の教育にいそがしくしていた頃を思い出します。
今回の研修は
を学びました。
最後に各人、約20分のケースプレゼンテーションを行い、
研究会員相互のディスカッションとk先生のそれに対する感想と批評がされ、終了となりました。
研修が終了後、かねてより連絡してあった大学の友人と
有楽町で待ち合わせ、夜の銀座に繰り出しました。
銀座といっても高級なところではなく新橋にも近い大衆的なお店です。
供される料理は洗練されていて手が加えられ、
とてもおいしくいただけました。
友人の中には20年ぶりに再会した者もいました。
親しかった同窓の同級生は容貌は多少変わりましたが、
今の顔に昔の若かりし頃の顔が重なり、
会った瞬間から打ち解けることができました。
利害関係の全くない学生時代をともに学び、遊んだ友人と昔に戻り、近況をお互いに報告し合い、
酔うほどに難症例などの仕事の悩み、子供の進路などとりとめもなく話をしました。
お店を2度かえて、気がついたら12時をすぎていました。
また会うことを約束して別れましたが今度はいつ会えるやら。
歯科・矯正歯科 久野歯科医院 院長
常滑市の歯科・矯正歯科の久野歯科医院です。
上顎の前歯が大きく開き、隙間のある患者様(SK様)の部分矯正の治療報告をつづけます。
0.16×0.16のニッケルチタンの角線の変形がなくなり、直線になりつつあります。
中切歯の傾きが改善されつつあります。
前歯、犬歯に使用しているのはメタルスロットが入っていないプラスチックブラケットです。
耐久性の面でメタルブラケットに劣っています。

次回は隙間の閉鎖の治療の開始をお知らせする予定です。
歯科・矯正歯科 久野歯科医院 院長
常滑市の歯科・矯正歯科の久野歯科医院です。
先日、愛知県歯科医師館の歯〜とぴあホールで行われた
「歯科医師の認知症対応力向上研修会」に参加しました。
講演はお二人の先生で、演題の認知症の「基礎知識」「連携と制度」を
長寿医療研修センター長の遠藤英俊先生が担当され、
「かかりつけ歯科医の役割」を愛知県歯科医師会の理事の
本田豊彦先生が担当されました。
遠藤先生は大府にある長寿医療センターのお医者様で
新聞のインタビュー、テレビの出演などでも有名な先生です。
私にとっては認知症の講演会は日本医大の片山泰朗教授以来のものとなります。
認知症の基本知識の講演では
などの事柄をテキストの内容にあわせてお話いただきました。
つづいて連携と制度についての講演ではかかりつけ歯科医にとっての多職種連携の意味について、
地域包括支援センター、ケアマネージャー、社会福祉士、精神保健福祉士などとの連携についての
お話があり、多職種の方と地域の歯科医師会の代表者・担当者との連携にとどまらず、
歯科医師一人一人の連携の必要性を感じました。
税収が伸びないなかで介護保険制度を維持していくためには介護保険料の徴収年齢をひろげることや
予防給付(要支援1・2)から総合事業への移行など待ったなしの制度の変更のお話がありましたが、
市町村により介護サービスに格差ができないか心配な面も感じられました。
最後に各々の他の受講者の人の意見を直接聞き、ディスカッションし代表者が意見をまとめ上げて
発表、伝達する簡単なグループワークを行い、認知症の患者様とのかかわりや経験などを話し合い
遠藤先生の講演は終了しました。
つづいて本田先生の講演に移る前に「あいちシェイクアウト訓練」を受講者全員で行いました。
これは南海トラフ地震などの大地震が発生した時に最初に自分の身を守るための訓練です。
その行動は簡単で「姿勢をひくく、頭をまもり、じっとする」ことです。
小学校の防災訓練で同様の姿勢をとり、机の下にもぐったことを思い出します。
実際に訓練を行うと肘や肩にこわばりを感じ、腰が痛く常日頃の運動不足が露呈しましたが
災害を想定し機会のあるときにシェイクアウト訓練を行うことは非常に大切であると思います。
本田先生の講演では配布されたテキストにそってお話され、認知症に対応できる歯科医師の役割とは
の4つをあげて、3つのDVDの例でわかり易く説明していただきました。
DVDの内容は受付の対応、歯科医師の対応、
スタッフ同士の心得など一般的なものなのですが
認知症の方には、より細やかな心づかいの必要性を感じました。
常滑市の久野歯科医院は在宅(居宅)だけではなく、
協力歯科医としてグループホームへの訪問診療などをしておりますが
本日、レクチャーされたことはすぐに実践しようと思います。
歯科・矯正歯科 久野歯科医院 院長
常滑市の歯科・矯正歯科の久野歯科医院です。
上顎の前歯が大きく開き隙間のある患者さま(SK様)の治療報告のつづきです。
最初の予定では犬歯から犬歯までブラケットを接着し隙間をなくすように計画しました。
弾性のある非常に柔らかいニッケルチタンワイヤーを部分的に使用しました。
前歯にのみブラケットをつけたため、安定感のある角線(0.16×0.16インチ)を最初からセットしました。
大臼歯に装置(チューブ)をつけて丸線(0.14インチ)からスタートする場合もあります。

このワイヤーでレべリングをおこない歯の傾きを治します。
傾きが治ったら次のステンレススチールの角ワイヤーにステップアップします。
歯科・矯正歯科 久野歯科医院 院長
常滑市の歯科・矯正歯科の久野歯科医院です。
患者さまのなかには
「ここだけ、治してほしい」「本格矯正はしたくないが、前歯のガタガタだけ治してほしい」
「上の前歯だけ治してほしい」「下の前歯のガタガタだけでいいので治してほしい」
「前歯の隙間を閉じてほしい」という方がいます。
部分矯正、限局矯正を希望される患者様です。
しかし不正の現れているところとは別の部位に不正の原因があることもあり、
装置が大きくなることもしばしばあります。
今回から成人の部分矯正をされた患者さま(SK様)の治療報告をいたします。
患者様の主訴は上顎前歯の隙間がとても気になるとのこと。
年齢44歳男性の方で奥歯のかみ合わせは良好です。
下顎の前歯には私の父が31年前に治療したブリッジタイプの修復物が装着されています。
歯周病は軽度ですぐに動的治療に入りました。
成人の場合はむし歯の有無、歯周病の程度や、歯根の長さ、歯が骨に癒着していないかなども注意が必要です。
下に治療前の写真を提示します。

前歯の真ん中と左の脇の前歯の間が大きく開いてすいています。
臼歯関係は右側ClassU 左側ClassTです。
次回は「イニシャルワイヤーの装着」の治療を報告する予定です。
歯科・矯正歯科 久野歯科医院 院長
常滑市の歯科・矯正歯科の久野歯科医院です
常滑市在住のS様(非抜歯症例)の治療報告のまとめです。
S様は小児の混合歯列期の頃より治療を開始しました。永久歯の生えるスペースが不足しているのが明白で
補助弾線付拡大床にて治療をしておりましたが、永久歯との交換が著しくすすみ、本格矯正へ移行しました。
下は治療前の写真です。

0.14ニッケルチタンのラウンドワイヤーを装着します。レべリングを開始します。

歯が移動してブラケット(ブレース)の溝(スロット)に
0.16×0.16ニッケルチタンのレクタンワイヤーを装着していきます。
ブラケットポジションを確認し、必要があれば適正な位置にブラケットをつけなおします。

上下顎0.16×0.16ステンレススチールのレクタンワイヤーにステップアップします。
前歯・奥歯のかみ合わせを治療していきます。

ブラケット、ワイヤーをはずして一旦、動的治療を終了します。
リテーナー(保定装置)を装着して、今後は第2大臼歯の萌出を待ち定期健診を継続します。
小児矯正より動的治療終了までの期間:約2年 治療費用(準備矯正を含め):60万円

今回で一旦、S様の治療報告は終了いたします。
次回より成人の部分矯正・限局矯正の患者様の治療報告を開始する予定です。
歯科・矯正歯科 久野歯科医院 院長
常滑市の歯科・矯正歯科の久野歯科医院です。
KA様は口元の緊張と下顎の前歯のガタガタ(軽い叢生)を主訴に来院されました。
診断の結果、上下顎前突で奥歯のかみ合わせも不十分でした。
主訴の治療のため上下第1小臼歯を合計4歯抜歯を行い、できたスペースを利用して
かみ合わせの改善と叢生の治療を行いながら、前歯を後方に移動させて治療しました。
治療前の写真です。
かみ合わせは右側がClassU,左側はClassT正中は不一致です。

4歯の上下顎第1小臼歯を抜歯後最初のワイヤー(イニシャルワイヤー)を装着し、レべリングを開始します。
0.14ラウンドニッケルチタンワイヤーを装着しました。

0.16ラウンドステンレススチールワイヤーにて犬歯の後方への移動を行います。
ワイヤーにカーブをつけて前歯のかみ合わせも改善を開始します。

0.16×0.16レクタンステンレススチールワイヤーにループを屈曲しステップベンドを入れて
前歯をまとめあげて、前歯を後方にひとまとめにしてT-Loopを活性化させて移動を行います。
この時点で下顎の前歯の叢生は改善しています。

細かなステップベンドを入れ最終的な仕上げを行い治療します。

ブラケット、ワイヤーの除去をおこない、動的治療を終了しました。
今後はこの状態を長く続け、かみ合わせの安定をはかるために保定期間に入ります。
後戻りを防止するためにも保定はとても重要な治療期間です。
動的治療期間3年 治療費用60万円

今回でKA様の治療報告は終了いたします。
次回は常滑市在住のS様(非抜歯症例)のまとめを報告する予定です。
歯科・矯正歯科 久野歯科医院 院長
常滑市の歯科・矯正歯科の久野歯科医院です。
ひとくちに小児の反対咬合といってもいろいろなタイプの患者様がいらっしゃいます。
顔つき(顔面タイプ)歯列弓の大きさや広さ、奥歯のかみ合わせ、前歯のかみ合わせの深さ、
乳歯と永久歯の交換状況、歯の大きさ等、お口のなかの様々な要因のほかに
治療開始の時期、年齢、性別、悪習癖の有無、家庭環境、家族構成、患者様の日常生活からの影響、
患者様の性格なども考慮に入れて、診断が行なわれ、治療が開始されます。
今回はお二人の反対咬合の患者様の治療報告をいたします。
A様(小1、男子)反対咬合で来院されました。
A様には床型の補助弾線付拡大床での治療を計画し治療を開始しました。
A様はお約束の時間にはなかなか来院できず、拡大床の調整に不定期に来院されていました。
A様は装置を装着後6ヶ月〜8ヶ月で反対咬合が改善されました。
上の前歯が正しい位置になったことで、かみ合わせの障害がなくなり下顎の前歯の叢生も改善しております。
下の写真はA様の治療前と治療後の写真です。
反対咬合は改善されましたが犬歯を含む側方歯の生えるスペースの確保のため顎の拡大が行われます。

ほぼ同時期にB様(小1、男子)反対咬合で来院されました。
B様は反対咬合に加えて、第一大臼歯の前方への傾斜が懸念されましたので
床型の矯正装置で反対咬合の治療と第一大臼歯の後方への移動を計画し治療を開始しました。
同じ反対咬合でも治療の難易度はB様のほうが高いと思われます。
B様はお約束の時間に必ず来院され前歯の前方への移動と第一大臼歯の後方への移動のために
床矯正装置の補助弾線の調整を行い、治療を継続しました。
6ヶ月ほど調整、治療を継続しましたが治療効果があらわれず、側切歯が生えてきたタイミングで
ワイヤーを使用した固定性装置に変更し、治療を再開いたしました。
床矯正装置は取り外しができて、成長発育を妨げることなく、しっかり10時間以上装着できれば、
必ず効果があらわれます。十分に装着できていなかったことが予想されました。
下の写真はB様の治療前とワイヤーを装着しての治療中、治療後の写真です。

長期間の治療となりましたが固定式の矯正装置を使用したことで反対咬合の改善に加え、
第一大臼歯の後方への移動、捻転(ローテーション)の改善、側方歯の生える位置の確保などが
すべてできました。しかし舌の位置が低い傾向にあり、今後も注意深い経過観察が必要です。
次回は常滑市在住のKA様(抜歯症例)のまとめをお知らせする予定です。
歯科・矯正歯科 久野歯科医院 院長
常滑市の歯科、矯正歯科の久野歯科医院です。
今回は、S様の治療経過についてのご紹介を掲載しております。
一旦ワイヤー、ブラケットを除去し動的治療を終了します。
上顎の第2大臼歯はまだ萌出していませんが、このままワイヤー矯正を継続し、
むし歯を誘発する可能性を考えた場合に一旦ワイヤー、ブラケットを除去して動的治療を終了した方が
得策であると考えました。
動的治療は終了しますが、今後も第2大臼歯の萌出を観察し、
問題がでてくれば対応できるように治療は継続されます。

上下顎の正中は一致しています。
前歯の接触状態も良好です。
左右とも臼歯は1歯対2歯でとても安定して咬んでいます。
現在カリエスフリー(むし歯ゼロ)の状態です。
動的治療は終了しても第2大臼歯が上下萌出し歯列弓が安定するまで治療は継続されます。
次回は小児(子供)の反対咬合についてお知らせする予定です。
歯科・矯正歯科 久野歯科医院 院長
常滑市の歯科、矯正歯科の久野歯科医院です。
今回も引き続き、KA様の治療経過についてのご紹介を掲載しております。
「動的治療終了」と判断しました。
ワイヤーをはずし、ブラケットを除去しました。
治療経過中、むし歯の発生もなく、歯周病も軽度の歯肉炎に抑えることができました。

前歯のかみ合わせが浅くなり適正な状態になりました。
上顎の正中(真ん中)と下顎の真ん中は一致しています。
上下の歯列弓は狭いV型から余裕のあるU型になりました。
犬歯を含む側方歯は1歯対2歯の1級関係で安定した咬みあわせが確立しています。
![]() |
![]() |
|
| 治療前の側貌です | 治療後の側貌です |
口元に緊張がなくなり、側貌の著しい改善が認められます。
動的治療を終了し、保定期間にはいります。
次回は常滑市在住S様(非抜歯症例)の「動的治療終了」をお知らせする予定です。
歯科・矯正歯科 久野歯科医院 院長
常滑市の歯科、矯正歯科の久野歯科医院です。
今回は、S様の治療経過についてのご紹介を掲載しております。
細かい調整を行い、上顎に0.16×0.16角線ステンレススチールワイヤーを装着しました。

下顎は以前と変わらず0.16×0.16ステンレススチールのワイヤーです。
前歯のかみ合わせは適正な状態です。
臼歯関係(モラーリレーション)は1歯対2歯の1級関係、
犬歯関係(キャナインリレーション)も1級が確立しています。
次回は常滑市在住KAさま(抜歯症例)の動的治療の終了をお知らせする予定です。
歯科・矯正歯科 久野歯科医院 院長
常滑市の歯科、矯正歯科の久野歯科医院です。
今回も引き続き、KA様の治療経過についてのご紹介を掲載しております。
上下顎に0.16×0.16角線ステンレススチールワイヤーを装着しました。
上下のワイヤーの前歯部にステップベンド(ディプレッションベンド)が入れてあります。

前歯のかみ合わせは以前より浅く、適正な状態です。
犬歯の1級、臼歯も1歯対2歯の1級関係が確立しています。 正中もほぼ合ってきました。
次回は常滑市在住のS様(非抜歯症例)のアイデアルアーチの装着の報告をお知らせします。
歯科・矯正歯科 久野歯科医院 院長
常滑市の歯科、矯正歯科の久野歯科医院です。
今回は、継続して治療経過を掲載しております、KA様についてのご紹介です。
上下顎のアンテリアリトラクションが完了し、スペースクローズができました。
下顎のスペースクローズが先行し、下顎には0.16×0.16ステンレススチールワイヤーの前歯部に、
ステップをつけたベンド(屈曲)が入れたもの(ディプレッションベンド)が装着してあります。
上顎にもT-ループの足の部位に同様にディプレッションベンドが入れてあります。

ディプレッションベンドを入れたことで前歯が圧下され咬みあわせが今までより浅くなってきています。
上顎ももう少し、後方へ移動(リトラクション)できそうです。
次回は引き続き常滑市在住のKA様(抜歯症例)「アイデアルアーチの装着」の
治療報告をお知らせする予定です。
歯科・矯正歯科 久野歯科医院 院長
常滑市の歯科、矯正歯科の久野歯科医院です。
今回は、「正中過剰歯、埋伏歯」についてのご紹介です。
前歯に大きな隙間があるもうひとつの大きな原因に余分な歯(過剰歯)があったり、
歯が埋まっていたり(埋伏歯)することがあります。過剰歯で埋伏歯の場合もございます。
過剰歯の場合は歯を抜かなくてはなりません。
埋伏歯の場合は歯肉を除去(開窓)して引っ張り出す(牽引)か矮小歯などで利用できない場合はやはり、
歯を抜かなければなりません。
過剰歯ではない埋伏歯で抜歯が行なわれると歯の数が不足となり、
左右の対称性を失うことになり矯正治療が難しくなる可能性もございます。

次回は常滑市在住のKAさま(抜歯症例)の治療報告
「アンテリアリトラクションの完了」 をお知らせする予定です。
歯科・矯正歯科 久野歯科医院 院長
常滑市の歯科、矯正歯科の久野歯科医院です。
今回は、「上唇小帯付着異常」についてのご紹介です。
永久歯の前歯が生えてくるとき真ん中に隙間があります。
多くの場合、経過観察を行い犬歯が生えそろう頃には
隙間が自然となくなっていきますが
上唇の「すじ」の付いている位置の異常が原因で
前歯の隙間が大きくできている場合があります。
このような場合には前歯の隙間の原因である
「すじ」を取り除くことが必要です。
原因を取り除くことができれば隙間は自然と
閉じていくことが多いのです。
それでも隙間が閉じない場合には取り外しのきく矯正装置を使い、
あごを側方に拡大しながら隙間を閉じていくことになります。
下に上唇小帯付着異常の治療例を提示します。
![]() |
上唇小帯(上唇のすじ)が |
|
![]() |
「すじ」を取り除き、 |
|
![]() |
予想どおり脇の前歯が萌出してきたら |
|
![]() |
永久歯列になりました。 |
|
次回は「小児の前歯の隙間について(その2)正中過剰歯、埋伏歯について」お知らせする予定です。
歯科・矯正歯科 久野歯科医院 院長
常滑市の歯科、矯正歯科の久野歯科医院です。
正常な乳歯から永久歯への交換について、小児の患者様のかみ合わせを診させて頂く場合に
それが、正常であるのか何か原因があるのかを判断します。
上顎の前歯が生えてくるときには、
乳前歯に比べて非常に大きく見える中側切歯が大きな隙間を伴ってでてきます。
しかし犬歯が萌出してくるに従い隙間は閉じてきて、犬歯が完全に萌出してしまえば隙間はなくなります。
これは生理的な現象で、アンデルセン童話にちなんで「みにくいアヒルのこの時期」とよばれています。
このような時期には矯正歯科治療は必要がありません。
しかし、余分な歯(過剰歯)が埋まっている可能性も残っておりますので
レントゲン診断で確認は必要であると思われます。

下顎の前歯に目を移しますと乳前歯の裏側に前歯が生えてきているのが見えます。
下顎の前歯は以後、上方に萌出してくるのではなく、前上方に乳前歯の裏側を押しながら萌出してきます。
これも生理的な正常な乳歯から永久歯への交換現象の一つです。
「エスカレーター萌出」とよばれることもございます。
年齢、顎の成長、生理的な交換現象、過剰歯の有無、歯ぐきや粘膜の異常の有無などを考慮して
診断を行い患者様、保護者の方にご報告することが大切であると心がけております。

次回は小児の前歯の隙間について(その1)・
上唇小帯付着異常についてお知らせする予定です。
歯科・矯正歯科 久野歯科医院 院長
常滑市の歯科、矯正歯科の久野歯科医院です。
当院には常滑・知多を中心に、近隣の半田市や東海市からも
矯正歯科治療に多くの患者様がご来院をいただいております。
矯正歯科に関する「無料メール相談」も行っておりますため、 お気軽にお問い合わせ下さい。
S様の本格矯正を開始して1年1ヶ月が経過しました。今回は今までの治療経過をまとめて報告いたします。

平成27年4月13日 本格矯正開始

平成27年6月15日 レべリングの開始。
0.14インチラウンドニッケルチタンワイヤー装着。ワイヤーが変形し波を打っている状態です。

平成27年9月1日 0.14インチラウンドニッケルチタンワイヤー装着後、
上顎左右の脇の前歯がジャンプして反対咬合が改善されました。

平成27年11月24日 0.16×0.16レクタンニッケルチタンワイヤー装着、
犬歯関係1級、臼歯関係1級がほぼ確立されてきています。

平成28年4月11日 現在 前歯の接触状態の改善中です。
今後はより細やかに治療をすすめて行く予定です。
次回はKA様、S様の症例報告はお休みして小児(こども)の
正常な乳歯から永久歯への交換についてお知らせする予定です。
歯科・矯正歯科 久野歯科医院 院長
常滑市の矯正歯科 久野歯科医院です。
常滑市在住のKA様の治療報告No8
「アンテリアリトラクション(前歯の後方への移動)の開始」
まとめ上げた前歯を側方歯を抵抗源(アンカー)にして
後方へ移動させるステップ(アンテリアリトラクション)に移ります。
側切歯と犬歯のスペースを閉じるため0.16×0.16の角線ステンレススチールワイヤーに
ループを屈曲し装着します。
ワイヤーの後端を引っ張ることによりループが活性化(変形)し
ループが元に戻ろうとする弾性を利用して、前歯をまとめて、後方に移動させます(エンマスムーブメント)。

下顎はすでに、ほぼスペースクローズしています。
ワイヤーのひずみもほぼ解消しています。
細かい歯と歯の間のスペースをパワーチェーンでスペースクローズしています。
前歯の咬みあわせがやや深いです。
次回は常滑市在住のS様(非抜歯症例)の
治療経過の現在までのまとめをお知らせする予定です。
歯科・矯正歯科 久野歯科医院 院長
「前歯部の治療、前歯部空隙の閉鎖の完了」
上顎前歯はほとんど、空隙は閉鎖されました。
前歯のかみ合わせは改善の余地があります。咬みあわせが深いのが観察されます。
上下顎の正中は現在一致しておりません。
下顎には前歯部にスペースが残っており、ワイヤーのひずみがみられます。
改善の余地があります。

下顎については次の治療ステップで
スペースクローズと上顎の中切歯と正中を合わせるように計画します。
次回は常滑市在住のKA様(抜歯症例)「アンテリアリトラクション(前歯の後方への移動)の開始」の
治療報告をお知らせする予定です。
歯科・矯正歯科 久野歯科医院 院長
上顎は0.16×0.16レクタン、ニッケルチタンワイヤー
(ナイチノールスーパーエラスティック オルソフォームU)から
0.16×0.22レクタン、ニッケルチタンワイヤー(ナイチノールクラッシック オルソフォームU)に
ワイヤーチェンジしました。
やや太い角線に一旦サイズアップすることで、ブラケットに付与してある情報がしっかりと歯に伝わり、
傾きや捻りの程度など歯の3次元での移動が可能となります。
下顎は0.16×0.16レクタン、ステンレススチールワイヤーのままです。

上下のワイヤーがフラットになってきています。
右側の前後的な湾曲(スピーカーブ)は改善されてきました。
臼歯関係(モラーリレーション)犬歯関係(キャナインリレーション)はともにほぼ1級です。
上下顎の前歯の接触関係(アンテリアルカップリング)の改善のために顎間ゴムを使用しています。
次回は常滑市在住KA様(抜歯症例)の治療報告(前歯の治療、前歯空隙閉鎖開始)をお知らせする予定です。
歯科・矯正歯科 久野歯科医院 院長
犬歯の後方への移動はほぼ終了し、
適正な臼歯関係(犬歯の1級関係、臼歯の1級関係)もほぼ確立しています。
前歯の矯正歯科治療に移ります。
上顎は0.16×0.16インチの断面の□のレクタンステンレススチールのワイヤーに
軽く湾曲(カーブ)をつけたものが装着してあります。 下顎は0.16ラウンドのままです。
前歯ブラケットには3次元的な適正な歯の傾き、捻りなどの情報が入っており
角線を装着することで情報が実現することとなります。

深かった前歯のかみ合わせも徐々に浅く、改善されてきています。
キャナイリトラクションが終了し以後、歯の後戻り移動を防止するためと
次のステップへの準備のために犬歯、第二小臼歯、第一大臼歯が連続結さつしてあります。
次回は常滑市在住のS様(非抜歯症例)の治療経過の報告をお知らせする予定です。
歯科・矯正歯科 久野歯科医院 院長
常滑・知多の矯正歯科 久野歯科医院です。
今回は、臨床スポーツ歯科医講習会に参加しました。
講習会の内容は体の強く接触するラグビー、サッカー、
アイスホッケー、バスケット、ボクシングなどの
スポーツを行う時に使用するカスタムメイドのマウスガードに
ついての講義・実習と講演、心肺蘇生の研修でした。
当院では以前よりラグビーをしている高校生のマウスガードを
製作しておりましたが、いま一度基礎から研修をして、
最新の情報とカスタムメイドマウスガードをはじめとする
オーラルアプライアンス製作について勉強してきました。
午前の部では最初にマウスガードの現在の使用状況やマウスガードを使用していないときと
使用しているときの口腔外傷の頻度、睡眠時無呼吸症候群に対応する
スリープスプリントの製作法などの丁寧なお話があり、その後マウスガードの製作実習に移りました。
当院ではマウスガード以外にもインプラント手術時のサージカルステント、矯正治療のアライナー、
デンタルドラッグデリバリーシステム(3DS)、ホワイトニング時のマウストレーなどを
製作しておりますので、機械の操作、マウスガードの材料となるシートの取り扱いなどは
余裕を持って講義、実習を受けることができました。
実習で製作したマウスガードは当院で製作しているものより口蓋部と後方が短く設定され
異物感への配慮がされていたことがわかりました。またマウスガードを装着した際の
咬合調整の重要性に関しても再確認ができました。
次回よりカスタムマウスガードを製作の際には取り入れたいと思います。
午後の部では東京歯科大学の先生の講演があり、
ボクシング、ラグビー、サッカー、バスケット、柔道などの
強い体の接触、衝突時の動画が紹介され、各種・数々の実験からの
データに裏づけられたマウスガードの効果と影響についてのお話でした。
「最初に衝撃を受けるのは前方に出ている上顎骨、上顎前歯であり、
その部位をマウスガードは保護してけがを予防する。」
「歯科医師のつくる、かみ合わせの調整の十分されたフィットした
カスタムマウスガードは歯の破切・脱臼・脱出や歯槽骨・顎骨骨折を
防止できる。」
「カスタムマウスガードを装着することにより脳震盪の軽減、防止の可能性があり、
頚部(首)のけがの減少の可能性」についてお話がありました。
効果的なカスタムマウスガードの作り方も教示いただきました。
保護したい部分の外側(前歯唇側部)に空間をつくり、2種類の違う樹脂をはりあわせて作るというものでした。
午前に実習したものに比べ複雑ですが時間の余裕のあるときに一度、試作してみようと思います。
右の写真は当院で作成したカスタムマウスガードです。
色は五郎丸ブルーが人気だそうです。
講演の内容はさらに発展してスポーツクレンチングの効果や、
咬みあわせと体のバランスとの関係から入れ歯の装着により
転倒が防止できること、良く咬む人はぼけにくいなどについても
お話していただきました。
一旦、休憩をはさみ、
今度はハンズオンリー心肺蘇生法の研修にも参加しました。
講師は愛知ハンズオンリー心肺蘇生法普及会の皆さんで、
ハンズオンリー心肺蘇生法の説明を受け胸骨圧迫、
AED使用の実習をおこないました。
私は以前に心肺蘇生法の講習を受けていたのですがその時は、
人工呼吸(マウスツーマウス)付でした。
しかし人工呼吸を行う有益性より直ちに胸骨圧迫
(一分間に100回、胸郭が5センチしずむように)を行い、
AEDを使用しそれを繰り返し継続しながら救急車を待ったほうが
脳への酸素の供給によく、救命率があがるという報告をもとに、
最近ではハンズオンリー心肺蘇生を推奨しているようです。
倒れている人に声掛けを行い、大声で人を集め119番通報(call)を依頼してAEDの準備を依頼するその間、
胸骨圧迫(push,push,push)を繰り返すことがとても大切です。
救急車が来るまでの時間の約6分間、現場にいる人たちと交替で胸骨圧迫を行います。
胸骨圧迫は1分でも実際に訓練するとずいぶんと体力が必要です。私は常日頃の運動不足と不摂生で
筋力の低下があきらかで少し息が弾み、汗をかいてしまいました。
一人の命を救うためにはたくさんの人の協力と体力が必要なことを、あらためて痛感いたしました。
次回は常滑市在住のKA様(抜歯症例)の
治療経過(キャナインリトラクションの完了)の報告を予定しています。
歯科・矯正歯科 久野歯科医院 院長
常滑・知多の矯正歯科 久野歯科医院です。
今回は、歯周疾患の治療と並行して矯正歯科治療を行った患者様の治療報告です。
患者様は67歳の女性、歯ぐきからの出血と上の前歯が最近開いてきて
だんだんその程度が大きくなってきたとのこと。
下の前歯は揺れがはげしく応急処置に歯科用の強力な接着剤で犬歯から犬歯までとめて固定しました。
歯周病の基本検査の結果、中等度から重度の歯周病と診断し歯周病の治療を先行して行いました。
下の写真は初診時の下顎前歯の写真と上下顎正面のものです。
歯の根の部分に歯垢、歯石が大量に付いていて歯ぐきはとても赤く腫れているのがわかります。
上の前歯の周りにも歯垢、歯石が付いていて歯と歯ぐきの境目が帯状に赤くはれています。
ブラッシング指導に続いてプラークコントロール、歯石の除去、歯の根の部分を滑らかに していきます。
![]() |
|
|
歯周病の基本治療に反応し炎症に消退傾向が現れてきたので、 |
||
![]() |
|
|
年齢、ブラッシングの方法・効果などを考慮して取り外しができて |
||
![]() |
|
|
歯周病の炎症症状はコントロールできて、装置も指示通り装着していただき、 |
||
![]() |
|
|
上顎の歯の隙間は閉鎖できました。 |
||
![]() |
|
|
| 口腔内環境を整え、ブラッシングをしやすくするためには 下の前歯の叢生を矯正歯科治療したいところですが、 患者様に治療方法、治療装置、治療期間、治療費などを相談しました。 結果、現在の状態を維持するため、ご自宅でのセルフケアとともに歯科医院で プロフェショナルケアをすることといたしました。 |
||
![]() |
|
|
| 上の写真は初診、写真撮影より17年経過した現在の口腔内です。 歯肉には血圧の薬(Ca拮抗剤)の副作用も多少あるものの、一本の歯を失うことなく 現在まで定期健診とメインテナンスで維持できています。 患者様は現在84歳、8020表彰を受けておられます。 |
||
次回は臨床スポーツ歯科医講習会の参加報告を予定しています。
歯科・矯正歯科 久野歯科医院 院長
常滑・知多の矯正歯科 久野歯科医院です。
今回は、歯周病と歯の隙間の関係についてご紹介いたします。
特に成人の患者様が矯正歯科治療を希望される場合には
矯正歯科治療を開始する前に歯周病の改善を十分に行う必要がございます。
![]() |
左は初診時の口腔内写真です。 歯周病の基本検査を行った結果、歯間乳頭部歯肉の |
|
![]() |
左は基本治療途中の写真です。 歯周病の治療効果はこの時点で十分ではありませんが |
|
歯周病の治療を行うと、歯周組織が活性化され歯肉がしまり、歯が移動して歯の隙間が閉じることがあります。
そのような場合、矯正歯科治療を行う必要はございません。
少なくとも歯周病の基本治療をおこない、歯肉の出血・腫れを消退させて、
炎症を抑えてから矯正歯科治療を行っていくことが肝要であると思われます。
次回は歯周疾患の治療と並行して矯正歯科治療(部分・限局)を行った患者様の治療報告を予定しています。
歯科・矯正歯科 久野歯科医院 院長
常滑・知多の矯正歯科 久野歯科医院です。
部分矯正は症例により大掛かりな装置が必要な場合があったり、
簡単な装置で主訴が改善する場合があったりと多様です。
小児の場合は、成長発育の途中であり少なくとも永久歯列が完成するまでは、定期的な観察が必要です。
将来の顎の大きさと歯のサイズのアンバランスの不安をすこしでも解消するために
顎を拡大するスクリューを装置に組み込むこともあります。
今回は乳歯がむし歯になり、そのまま放置したため永久歯との交換がうまくいかずに
反対咬合になってしまった患者様の治療報告をいたします。
![]() |
前歯の乳歯がむし歯のまま放置され、 |
|
![]() |
その結果、左側の中切歯のみが反対咬合となってしまいました。 このまま放置していても改善はされません。 定期健診、定期観察に参加していただいておれば、 乳歯の抜歯を行い、反対咬合にはなっていなかったのではないかと 思われます。 下の前歯の歯ぐきが(点線部位)下がって来ています (咬合性外傷のよる歯肉の退縮) |
|
![]() |
下顎の型取りを行い、とても簡単な装置(切歯斜面板)を 12時間(夜間と日中3〜4時間)使用していただきました。 |
|
![]() |
装着から4週間後の写真です。 取り外しがきくので、患者様の協力が必要です。 反対咬合は改善され、正常咬合に近い形になりました。 今後、かむ力によりより正しい位置に誘導されていくと思われます。 |
|
定期健診の必要性が矯正歯科治療を通してご理解いただけたでしょうか。
次回は歯周病と歯の隙間についてお知らせする予定です。
歯科・矯正歯科 久野歯科医院 院長
常滑・知多の矯正歯科 久野歯科医院です。
高品質の合成樹脂製のF.Mリングレット(パワーチェーン)を犬歯と第一大臼歯に伸ばして装着します。
パワーチェーンが本来の形に戻る力を利用して犬歯を後方に移動させます。
表側からだけではなく、力の増強と移動方向を考慮して裏側(舌側)からも
リンガルボタンという装置で第一大臼歯の裏側から牽引します。

左側面の写真では側切歯も犬歯を移動させている影響で移動をはじめています。
下顎の右中切歯はワイヤーと結さつし、歯列弓にとりこみました。
定期的にパワーチェーンを交換しながらキャナインリトラクションを継続します。
次回は小児の部分矯正の治療報告をとおして、定期健診の大切さをお知らせします。
歯科・矯正歯科 久野歯科医院 院長
常滑・知多の矯正歯科 久野歯科医院です。
上顎は0.14ラウンド、ニッケルチタンワイヤー
(ナイチノールスーパーエラスティック オルソフォームU)から
0.16×0.16レクタン、ニッケルチタンワイヤー
(ナイチノールスーパーエラスティック オルソフォームU)にワイヤーチェンジしました。
角線に変えることで、ブラケットに付与してある情報が歯に伝わり、歯の3次元での移動が可能となります。
下顎は0.16×0.16レクタン、ニッケルチタンワイヤー
(ナイチノールスーパーエラスティック オルソフォームU)から
0.16×0.16レクタン、ステンレススチールワイヤーにワイヤーチェンジしてステップアップしました。

この状態で治療を続けます。
また先日、私の所属する名古屋顎矯正研究会に参加しました。研究会は2〜3ヶ月に1度開催されます。
会員は矯正専門医、小児歯科認定医、補綴科認定医、一般開業医など様々ですが、
歯科矯正治療について多角的な意見が交わされます。
内容は講師によるレクチャー、会員によるケースプレゼンテーション、
セファロトレースバイオプログレッシブによる診断トレーニングなどです。
レクチャーの内容も多岐に渡り、M.F.T(筋機能訓練)からオペケース、最近のテクニカルトレンド、
マテリアルなど最新の情報や矯正治療技術の現在までの変革など、多様なものになっています。
会員によるケースプレゼンテーションは会員の一人が短い時間で発表し、
講師とほかの会員が、それにコメントすることになります。
難しいケースはさしずめクリニカルカンファレンスのように意見が交わされ、
そこで方向性が定まることもあります。


今回のレクチャーは「成人矯正歯科治療の落とし穴」「ツースポジショナーの効用について」でした。
今回、私のケースプレゼンテーションはありませんでした。現在アンユージャルなケースを治療中です。
機会がありましたらケースプレゼンテーションで発表し、スタッフブログで報告したいと思います。
その後は講師を囲んでの反省会となります。場所はほぼ、居酒屋か焼き鳥屋です。
しかし矯正歯科治療の話は一切なし。それを反省会と言ってよいものか?
オン=オフのはっきりした研究会です。

次回は常滑市在住のKA様(抜歯症例)の「キャナイリトラクション治療中」を報告する予定です。
歯科・矯正歯科 久野歯科医院 院長
常滑・知多の矯正歯科 久野歯科医院です。
第一小臼歯を抜歯したスペースを利用して
犬歯を後方に移動するステージ(キャナイリトラクション)に移ります。
高品質の樹脂製ゴムのパワーチェーン(FMリングレット、ロッキーマウンテンモリタ)を使用して
上顎第1大臼歯、第2小臼歯を固定源にして犬歯を後方に牽引します。
下顎も前歯の叢生を改善しながら犬歯の後方移動を開始します。
ワイヤーサイズは0.16インチラウンドで材質はステンレススチールに変わっています。
犬歯の移動が円滑に行われるように0.16ラウンドワイヤーにサイズアップします。
裏側からも犬歯が後方に移動できるように上下の犬歯の裏側(舌側)に
ボタン状の装置(リンガルボタン)が追加してあります。

犬歯を単に後方に移動するのではなく、上下の犬歯の一級関係を確立し、
咬合関係を壊さないように、上下の第一大臼歯の一級関係を確立し、
1歯対2歯の臼歯関係でしっかり、咬むように注意して治療をすすめる必要がございます。
キャナイリトラクションのステージは時間をかけて慎重に歯の移動を行ないます。
次回はS様(非抜歯症例)の治療経過の報告の予定です
歯科・矯正歯科 久野歯科医院 院長
常滑・知多の矯正歯科 久野歯科医院です。 「常滑市在住のS様 No7」のご紹介です。
上顎に0.14インチニッケルチタンのラウンドワイヤーで治療を継続し、
下顎は断面の4角の0.16×0.16インチのニッケルチタンワイヤーにワイヤーチェンジしました。
上顎のワイヤーは前回の報告時に比べて直線になってきています。

このまま治療を続けます。
下顎はステンレススチールの0.16×0.16角線にワイヤーチェンジ、
上顎はニッケルチタンの0.16×0.16の角線にワイヤーチェンジし、ステップアップを計画します。
角線に変えることで、ブラケットに付与してある情報が歯に伝わり、歯の3次元での移動が可能となります。
次回はKA様(抜歯症例)の治療経過の報告(犬歯の後方への移動)を予定しています。
歯科・矯正歯科 久野歯科医院 院長
矯正治療において経過観察をするときは今後起こるであろう
成長発育の変化を充分考慮することが大切になります。
成長発育の変化を記録することも必要です。
下に一例を示します。
![]() |
右上に余分な歯(正中過剰歯、赤丸点線部位)があり 永久歯の生えてくるのを邪魔しています。 |
|
![]() |
邪魔していた歯を抜いて本来の前歯が生えてきました。 しかし隙間がとても広いのが観察されます。 正常な永久歯への生え変わりを妨げる原因は見当たらないため 全部前歯が生え変わるまで経過観察に入ります。 |
|
![]() |
予想どおり前歯が生え変わっていくにしたがって 隙間が狭くなってきました。 |
|
![]() |
ほとんど気にならなくなりました。 犬歯が生えてくると完全に隙間はなくなると予想されます。 経過観察はただ放置しているのではなく今後の変化を予想し、 予想外の変化にも柔軟に対応できるように準備しておくことが 重要だと考えます。 |
次回はS様(非抜歯症例)の治療経過を報告する予定です。
歯科・矯正歯科 久野歯科医院 院長
常滑・知多の矯正歯科 久野歯科医院です。
上下顎第一小臼歯抜歯後、最初のワイヤーの装着です。
抜歯したあとは非常に予後が良好です。 すぐに粘膜の治癒がはじまり、ほとんど傷あとはありません。
0.14ラウンドニッケルチタンワイヤーを上下装着し、レべリングを開始しました。
下顎の右側中切歯はまだワイヤーと結さつしておりません。
抜歯をしたことで歯が移動する余裕ができると、
自然と歯の移動がおこり、ワイヤーに取り込みやすくなっていきます。

最初から無理に取り込むのではなくパワーチェーン等の高品質ゴムで少しずつ移動させます。
次回は当院の経過観察の考え方を症例を交えて、解説する予定です。
歯科・矯正歯科 久野歯科医院 院長
常滑・知多の矯正歯科 久野歯科医院です。
上下顎前歯にプラスチック製のクリアブラケットを接着
第二小臼歯部にメタルブラケットを接着
第一大臼歯にはバンドを作成後チューブが溶接してあります。
特に上顎の第一大臼歯は前方へ移動することを防ぎ、
歯の移動時の固定源・抵抗源(アンカー)となるために、
ナンスのホールディングアーチという装置を装着しています。
ブラケット周辺の掃除の仕方を指導し、予防処置を行い、
フッ化物を応用してすべての準備を整えた後抜歯を行います。
抜歯部位を確認しやすくするためにも、ブラケット接着後抜歯を行います。

歯科・矯正歯科 久野歯科医院 院長
常滑・知多の矯正歯科 久野歯科医院です。
矯正歯科治療で大切なことのひとつに前歯、臼歯をしっかりとかみ合わせて安定させることがあります。
咬みあわせを改善することで不正咬合がもたらす各種の生理的、心理的障害を除去したり、
解消することができるのです。
具体的には「各々の歯の山の形の部位が谷の形の部位にかみ合う」「歯車がかみ合う」などと表現され、
1歯対2歯で咬んでいる状態を確立することです。
1歯対2歯で臼歯がかんでいる状態をアングルの分類から
1級の臼歯関係(クラス1のモラーリレイション)と呼ぶことが多くあります。
同様に犬歯の上下関係についても上顎の犬歯が下顎の第一小臼歯と犬歯に対向している状態を
1級の犬歯関係と呼ぶことが多くあります。
小臼歯抜歯症例、非抜歯症例ともに1歯対2歯の1級関係になるように治療します。
ただし、症例により上顎前突等の場合には上の第一小臼歯のみを抜歯して
かみ合わせの状態を「2級仕上がり」で治療する事がありますが、
その場合でも1歯対2歯の臼歯関係の確立に変わりはなく、犬歯は1級になります。
![]() |
![]() |
|
| 非抜歯症例の臼歯関係と犬歯の位置 | 小臼歯抜歯症例の臼歯関係と犬歯の位置 |
![]() |
| 上顎第一小臼歯抜歯症例の「2級仕上がり」の臼歯関係と犬歯の位置 |
![]() |
![]() |
![]() |
| 1歯対1歯のかみ合わせです 犬歯2級、第1大臼歯2級の状態です |
矯正治療後 1歯対2歯のかみ合わせです 犬歯1級、第1大臼歯1級の状態です |
アングルの分類とは
第T級(Class T)
上下歯列弓が正常な近遠心的関係にあるもの
第U級(Class U)
下顎歯列弓が上顎歯列弓に対し正常より遠心に咬合するもの
第V級(Class V)
下顎歯列弓が上顎歯列弓に対して正常より近心に咬合するもの
(医歯薬出版 歯科矯正学より)
次回はKAさまの治療報告を予定しています。
歯科・矯正歯科 久野歯科医院 院長
常滑・知多の矯正歯科 久野歯科医院です。
常滑市在住のKA様の治療報告です。
現在ブログで報告いたしておりますS様は非抜歯(歯を抜かないで治療する)症例ですが
今回よりKA様のお母様にご了解をいただきましたので
抜歯(歯を抜いて治療する)症例のKA様の治療報告も開始させていただきます。
KA様は口元の緊張感と上顎の前突感、下顎の叢生が主訴で来院されました。
S様と同様に各ステップで報告していきます。
口元に強い緊張がみられ上下顎前突(バイマックス)の状態です。
臼歯関係は左はアングル一級、右はアングル二級です。上顎には大きな歯列の乱れはありません。
下顎の前歯に叢生が診られます。正面観は一見、良さそうですが正中がずれています。

上顎は左右の第一小臼歯を抜歯して獲得したスペースを利用して前歯群を後方に移動させます。
下顎は左右の第一小臼歯を抜歯して獲得したスペースを利用して前歯の叢生を治療しながら
前歯群を後方に移動させます。
ただ移動させるのではなく、上下顎の臼歯関係(犬歯の1級と第一大臼歯の1級)を
確立しながら治療を進めることがとても重要です。
次回は今後の症例の報告をより理解していただくために、
「犬歯の位置と臼歯関係について」解説する予定です。
歯科・矯正歯科 久野歯科医院 院長
常滑・知多の矯正歯科 久野歯科医院です。 「常滑市在住のS様 No6」のご紹介です。
上下顎共に0.14インチ、ラウンドのニッケルチタンワイヤー
(3Mユニテック、ナイチノールSuper elastic)を装着して治療を継続中です。
矯正歯科治療を開始しておよそ2ヵ月が経過しました。
前歯にはプラスチックブラケット(サンキン、クリアブラケットDrロスのセットアップ)
小臼歯にはメタルブラケット(トミー、マイクロアーチ)
大臼歯にはコンバーチブルタイプフック付きのダブルチューブ(トミー)が
接着(ボンディング)してあります。
上顎の左右側切歯は治療前に比べ、ずいぶん前方に移動してきているのがわかります。
今回は左右側切歯のブラケットを一旦はずし、現時点で接着できる適正な位置に接着(リボンド)しなおします。
今までと同様にワイヤーをしっかりブラケットスロットにいれ、しっかりと結さつします。
歯の痛みについては、治療の度に違和感を感じますが最初に比べ、軽度ですぐになくなります。
上顎は、もうしばらくこのワイヤーで矯正治療を続けます。
下顎の叢生はほとんど解消されています。
下顎は今後ワイヤーのサイズアップを予定します。

次回は抜歯症例の患者さまの治療報告を開始する予定です。
歯科・矯正歯科 久野歯科医院 院長
久野歯科医院は祖父、久野儀三が知多郡大野町下砂子(現在地より200m北の常滑市大野町9丁目)にて
大正元年以前に歯科医院を開業して以来、100余年。
父、久野 明が当地(常滑市西之口1丁目)に移転して40年がたちました。
このように長く歯科医業を営むことができたのも皆様の歯科に対する深いご理解があってのことと思っています。

祖父は東京歯科医専(現在の東京歯科大学)に席を置き、
若くして歯科医院を開業し患者さまの歯科治療をしながら、
「書生さん」の面倒をみて歯科医の養成もしていたようです。(右の写真)
父母に聞きましたところ当時の書生さんの孫の方が半田、四日市、高山
遠くでは千葉の市川で歯科医院を営んでおられるようです。
上の写真の忘備録の表紙には大正4年1月とあり、内容は大正3年の収支の記載と
当時の患者様の住所が控えてあるようです。南のほうは小鈴谷、北のほうは岡田、
古見、横須賀とずいぶん遠方より来院の記録が残っています。
父も同じく東京歯科医専を卒業し、当時ではめずらしい矯正治療の講習会に
足繁く東京に通ったようです。当時の口腔外科教授には愛知県出身の
先生が多く、懇意にしていたようです。
終戦後社会保障制度が整備され、国民皆保険となり高度成長時代に入り
歯科医師不足と国民のむし歯の治療で一時期とても忙しくしていたのを
私はかすかにおぼえています。(左の写真中央)
そして現在、歯科医師過剰時代となり各々の地域に歯科医院が開院し
遠方からの患者様は少なくなってまいりましたが、父が診療している時から、
今でもそのゆかりの方が度々来院し、ホームデンティストとしての役割と責任を痛感しております。
昨年(2014年11月)スタッフの交代を期にすべての滅菌・消毒を見直し、
お口の中で使う高速切削器の専用消毒機材を追加しました。
高速切削器の数も患者様ひとり、ひとりに使用できるように増やしました。
今年(2015年6月)には患者様に快適に健診・治療を
受けていただくために診療ユニットを新しく入れ替えました。
2015年7月より、患者様をなるべく、お待たせしないよう
予約に工夫をいたしました。
常滑市の久野歯科医院は歴史は古くとも常に医院の環境改善に努め、
日々研鑽を怠らず最新の知識の吸収に努め、新しい技術を習得し、
新しい器械の導入を今までと同様に遂行していく所存です。
当院は
・若年者、小児に対してむし歯の予防と歯ならび・かみあわせの育成と治療。
・成人に対して歯周病の予防と歯周内科を中心とした治療、歯ならびとかみあわせの改善と治療。
・高齢者に対して入れ歯とオーラルリハビリテーション。
に重きをおいて診療しております。
常滑市の久野歯科医院はこれからもずっと、かわらず、この地、常滑市北部、知多市南部で
地域密着のホームデンティストであり続けたいと思っております。
次回は常滑市在住のS様の治療経過の報告の予定です。
歯科・矯正歯科 久野歯科医院 院長
常滑・知多の矯正歯科 久野歯科医院です。
常滑市在住のS様
上顎の0.14インチ、ラウンドニッケルチタンワイヤーを装着して4週間、
下顎の0.14インチ、ラウンドニッケルチタンワイヤーを装着して2週間経過しました。
ワイヤーを装着したための痛みもなくなり現在の口腔環境にも慣れてこられた様子です。
しばらくこのワイヤーで治療をつづけます。
ブラケットポジションに不備はないか。
ブラケットスロット(装置の溝)にワイヤーは確実に装着できているか。
ブラケットにワイヤーはしっかり保持されているか。
ブラケットの脱離はないか。
新しくムシ歯ができていないか、歯肉炎の程度はどうか。
などをチェックし、不備があれば改善しながら治療をすすめます。

次回はS様の治療報告はおやすみです。「久野歯科医院のあゆみとこれから」をお知らせします。
歯科・矯正歯科 久野歯科医院スタッフ
常滑・知多の矯正歯科 久野歯科医院です。
常滑市在住のS様
今回、下顎に矯正歯科治療用のイニシャルワイヤーを装着しました。
前回、上顎に装着したものと同じで「断面が丸い0.14インチのニッケルチタンワイヤー」を使用しています。
下顎は上顎に比べて、叢生の量が少ないのでワイヤーの変形が少なくなります。
ワイヤーを装着すると歯が少し、浮いたような痛みを感じます。
また、痛みや不快症状の程度は、人それぞれで個人差があります。
ワイヤー装着日はあまり痛みを感じません。
歯に何か触ったり、咬んだりすると歯が浮いたような持続的な鈍い痛みがでてきます。
ワイヤー装着後2日目から始まり、3日目にピークを迎えることが多いようです。
2日〜4日ぐらいは軟らかいもので食事を摂っていただいたほうがよいかもしれません。
その後1週間ほどでほとんど気にならなくなります。
矯正歯科治療用 ワイヤーが装着されると食物が装置に付着しやすく
なりますので食後にしっかりとブラッシングをする必要があります。
久野歯科医院ではブラッシング指導のときに
ワンタフトブラシ(オーラルケアのプラウト)をお渡しし、
「一本、一本丁寧に歯をみがくこと」をお伝えしています。

上顎と同様にブラケットスロット(装置の溝)に矯正歯科用 ワイヤーをしっかり入れ、
細いワイヤーでしばっていきます。 次回は2週間後の報告を予定しております。
歯科・矯正歯科 久野歯科医院スタッフ
常滑市在住のS様
お兄様のR様が動的治療を終え、
現在保定中のお兄様からバトンタッチするように矯正歯科治療を開始されたS様です。
今回、上顎(うえのあご)に最初のワイヤー(イニシャルワイヤー)を装着しました。
このイニシャルワイヤーは0.14インチの断面が丸く細い、
とても柔らかい弾性のあるワイヤーを使用しております。
材質はニッケルチタンによりできており、非常に高い弾性と復元性がございます。
当院では高品質の矯正用ワイヤーを使用しています。
(3M ユニテックナイチノール Super elasticオルソフォームU)
歯の位置が不正な部位にワイヤーを装着するために、
ずいぶんワイヤーが波を打ったように曲がっています。
ワイヤーが直線に戻る力を利用して歯を移動させていきます。
動的治療の期間で一番、歯の移動がみてとれる時期です。

次回は下顎(したあご)にイニシャルワイヤーを装着する予定です。
2週間後を予定しています。
歯科・矯正歯科 久野歯科医院スタッフ
常滑市ご在住のS様
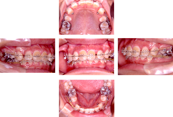
今回ブラケット(ブレース)を接着しました。
前歯部は当院の標準治療である透明なプラスチッククリアブラケットを接着。
小臼歯部は耐久性を重視してメタルブラケットを接着しております。
大臼歯部は非抜歯なので煩雑な操作を省き、チューブを接着してあります。
このブラケットには歯を正しく移動させるための情報が入っており、
ブラケットポジションが重要となってきます。
最初は正しい位置にブラケットが付けられない場合も多く、
付け直し(リボンド)をすることがあります。
写真は、ブラケット、チューブ接着後むし歯の予防処置を行いフッ化物塗布を行った写真です。

ブラケットが口唇にあたり、口内炎となることがございます。
口内炎をやわらげるための保護ワックスをお渡ししております。
次回は上顎のイニシャルワイヤーの装着です。
久野歯科医院スタッフ
常滑市の矯正歯科 久野歯科医院です。
近々、当院にて本格矯正を行う患者様がございます。
ご本人様、ご家族様のご了承をいただきましたため、
このスタッフブログのなかで矯正歯科治療の経過について、ご報告していきたいと思います。
是非ご覧下さい。
患者様は常滑市在住のS様 11才の女の子です。
主訴は八重歯、脇の前歯の反対咬合、叢生です。
準備矯正として、混合歯列期に顎の拡大を行い、
再度診断の結果、非抜歯(歯を抜かずに)治療を予定しています。
抜歯、非抜歯の最終判断は脇の前歯の反対咬合が改善してから行います。

次回は矯正装置(ブラケット、チューブ)の接着(ボンディング)です。
約2週間後にご報告予定となります。
久野歯科医院スタッフ
常滑の久野歯科医院 スタッフブログを開設しました!
今回は久野歯科医院の“診療の特徴”をご紹介いたします。
当院は常滑市にて、100年以上地域に密着した歯科医院として
診療を行っております。
「患者様にご納得いただける治療」のため、
ゆっくりと時間をかけ質を重視した診療を行っており、
患者様とのカウンセリングに重きをおいております。
カウンセリングの際、患者様のお悩みやご要望等について
お聞きした上最適な治療方法をご提案いたします。
また、当院では患者様全員の治療を院長自身が行っております。
治療の際、ご不明な点がありましたらご相談下さい。
むし歯や歯肉炎・歯周病にならないように歯磨き指導にも
力を入れており、フッ素も応用し予防を行っています。
診療科目は一般歯科、矯正歯科、審美歯科・ホワイトニング、義歯、歯周病治療、
予防歯科と様々な診療に対応しております。
特に矯正歯科治療は全顎矯正から目立たない透明な矯正装置を使用した「マウスピース矯正」、
ホワイトニング併用の矯正治療、審美矯正を行っており、小児矯正から成人矯正までお任せください。
初回矯正相談・矯正診断料も無料となっておりますため、お気軽に矯正治療についてご相談ください。
当院院長は様々な矯正歯科ライセンスを所有し、矯正歯科について
これまでに数多くの治療を行っており、知識・経験豊富なプロフェショナルです。
お子様から高齢の方まで、幅広い年代の患者様へ“確かな技術で丁寧な治療”を行ってまいりました。
矯正歯科治療は他の診療よりも長期的な治療となるからこそ、
患者様が安心して歯科医師へご相談いただける関係づくりが大切と考えます。
「信頼いただける関係づくり」を意識しながら、歯を本来あるべき形に整え、
正しい咬合(噛み合わせ)へと治療いたします。
久野歯科医院にて、これまでに矯正治療を行った治療例の一部を下記ページよりご覧いただけます。
・成人矯正症例はこちら
・小児矯正症例はこちら
子どもから大人までクオリティの高い矯正歯科治療を行っております。
今後とも宜しくお願いいたします。
久野歯科医院スタッフ