オーラルフレイルを防ぎタンパク質をしっかりとることが大切です
歯と認知症の関係について

オーラルフレイルとフレイル・サルコペニア
フレイルになると認知症のリスクが高まります

![]() |
![]() |
![]() |
当院おすすめ記事はこちら▼


常滑の矯正歯科 久野歯科医院 ≫ 院長Blog




目立たず無理せず背伸びせず 常滑の歯医者 久野歯科医院です
皆様に役立つ歯科の情報をわかりやすくお知らせします
目立たず無理せず背伸びせず 開院116年を過ぎました 常滑の歯医者 久野歯科医院です
皆様に歯科の情報をお知らせします
従来の画像診断装置を新しい機能を加えたものに交換、設置しました
・親知らずの位置が立体的(3次元的)に把握できる
・血管や神経の重なりの程度、有無を確認できる
・矯正歯科治療時の埋伏歯、過剰歯などの位置が把握できる
・萌出の妨げとなっている歯牙腫やそのほかの顎の骨の中に発生した主に良性腫瘍の確認ができる
・複雑な臼歯部の歯の根管を正確に読み取ることができる
・歯周病や歯根破折による歯槽骨の吸収範囲を詳しく診査し手術や処置の参考となる
・インプラント治療の際の下顎管との距離や上顎洞の形態の把握が正確にできる
など従来のレントゲン診査では得られにくい情報を得ることができます
また歯科で使用されるコーンビームCTは医科用のCTに比べはるかに被ばく量が少なく、撮影時間も短いです
従来のパノラマエックス(オルソパントモ)線撮影器と歯科用(デンタル)エックス線撮影器も新しいものに交換しました
今まで以上に鮮明なエックス線画像を得ることができます
患者様ご自身のお口の中を見ていただくための口腔内カメラも新しいものに交換し、各診療台にも大型のモニターを設置しました
当院は開院116年と古い歯科医院です。
しかし少しずつではありますが機材を最新のものに交換し患者様にとりましても、より良い環境となるように改善に努めています
久野歯科医院
院長 久野昌士
常滑の歯医者 久野歯科医院です
皆様に歯科の役立つ情報をわかりやすくお知らせします


歯ならびでお悩みの方へ 久野歯科医院です
了解をいただきました主に常滑在住の患者様の矯正歯科治療の報告をいたします
どのように治療がすすんでいくか、写真を提示して解説していきます
目立たず無理せず背伸びせず 常滑市で開院116年の歴史ある歯医者の久野歯科医院です
皆様に役立つ歯科、矯正歯科の情報をわかりやすくお知らせします
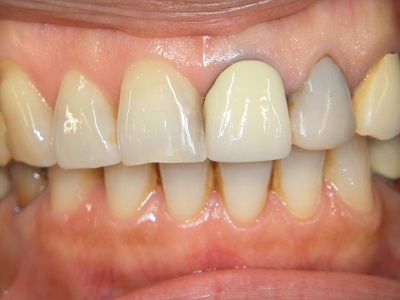
T,K様は歯周病の定期健診で当院を受診されました
今回は下口唇の口内炎について相談がありました
下顎右側の前歯が唇側に傾斜、突出しているため口内炎ができやすく困っているとのことでした
突出している歯の処置法として矯正歯科治療を望まれていました
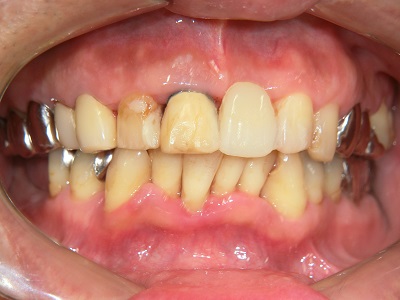
お口の中を拝見しますと下顎の右側中切歯が下口唇にあったているのが判明しました
突出している下顎右側中切歯を歯列弓に取り込むには歯を移動させるスペースがありません
口内炎の原因となっている突出している下顎右側中切歯を抜歯してわずかに残る隙間を部分矯正にてしぼり、スペースクローズを行うことにしました
突出している下顎右側中切歯は神経(歯髄)が除去されており根管治療がされておりました。そのため、歯冠部は変色しております
歯の形が方形でないためブラックトライアングル(歯と歯の間にできる隙間)ができる可能性が高く、ブラックトライアングルへの対応はダイレクトボンディングにて歯の形を整えて対応することにしました
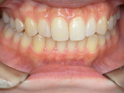
突出している下顎右側中切歯を抜歯しました
抜歯により隠れていた隙間を犬歯から犬歯にブラケットを接着し、ワイヤーにてスペースクローズを試みます
スペースクローズが完了しましたが予想通りブラックトライアングルが生じました
歯と歯の隣り合ったブラックトライアングルの部分をダイレクトボンディングにて改善します
口内炎の主な原因であった突出した前歯の抜歯を行い、スペースクローズを部分矯正で行い、ブラックトライアングルの部分をダイレクトボンディングにて改善しました
一連の治療の流れを途絶えることなく、1人の歯医者が治療することも当院の強みであると思います