

![]() |
![]() |
![]() |
当院おすすめ記事はこちら▼


常滑の矯正歯科 久野歯科医院 ≫ T4Kトレーナー・マイオブレイス
まちがった舌の位置(低位舌や舌の突出)や口呼吸のような筋機能癖は歯ならびや顎の成長・発育に大きく影響をあたえます。
口呼吸や舌を前に出して(舌の突出)飲み込む癖(異常嚥下癖)を治療しないでそのままにしておくと、顔の成長・発育や歯列の成長・発達の妨げとなります。
口呼吸とは口元のしまりがなく、口での呼吸が続いていることをいいます。
今、日本人の半数が、小学生以下では8割近くが口呼吸といわれています。
小児期(混合歯列期:6歳〜12歳)の矯正治療の主な治療対象となるのは各々の歯の治療ではなく骨格(skeletal)・機能(function)・習癖(habit)です。
また、口呼吸から鼻呼吸に改善することは当コラムでもお知らせしているように歯ならびだけでなく健康面においても大きなメリットがあります。
1:乳歯列から治療することが可能!
2:取り外し可能で、お口に優しい柔らかい素材のマウスピース型 矯正装置!
3:健康増進効果があり、美しいお顔を形成します!
1:安静時に唇が閉じている
2:鼻で呼吸をしている
3:休息時に舌は上あごについている

オーストラリアのマイオファンクショナルリサーチカンパニー(MRC)の代表であるDr.
chris Farrellのよって開発された小児用の取り外し式の矯正装置で既成の筋機能矯正装置(機能的顎矯正装置)のひとつです。
口唇や舌など口の周りの筋肉の問題を解決しながら、軽度の叢生と上下顎の位置関係を改善します。成長に有害な口呼吸を改善し鼻呼吸を促すことにより歯や顎の成長・発育を正常化させて健全な歯列に誘導していきます。
シリコンでできた装置で破折や痛みが少ない装置です。
いわば子供の「マウスピース型矯正装置」ともいえるでしょう。
治療コンセプトは「まず機能を治療し、歯の治療は最後に」というものです。
ブラケットを装着するいわゆる2期治療は行なわず、健全な永久歯列の完成をめざします。
事を目標にします。
ほかにもムーシールド、マルチファミリー、プレオルソなども同様の部類、範疇に入ります。
T4Kトレーナーは日本、シンガポールのみの販売になり治療用装置はマイオブレイスに統一されつつあります。


写真はオーティカインターナショナルT4K TRAINERカタログより
T4Kトレーナーはお口の周辺の筋肉の訓練を目的に作られています。
筋機能訓練をすることにより歯と顎の位置の改善が起こります。
① トゥースチャンネル・・前歯を整列させます
② タンタグ・・・・・・・舌を積極的に訓練します
③ タンガード・・・・・・舌を出すのを防止します
④ リップバンパー・・・・唇の筋肉の過剰な動きをおさえます
⑤ クラスT切端咬合・・・構成咬合位です (マイオブレイスでは咬合位が少し異なります)
⑥ 翼状型ベース・・・・・・正しい顎の成長を助けます。
● 顎や体の成長・発育に悪影響を与える口呼吸を改善して、筋機能を正常化させて理想的な咬合へ誘導します。
● 悪習癖(低位舌、異常嚥下癖など)を改善するので矯正治療後の後戻りが少なくなります。
● 着脱が可能です。
● 家にいる時に使用します。
● 矯正治療を担当する歯科医の支持どおり装着しないと改善しません。
● 子供まかせでは長続きせず、効果がでません。
● 材質が合成樹脂なので吸水し長期の使用で臭いが気になる場合があります。
● 不正咬合よっては適応が難しい場合があります。
十分な協力の得られる子供の患者様
口呼吸の原因が鼻疾患ではない事
乳歯列期(2〜5歳)から使用できます。
永久歯に生え変わる子供の成長段階の混合歯列期(5〜8歳)に使用するのが効果的です。
すべての第一大臼歯と前歯の萌出の完了する時期、上顎の(中切歯、側切歯)が生え変わる時期、学年であれば小学2年ぐらいから治療を開始するのが良いと思われます。
T4Kトレーナー・マイオブレイスは毎日、日中の1時間以上(できるだけ長い時間)と就寝時(眠っている時)に使用します。
学校から帰宅後、宿題、読書、テレビを見ているとき、ゲームをしているときなどに使用します。
起きているときの使用は断続的に使用してもかまいません。
T4Kトレーナー・マイオブレイスを装着し継続するには、お母様、お父様、ご家族のご理解とご協力が必ず必要です。
お子様といっしょに治療をしている心構えが大切です。
BWSとはFarrell Bent Wire Systemの略称でT4Kトレーナー・マイオブレイスと組み合わせて使用する歯列弓・アーチの前方拡大を目的とした装置です。
舌のスペースを得るためにこの治療において必須のものです。
T4Kトレーナー・マイオブレイスは混合歯列初期に舌の位置、筋機能、呼吸法を改善してアーチを拡大するのに大きな効果があります。
しかし混合歯列後期から永久歯列期初期に治療を開始した場合には歯列の拡大の効果が不十分です。
上顎の歯列弓を早く拡大する必要が出てきます。
歯列弓を拡大する装置は取り外しのできる装置(拡大床)や取り外しのできない装置などがありますが、
数多くの顎の拡大を目的とする装置は舌のスペースを狭め舌の機能を損ないます。
BWS(ベンドワイヤーシステム)は、マイオブレイスと併用ができ舌のスペースを侵害しない歯列の拡大装置です。
舌房を確保するための装置です。
BWSは一般的には混合歯列期から永久歯列期にいたるまでのアーチの拡大と筋機能の改善を同時に行います。
2週間から3週間に一度来院いただき、調整をおこないます。
T4Kトレーナー・マイオブレイスの効果については
などがあげられます。
1:相談
患者様(子供)と保護者の方と十分にお話(懇談)をさせていただきます

2:資料採取
レントゲン撮影、口腔内写真撮影、顔面写真撮影、模型採取

3:診断
T4Kトレーナー・マイオブレイスについての十分な説明をいたします
T4Kトレーナー・マイオブレイスによる治療にご理解がいただけましたら治療を開始いたします

4:治療開始
治療開始と共に機能訓練も開始します
装着後1週間で診察
トレーナーの使用状況、機能訓練の状況を報告
機能訓練は2〜3週間に1度の来院となります

5:その後約1ヶ月毎に診察
トレーナーの使用状況をうかがい、機能訓練の状況をチェックします
ブラッシング指導
予防処置
口腔内写真撮影
T4Kトレーナー・マイオブレイスを使用しての治療費用 … 220,000円
毎回の処置料 … 1,000円
常滑市久米在住 T様(11歳女子)
T様は「乳歯の生え変わるのが遅れて、上の左の前歯がなかなか生えてこないのと下の前歯が生え変わってきたのだが
永久歯がガタガタになって生えてきそうで心配だ」と言う主訴でお母様と来院されました。
お口の中の検査につづいてレントゲン撮影をおこない前歯のチェックをおこないましたが
後継の中切歯は存在しておりましたが右側の側切歯が先天的に欠如していました。
また問診により以前乳歯をつよく打って歯髄壊死を起こしており、歯髄処置をされておりました。
前歯の骨性癒着などで萌出が遅れている可能性もありました。下顎の前歯に叢生がみられます。
初診後資料採取を行ない、下の前歯の改善を期待してお母様の要望もありT4Kトレーナーを使用することになりました。
T4KとマイオブレイスのK1を使用しました。
![]() |
||||
<治療前上側> |
||||
![]() |
![]() |
![]() |
||
<治療前左> |
|
<治療前正面> |
|
<治療前右> |
![]() |
||||
<治療前下側> |
導入には最も基本的なT4Kを使用してもらいました。
なるべくおきているときにトレーナーを使用してもらい口呼吸から鼻呼吸を意識させ、「あいうべ体操」を行なうように指示しました。
治療の途中側切歯の先天性欠如のための前方への拡大と舌を安定的位置に収めるために一時的にBWSを採用しました。

初診時より11ヶ月経過のお口の中の状態です。
![]() |
||||
<治療後上側> |
||||
![]() |
![]() |
![]() |
||
<治療後左> |
|
<治療後正面> |
|
<治療後右> |
![]() |
||||
<治療後下側> |
まじめに取り組んでいる様子がうかがわれ、下顎の前歯の叢生は現時点では改善がみられます。
今後は乳歯から永久歯への交換について交換時期、交換順序などを観察や対応が必要です。
常滑市小倉町在住 K様(10歳男子)
K様は「上の前歯が出ていて、かみ合わせると下の前歯が上の前歯に隠れてしまい見えないのと
下顎の前歯が斜めになって生えてきている」と言う主訴でお母様と来院されました。
いわゆる上顎前突と過蓋咬合です。
上顎中切歯の大きさが大きくやや翼状捻転しています。下顎の前歯に叢生がみられます。
初診後資料採取を行ない、診断時に拡大床の使用をすすめましたが装着時間の問題でT4Kトレーナーを使用することになりました。
上顎前歯の前方への突出具合からマイオブレイスのK1を使用しました。
![]() |
||||
<治療前上側> |
||||
![]() |
![]() |
![]() |
||
<治療前左> |
|
<治療前正面> |
|
<治療前右> |
![]() |
||||
<治療前下側> |
上下の咬み合わせの問題を改善するためにマイオブレイスを寝る前に必ず1時間以上の使用と
機能訓練のお話を来院のたびに確認し行なっていただいております。
初診時から8ヶ月経過のお口の状態です。
![]() |
||||
<治療後上側> |
||||
![]() |
![]() |
![]() |
||
<治療後左> |
|
<治療後正面> |
|
<治療後右> |
![]() |
||||
<治療後下側> |
上下のかみ合わせは改善しつつあります。上顎の前歯に隠れていた下顎の前歯も見えてきました。
診断時の犬歯から犬歯の歯列弓の幅が不十分です。
下顎の叢生は乳犬歯と第2乳臼歯が抜けたことによりやや改善傾向にあります。
今後、永久歯の交換について注意深い観察とマイオブレイスのさらなる使用が必要です。
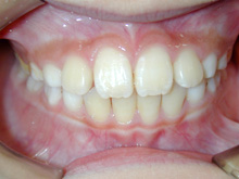
常滑市あすか台在住 S様(10歳男子)
S様は「上の前歯が出ていて、かみ合わせると下の前歯が上の前歯に隠れてしまい見えない」と言う主訴でお母様と来院されました。
お父様の歯並びの状態によく似ているそうです。いわゆる上顎前突と過蓋咬合です。
上顎の混合歯列には十分な余裕があり、前歯にはややスペースが残っており乱れはありません。
下顎の混合歯列にも乱れはなくならんでいます。
![]() |
||||
<治療前上側> |
||||
![]() |
![]() |
![]() |
||
<治療前左> |
|
<治療前正面> |
|
<治療前右> |
![]() |
||||
<治療前下側> |
上下の咬み合わせの問題を改善するためにT4Kトレーナーを使用すると同時に機能訓練を行ないました。
S様はしっかりとT4Kトレーナーを使用していただきました。
機能訓練はすぐに効果があらわれるものではありませんが、当院の指示をよく守っていただいております。
初診時から8ヶ月経過のお口の状態です。
![]() |
||||
<治療後上側> |
||||
![]() |
![]() |
![]() |
||
<治療後左> |
|
<治療後正面> |
|
<治療後右> |
![]() |
||||
<治療後下側> |
上下の前歯の咬みあわせが正しい位置に改善されつつあります。正中のズレもありません。
しかしまだ臼歯部には乳歯がありますので、今後の乳歯の交換順序や交換時期などを考慮に入れて
T4Kトレーナーの使用と機能訓練を継続します。
歯並びや咬みあわせが乱れてくるのは遺伝だけではなく子供の頃の生活習慣や悪い癖(悪習癖、態癖)が大きな影響を与えています。
舌を出す癖(舌突出癖)、やめられない指しゃぶりが開咬や上顎前突を招きます。
アレルギー性鼻炎などのよる鼻疾患が口呼吸を招き、口呼吸の習慣が口の筋肉の緩みにつながる可能性もあります。
口腔筋機能療法は後天的な筋肉の不調和や舌、口唇、頬などのお口の周りの筋肉のトレーニングを通して整えていく療法です。
咀嚼時、嚥下時、発音時、安静時の舌の位置や唇の位置の改善、呼吸などの口腔機能の改善効果を期待するものです。
などを行ないます。
具体的には
などです。
舌先が前歯の裏側のプくっと舌ふくらみの部分(スポットといいます)のあることを確認し口を閉じて、鼻呼吸を意識します。
軽く上下の歯をあわせて、こめかみの下で耳のやや前方の部分(咬筋)に指を添えて、飲み込む瞬間の筋肉の収縮を指にふれて確認します。
スポットに舌先を置き、舌全体を口蓋に押し付ける。
お口をあいた状態から舌先をスポットに強く触れる動作を10回をTセットで1日3回ほど行なう。
口腔筋機能療法には多くのトレーニング法があります。
子供のうちにしっかりと悪習癖を取り除かないと成人してからは悪習癖を取り除くのがいっそう難しくなり、悪習癖を取り除かないと後戻りの大きな原因となってしまいます。
歯並びや咬みあわせが悪くなるのには4つの要因が考えられます。
1つ目・・乳歯をむし歯や外傷などで早く失い、永久歯の生える場所がなくなるため。
またむし歯の歯髄処置や外傷の刺激で乳歯がなかなか抜けずに永久氏との交換が円滑にすすまない。などの原因があります。
2つ目・・歯と顎の大きさのバランスが悪く永久歯の生えて来る場所がないため。
歯の大きさや顎の大きさは遺伝によることもありますがよく咬まない、硬いものを食べないことにより、十分に顎が発達しない場合もあります。
3つ目・・上顎前突(出っ歯)や反対咬合(受け口)の中には純粋に遺伝的な要因のこともあります。
お父様やお母様が受け口ならば、お子様もそうなる可能性が高いので注意が必要です。
しかし小さな子供は特に奥歯の生えて来ていない頃は顎江お前に出す癖のある場合もあります。
また舌を上に上げるのが苦手なことが受け口と関係する場合もあります。
当院のコラムや院長ブログで幾度となくお伝えしているように口呼吸は子供の健康に悪影響を与えます。
もちろん大人の口呼吸もただすべきだと考えています。口呼吸は虫歯や歯周病になりやすく口臭の原因にもなります。
絶えず口で呼吸することにより、口の中が乾燥状態になり唾液による抗菌作用・事情・再石灰化作用が働きにくくします。
正しい呼吸ができていないことが考えられます。
呼吸が浅く、酸素がしっかりと体内に取り込めないと、体内の酸素が取り込めなくなります。
そのため深呼吸を多くして足りなくなった酸素を補おうとしているのだと思います。
呼吸が上手くできないと集中力の低下やイライラしやすくなったりします。
特に前歯部の交換期や指しゃぶりが学童期まで続き開咬状態になってしまった子供に見られます。
乳前歯が抜けた空間や歯と歯の間に舌を押し当て突出するように飲み込み(嚥下)をします。
本来は嚥下時には上下の奥歯が接触し舌は口蓋に押し付けられます。前や横に舌が出ることはありません。
片側だけで物を咬む癖の片咀嚼や頬杖、うつぶせ寝、横向き寝などの態癖はありませんか?
そのような癖のある場合は癖を直ちに治す必要があります。
年齢にもよりますがローソクの火が吹き消せないと言うことは口腔機能、口唇機能がきちんと発達していないと思われます。
多くの場合に慢性的な口呼吸の状態を伴っていることが多いです。
アレルギー性疾患(アトピー、鼻炎、中耳炎)などが起こっていることも多いようです。
口臭の原因はいろいろあります。
早朝時や空腹時など生理的な口臭や歯周病、むし歯や消化器官の疾患などが原因の病的口臭などがありますが
唾液の分泌量にも大きく影響されます。子供の場合に1番考えられる原因は口呼吸です。
口呼吸をしているとお口に中が乾燥状態になり細菌が繁殖しやすく、むし歯や歯肉炎になりやすく、舌苔もつきやすくなります。
咬む回数が少ないと唾液の分泌量が減少して、やはり細菌が繁殖しやすくなります。