歯ならびでお悩みの方へ 久野歯科医院です
了解をいただきました主に常滑の患者様の治療経過を報告いたします。
どのように治療がすすんでいくか写真を提示して解説していきます
常滑市在住 K.Y様 32歳女性 上下顎前突・叢生 抜歯症例 その2
治療経過
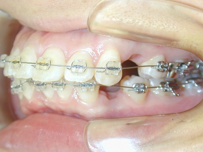
上下顎の第1小臼歯4歯を抜歯してクリアブラケットを犬歯から犬歯まで接着し、小臼歯にはメタルブラケット、第1大臼歯にはフック付きのダブルチューブ、第2大臼歯にはフック付きシングルチューブを接着しました。
上顎の第1大臼歯には加強固定と前方へのロスを予防するため、ナンスのホールディングアーチが装着してあります
上下顎にファーストワイヤーの014インチラウンド ニッケルチタンワイヤーを装着します














