歯ならび、不正咬合で、お悩みの方へ
常滑市の歯科、矯正歯科の久野歯科医院です。
了解をいただきました主に常滑市のご在住の患者様の矯正歯科の治療経過を通して処置方針、治療期間、治療費用などをお知らせいたします。
どのように治療が進んでいくのか治療経過の写真を提示して説明してまいります。
アソアライナーはインビザラインとならぶマウスピース型矯正装置です
上下顎前歯叢生 アソアライナー治療例/女性I.K様(常滑市在住)治療報告・その7
治療経過
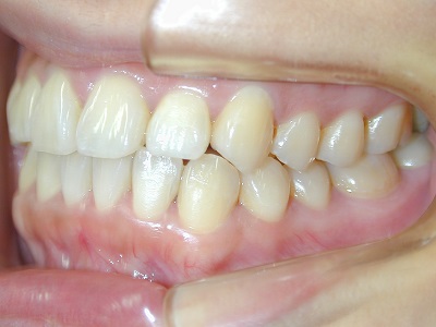
最終のアソアライナーを装着します
計画通りきれいに動的治療が完了しました
ハードタイプのアライナーをクリアリテーナーとして使用します
上下顎の前歯の叢生は改善され正中のズレも修正されました
臼歯の咬合状態も良好です
最後の作業用の模型は保存しておき、今後のリテーナーの作成や後戻りがおこったときにに備えます
また仕事上の関係で遠方へ移動される方にはアソアライナーで対応できる歯科医院のために模型自体をご本人にお渡しすることも可能です。
患者様にはリテーナーの再作成費用を少しでも軽減できると思います
今回でI.K様のアソアライナーによる矯正治療報告をひとまず、終了します
矯正症例のページに掲載予定です
アソアライナーを使用しての動的治療期間1年 治療費用63万円













