

![]() |
![]() |
![]() |
当院おすすめ記事はこちら▼


常滑の矯正歯科 久野歯科医院 ≫ スタッフBlog
常滑市の久野歯科医院スタッフブログです。
定期的に当院からの新たなお知らせや矯正歯科治療の特徴、症例等について更新しております。是非ご覧下さい!
歯ならび、不正咬合で、お悩みの方へ
常滑市の歯科、矯正歯科の久野歯科医院です。
了解をいただきました主に常滑市のご在住の患者様の
矯正歯科の治療経過を通して処置方針、治療期間、治療費用などをお知らせいたします。
どのように治療が進んでいくのか治療経過の写真を提示して説明してまいります。
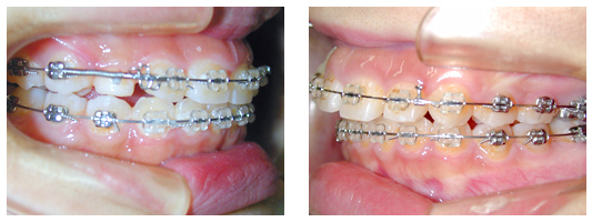
上顎左側犬歯はほぼ歯列内に取り込むことができました。
上顎右側犬歯部のスペースも獲得できました。
いよいよ上顎右側の乳犬歯を抜いて埋まっている犬歯の開窓と牽引を計画します。


次回は常滑市大和町在住のID様のまとめを報告する予定です。
医療の分野で歯科は消化管の入り口の疾患を治療する役割を
受け持っていますが大腸は消化器内科の治療担当分野です。
他に消化器内科は食道、胃、肝臓、すい臓、胆嚢などの臓器、
分野を受け持っています。
口腔と食道の間の口腔の下に位置する上咽頭部、中咽頭部、
下咽頭部は頭頚部外科が受け持っています。
今回、機会がありまして愛知県がんセンター中央病院で
大腸の内視鏡検査を受けました。
検査の目的は大腸の内視鏡検査は大腸にできる病気(炎症、潰瘍、ポリープ、がんなど)を発見し
適切な治療方法を考えるために行ないます。
日本では食肉の摂取量の増加とともに、食の欧米化が進んで大腸がんは中高年に多く発生し、
増加の一途を辿っています。
私の大学の親しかった3年上の先輩も歯周病治療で有名な先生でしたが大腸がんで命を失くしています。
大腸の内視鏡検査は検査にいたるまで非常に長い準備時間を費やしなければなりません。
今回は大腸の内視鏡検査を受けるかもしれない皆さんに
できるだけ詳しく検査にいたる準備を含めた大腸内視鏡検査についてお知らせしたいと思います。
検査をしっかり行うためには検査の前に大腸をきれいにする
必要があります。
検査前日の準備では用意した2リットルの水かお茶を1日かけて
飲み干します。朝食は普通に摂りますが昼食から検査食になります。
検査食は昼食に肉じゃがと鮭がゆ、夕食にはクリームシチューと
クラッカーでわりとおいしくいただけます。
21時に大腸検査前処置用の下剤のピコスルファートナトリウム液を
コップ1杯に15滴、滴下して飲みます。
ピコスルファートナトリウム液は服用後7時間〜12時間後に働きますので朝、トイレで効果が得られます。
検査当日はがんセンターに9:15に集合です。
私の場合は早朝に下剤の効果が現れ、電車に乗車中下痢の心配がありましたが、
駅のトイレに駆け込むことなく時間通りがんセンターに到着することができました。
着いたらすぐに内視鏡検査の受付をすまし事務の方に検査室のあるに部屋に案内されると、
すでに私と同様に本日、検査を受ける他の人は集合しておりました。
着席とともに問診表と検査の前準備のための経口腸内洗浄液(下剤)を飲むタイムスケジュールが記入できる
シートが渡され看護士の方のこれから飲む経口腸内洗浄液(下剤)の詳しい使用法の説明がはじまります。
目の前には2リットルの透明な袋に入った無色の経口腸内洗浄液(下剤)が立てておいてあり、
袋には250ml毎にラインが記入してあります。
この経口腸内洗浄液(下剤)を15分おきに250ml飲んでいきます。
私の場合は9:45より飲み始め10:30まで4度飲んでその後あらかじめ準備してあったお茶などの水分を
15分おきに250mlを2度飲んで再び経口腸内洗浄液(下剤)を15分おきに250mlを2度飲みます。
合計2リットルの液体を11:30までに飲んで大腸内洗浄をおこないます。
経口腸内洗浄液は飲みやすいように冷やしてありますが冷たいと薬の効き目がおそくなるので
飲んだら次に飲むまでの15分を利用してくすりの効果が早まるように検査室周囲を歩きます。
経口腸内洗浄液はスポーツドリンクのような味を予想していましたが濃度の濃い塩水のようでした。
経口腸内洗浄液を4回ほど飲んだ後ぐらいからトイレに行くようになり、
便が固形物から液状に変わり水様の便になるまでトイレに通うことになります。
10回ほどトイレに通うと便はやや黄色を帯びた水様となり3回ほどその状態が続けば
看護士の方のチェックを受けて合格すれば午後からの内視鏡検査を受けることができます。
看護士の方のチェックに合格する頃にはおしりをトイレットペーパーで拭くと傷ができてしまうような状態に
なっておりシャワートイレのあと水分をトイレットペーパーでおしりを抑えるようにして吸わせて完了にします。
13:00には本日大腸の内視鏡の検査をおこなう全員が集合し
検査を受ける順番と検査をうける部屋を指定されます。
順番が来ればいよいよ下部消化管内視鏡検査がはじまります。
安全に検査を行うために酸素濃度や血圧、脈拍数を測定するため指や腕に装置を装着します。
検査時にはなるべく楽に検査が受けられるように
鎮痛剤(塩酸ぺチジン)と腸の動きを抑える鎮痙剤を静脈注射します。
あらかじめ検査の前に腕に注射の針が留置され、検査時にそこから鎮痛剤が注射されます。
肛門に麻酔のゼリーを塗布して内視鏡を肛門から挿入します。
ファイバースコープが少しづつ前後しながら入っていくのが感じられます。
盲腸まで到達した後から大腸をまんべんなく観察していきます。
途中空気を腸に入れ腸を拡げながら観察していきます。
必要ならば小さな組織が採取され顕微鏡検査で良性か悪性かを判断します。
場合によっては色素を散布して観察します。
大腸ファイバーが内部に進んでいくときや空気が入っていく時にやや痛みと違和感を感じますが、
がまんできないほどのひどい痛みはありません。
塩酸ぺチジンは一種の麻薬ですが検査中の意識はしっかりとあり脈拍、血圧も安定しておりましたが
モニターは私の見える位置にはありませんでした。
検査時間は10〜15分ぐらいでしょうか。
検査中は腹がやや張る感じがありましたが検査終了直後から下痢のような痛みを感じ
看護士の方にベッドで休む前にトイレへ行くことを告げ、トイレに行きました。
大腸に入っているガスのせいで痛みと腹の張りを感じたようでガスが抜けてくると腹の張りがなくなり
痛みの方も和らいでいきましたがガスが完全に出るまでには丸1日24時間かかりました。
その後鎮痛剤の影響がなくなるまで約1時間ベッドで休みます。
1時間経過後血圧測定を行って留置針を抜いて本日の検査が終了となります。
朝の9:30に受付してから検査の終了時間16:25でした。
会計を済ませ、がんセンターを出たのは16:45でした。
下部消化管内視鏡検査には準備を含めてほぼ丸1日かかりました。
大腸がんも他のがんと同様に早期発見、早期治療でなおすことができます。
発見が遅れれば、他のがんと同様に命にかかわってきます。
命にかかわれば大腸の内視鏡検査にまる1日費やしても決して無駄なことではありません。
今回は貴重な経験ができました。
今後も1年に少なくとも1回は人間ドックなどの検診を受け自分の体の状態を知ることに務めたいと思います。
上部、下部いずれの消化管の内視鏡検査はがんや消化管の病気の発見や診断に大変有用な検査ですが
決して楽な検査ではありません。
一方、歯科では口腔がんの検査は直接口腔内を診ることができ、
指で触診もできるので確実に簡単に口腔がんを発見することが
できます。
耳鼻咽喉科でも舌を持ってのどの奥を診るので舌がんが発見されることもあります。
当院では歯周病の基本検査の際に
舌を含んだ粘膜検診をおこなっています。
特に舌はガーゼで包むように持ち舌背だけでなく舌側縁や舌の裏側も診査します。
また大腸がんと歯周病の関係についても指摘されています。
6ヶ月に1度少なくとも1年に1度は口腔がんの検診も歯周病の健診とともに
気軽に受けられることをおすすめします。
| 関連記事: | 健康をむしばむ口腔細菌 歯周病と胃癌について |
| 歯周病と口腔がんについて | |
| お口の中にできるがんについて |
常滑市の歯科、矯正歯科
久野歯科医院 院長