

![]() |
![]() |
![]() |
当院おすすめ記事はこちら▼


常滑の矯正歯科 久野歯科医院 ≫ スタッフBlog
常滑市の久野歯科医院スタッフブログです。
定期的に当院からの新たなお知らせや矯正歯科治療の特徴、症例等について更新しております。是非ご覧下さい!
歯ならび、不正咬合で、お悩みの方へ
常滑市の歯科、矯正歯科の久野歯科医院です。
了解をいただきました主に常滑市のご在住の患者様の
矯正歯科の治療経過を通して処置方針、治療期間、
治療費用などをお知らせいたします。
どのように治療が進んでいくのか
治療経過の写真を提示して説明してまいります。
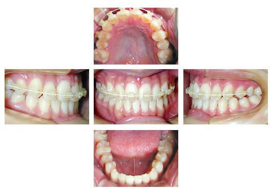
唇側のホワイトコーティングが施してある0.16×0.16ステンレス審美ワイヤーに交換いたしました。
このワイヤーが最終ワイヤーとなります。
ブラケットはTPオルソドンティックジャパンのIn Vu miniを使用し、
ワイヤーはTPオルソドンティックジャパンの審美ワイヤーを使用しました。
ブラケットとワイヤーを繋ぐのはTPオルソドンティックジャパンの
リガッチャータイのクリアーを使用するか、
やはりTPオルソドンティックジャパンのホワイトリガッチャーワイヤーを使用しました。
すべての矯正歯科治療の材料を目立たないものに統一することで
さらに審美性が高まります(パーソナル・カラー・マッチング)。
セラミックブラケットのIn Vu miniは小さくて、とてもきれいなブラケットですが
やや角ばっている(バルキー)印象がありました。
しかし口腔内に装着するとよくなじみ患者様からの苦情は聞かれません。
今後セミックブラケットはIn Vu miniを多く使用することになると思います。

次回は、常滑市榎戸町在住のKM様の治療経過をお知らせする予定です。
常滑市の歯科、矯正歯科の久野歯科医院です。
乳歯の晩期残存が後継永久歯にあたえる多大な影響、
定期健診と経過観察
乳歯から永久歯への交換期には円滑な交換が行なわれているかをチェックすることも
定期健診の重要な項目の一つです。
定期健診を続けていただいておりますと予想外の事態がおきましても適切な対応ができます。
患者様のご了承が得られましたのでMDさまとST様の治療の報告をいたします。
常滑市大野町在住のMD様は現在中学一年の男子です。
小学生の低学年より現在まで定期健診に来院していただいております。
小学5年生の頃より乳臼歯から永久歯の側方歯である第一小臼歯、犬歯、第2小臼歯の順に
順調に交換が行なわれてきましたが、右側の第2乳臼歯が最後まで残ってしまいました。
乳歯は通常の場合、その後継となる永久歯の成長発育に伴って乳歯の歯根は徐々に溶けていき、
自然に抜け落ちていきます(乳歯の正常な歯根吸収)。
しかし乳歯の歯髄がむし歯などで病変に冒されたり、幼児期に前歯を強くぶつけてしまい、
歯髄が壊死してしまったり、歯のまわりの組織に炎症があったりした場合には
乳歯の歯根吸収はとても不規則となって後から生えて来る永久歯(後継永久歯)の萌出時期になっても、
なお乳歯が残っている状態を「乳歯の晩期残存」と言います。
後継永久歯が欠如している場合もしばしば見受けられます。(先天性欠如)
先天性欠如のよくある部位には下顎の前歯、上顎の脇の前歯(側切歯)下顎の第2小臼歯などで、
それぞれの部位で矯正歯科治療をアンユージャルなものにして矯正歯科治療の難易度がたかまります。
また後継永久歯の位置が著しく違っていたり埋伏していますと乳歯の歯根の吸収が遅れて、
歯がいつまでも生え変わらないこともあります。
定期健診時にレントゲン写真を撮影し、診査をすることも重要な事柄の一つですが、
人体に影響が少ないとは言うもののエックス線被爆の問題もあり、
常滑市の久野歯科医院ではもちろん必要性を感じなければ、
なるべくレントゲン写真は控えております。
MD様の第2乳臼歯のむし歯の治療前のレントゲン写真です。
両脇にむし歯があるのがわかります。
このときには後継歯の第2小臼歯は
正常な萌出方向を示していています。
むし歯を治療した後から歯髄に何かしらの変化が起こり、
歯の交換システムに異常が起こったと推測されます。
MD様の晩期残存した下顎右側第2乳臼歯部位のレントゲン写真です。


第2乳臼歯が生理的に正常に交換しないので、
ほとんど水平に位置している後継の第2小臼歯が確認できます。
このまま放置しておいても生理的で正常な永久歯への交換は困難で
第2小臼歯は埋伏したままとなってしまいます。
MD様とお母様に説明を行い第2乳臼歯の抜歯をしました。


懸念されるのは第2乳臼歯の抜歯後、
永久歯の第2小臼歯が正常に生えてくるかどうかです。
生えてこなければ正常な位置に引っ張って(牽引)
誘導しなければなりません。
開窓して牽引、誘導する方法も考えなければなりません。
抜歯後のレントゲン写真です。
2週間から1ヶ月の間隔でレントゲン写真の撮影を行ないながら
経過観察を続けました。
第二小臼歯は期待通り水平な位置異常の状態から
正常な萌出方向への補正がみられます。
第2小臼歯は本来ある正しい位置に生えてきていることは確認できました。
下の写真は萌出完了後のものです。




知多市大草町在住のST様はお母様より前歯が生えてこないことの相談があり来院されました。
上顎左側乳前歯がむし歯のために治療され歯髄が処置されているのが原因で
乳歯の晩期残存の状態になっていました。
レントゲン写真では乳前歯2歯に歯の根の治療がされ歯の根の吸収が停止してしまい
後継の中切歯、側切歯の萌出の障害となっているのがわかります。


後継歯の中切歯は横を向いており周りの骨に囲まれていて、
このまま放置していても生えて来る可能性は極めて低いと判断し
開窓し、牽引(引っ張って)歯列への取り込みを計画しました。
写真は晩期残存していた乳前歯を抜歯した状態のものです。
永久歯との交換期を迎えていない乳臼歯、乳犬歯にも装置(ブラケット)をつけて
上顎左側前歯を牽引するアンカー(固定源、抵抗源)に利用します。

障害となっていた歯髄処置のされた乳前歯の抜歯を行うと
すぐに後継歯である脇の前歯(側切歯)が生え始めました。
オープンコイルというバネを使用して
前歯の生えて来るスペースを獲得し、拡大していきます。
かみ合わせは切端咬合で反対咬合気味なので
考慮に入れながら治療を進めます。

早めに装置(ブラケット)をつけて歯列弓内に取り込むようにします。
高品質の合成ゴム(パワーチエーン)を使用して
生え始めてきた側切歯のブラケットをワイヤーにかけておきます。

右側の側切歯が歯列弓内に取り込まれた写真です。


今度は左側の側切歯と右側の中切歯の間に
オープンコイルを使用して左側の中切歯の
スペースを確保していきます。
正中の位置を確認しながら
治療を継続します。

局所麻酔下で電気メスを使用して開窓という小手術を行い、
ボタン状の装置(リンガルボタン)を強力な接着剤を使用して
歯面の一部に接着します。
電気メスを使用することにより出血を抑えることができ
装置を確実に歯面に接着することができます。


0.16×0.16インチの
ステンレススチールの角線に変え、
かみ合わせに注意しながら
リンガルボタンの付いた左側の中切歯を
パワーチェーンでオープンコイルの
付いたワイヤーから
牽引(ひっぱり)します。

乳臼歯から側方の永久歯へ交換が始まりました。
牽引していた左側中切歯はほぼ歯列弓内に取り込まれました。
正中のずれはありませんが口腔内の清掃状態に問題があります。
牽引してきた左側中切歯の歯ぐきには炎症がみられます。

ブラケットをプラスティックブラケットに替え、
生えてきた犬歯にもブラケットを付けて歯列の安定を図ります。

歯髄処置の行なわれていた乳前歯の晩期残存で
萌出の遅れていた左側側切歯を牽引して、歯列弓に取り込み、
周囲に骨があり埋伏していた左側中切歯を開窓して牽引して
歯列弓の中に取り込みが完了しました。
治療目標が達成できて主訴が改善できたことと治療期間が長引くことで口腔内の環境の悪化、
新たなむし歯のできる可能性などを考えて、ワイヤーとブラケットをはずしました。
この機会にST様のお母様に治療を継続するか、
定期健診により口腔内の環境の改善とむし歯、歯肉炎の予防に重点をおくかをお話して
ひとまず矯正歯科治療を終了し、定期健診を開始することになりました。
歯髄処置を伴うむし歯の治療を経験した乳歯が晩期残存することは比較的よく見られることですが
時に、後継の永久歯に多大な影響を与えることがあります。
歯の数が本来の数より少ない時には
歯になりきれなかった歯牙様構造物が埋伏する場合がありますし、
それとは反対に過剰歯のある場合にも
歯の萌出の障害となり正常な位置に萌出しないで埋伏歯となる可能性があります。
定期健診を受けて、むし歯や歯肉炎の予防に努め、
異常を早めに発見することで
埋伏歯の可能性を低くできると考えます。
常滑市の歯科、矯正歯科
久野歯科医院 院長